看到膈疝只知道食管裂孔疝?还有三种您知道吗?
一、食道裂孔疝
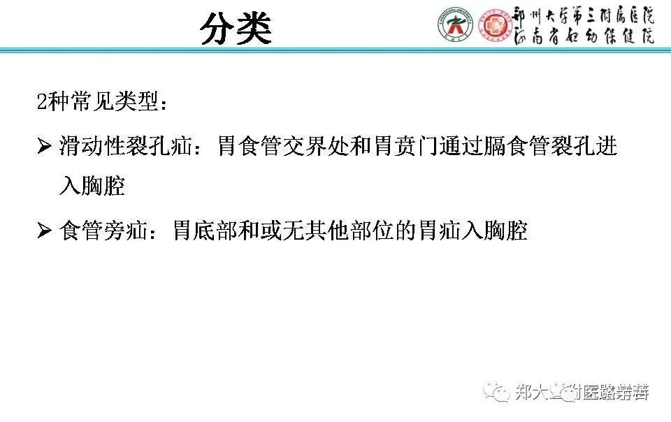
食管裂孔疝是我们工作中最常见的膈疝,约占90%以上。40岁以上肥胖女性多见。主要分为滑动型食管裂孔疝、食管旁疝、混合型食管裂孔疝


二、Morgagni疝(胸骨旁疝)
胸骨旁疝相对少见,约占膈疝的3%,疝容物多为横结肠。一般无明显症状,偶可形成狡窄。


三、Bochdalek疝(胸腹膜疝)
较罕见,老年人居多,多位于右侧,疝容物多为脂肪或网膜,也可以是实性或空腔脏器。

四、中心腱缺损
位于膈肌穹隆顶部,白色腱膜,有强弹性。


五、创伤性膈疝
外伤时,导致膈肌破裂口较大时,腹内脏器可嵌入胸腔,形成创伤性膈疝。

[病程描述]
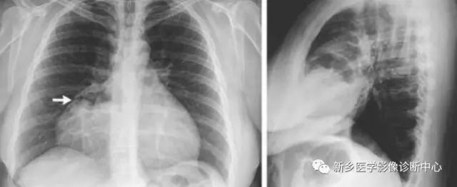
性别:男,年龄:88岁,咳嗽数月余
A、食管裂下端憩室
B、食管静脉曲张
C、食管癌
D、食管裂孔疝
正确答案是:D、食管裂孔疝;
[影像描述]
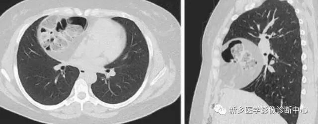
CT:贲门级部分胃体组织通过食管裂孔进入胸腔内,位于膈上,其上段食管明显扩张。
[诊断思路]
食管裂孔疝
食管裂孔疝是指腹腔内脏器通过膈食管裂孔进入胸腔的疾病,疝入的脏器多为胃,为膈疝最常见的一种。多见于老年人,老年人生理各项机能减退,容易导致食管裂孔扩大、胃和食管固定不牢。
CT:食管裂孔疝以食管下端纵隔内有疝囊检出为直接征象。疝囊以假肿块样改变为特征,可有软组织密度肿块,也可表现为囊性液体密度影,部分疝囊以食管下端扩张改变为影像表现,经食管裂孔向膈下胃腔延续为主要特点。疝囊外壁光整,内壁可呈锯齿状,可见胃黏膜影像。胃壁充盈好则厚度较薄,疝囊带状管腔扩张样改变,内有潴留食物;充盈不佳者囊壁较厚,表现为软组织团块样影,内有少量液体或气体影。采用CT增强扫描,胃壁与疝囊囊壁均匀一致。
如发现疝囊壁不规则增厚,外壁不光整,周围淋巴结肿大等征象,高度怀疑食管裂孔疝合并肿瘤。需进一步胃镜活检检查。食道静脉曲张CT平扫表现为食管下端管腔轻度扩张、管壁增厚,黏膜增厚类似胃黏膜,易误诊,食道静脉曲张是肝硬化、门静脉高压的重要并发症,常与胃底静脉曲张并存;CT增强扫描显示食道下段、胃底部扩张血管影,同时有肝硬化表现,结合临床病史鉴别不难。食管下端憩室表现为囊袋状突出食管腔外的局部管腔扩张,内有气液平面,但胃腔与食管壁间无延续的胃黏膜像,且憩室下方正常食管段明显变窄,隔下有呈扩大改变的胃腔。











































纵隔大细胞神经内分泌癌1例CT影像
张力性纵隔气肿影像表现及严重度分级
迅速增大的肺部结节,首先考虑良性,确诊需要肺穿
肺隔离症:易误诊为肺癌的占位性病变,肺穿刺禁忌!
肺段与肺内管道应用解剖
肺转移瘤的十种不典型CT表现
肺内淋巴结的CT表现特点及与病理对照
肺实变与肺不张的CT鉴别诊断
医生现身说法,这五种忙帮不得!
北大教授:要真正让医务人员有阳光体面的收入!医
为值夜班的医生护士鼓与呼:请给我们更多关注!
广东拟取消医院用药数量限制,满足患者多样性需求
博士、硕士入职就给精装房!又有医院不惜下血本招
历时7年之久,温医生宣判无罪!
重磅!四川发文:严禁限制医生多点执业
与真人医生诊断一致性达96%:AI医生应用前景广阔