【临床资料】
男性,45岁,体力劳动者,主因偶发无痛性肿块,近期肿块增大,伴局部不适入院,行CT检查。
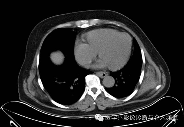
【影像图像】




【影像表现】
双侧肩胛骨内侧前锯肌下可见梭形软组织密度肿块,与肌肉密度类似,肿块内部密度不均匀,其内可见条索状低密度影,前锯肌受压外移,病变与周围结构分界清晰。
———-♀【病例讲堂】分割线♀———
小编留言:这些患者是别人的,但这些症状你工作中也可能会遇到,学习才是前进的唯一路径,有思考才有进步哦!
【最终诊断】
弹力纤维瘤
【讨论】
根据软组织肿瘤的世界卫生组织分类标准,弹力纤维瘤属于成纤维细胞/肌成纤维细胞肿瘤中的良性肿瘤;背部肩胛下角附近是其好发部位,且右侧多发,可能与EFD发病原因有关(肩胛骨与胸壁摩擦增加,右侧活动较多),但一侧发病时也应留意对侧;病变一般呈扁平椭圆形,生长缓慢,大部分临床无症状。
在组织学上,EFD主要由胶原纤维和弹力纤维构成,纤维组织有明显透明变性,纤维细胞较少,弹力纤维分散于纤维组织中,瘤组织内看见灶性脂肪细胞。大部分学者认为其不是一种真性肿瘤,而是反应性增生。
CT平扫时EFD密度与肌肉相当,其内索条状脂肪间隔将其分隔成纤维状,增强扫描轻度强化或无明显强化,此病是影像学即可诊断的疾病之一。
纵隔大细胞神经内分泌癌1例CT影像
张力性纵隔气肿影像表现及严重度分级
迅速增大的肺部结节,首先考虑良性,确诊需要肺穿
肺隔离症:易误诊为肺癌的占位性病变,肺穿刺禁忌!
肺段与肺内管道应用解剖
肺转移瘤的十种不典型CT表现
肺内淋巴结的CT表现特点及与病理对照
肺实变与肺不张的CT鉴别诊断
医生现身说法,这五种忙帮不得!
北大教授:要真正让医务人员有阳光体面的收入!医
为值夜班的医生护士鼓与呼:请给我们更多关注!
广东拟取消医院用药数量限制,满足患者多样性需求
博士、硕士入职就给精装房!又有医院不惜下血本招
历时7年之久,温医生宣判无罪!
重磅!四川发文:严禁限制医生多点执业
与真人医生诊断一致性达96%:AI医生应用前景广阔