病例展示
女性 26 岁 因咳血入院,无发烧、临床实验室炎性指标正常。


病例来源:江西省鄱阳县鄱乐医院 吴平洋院长
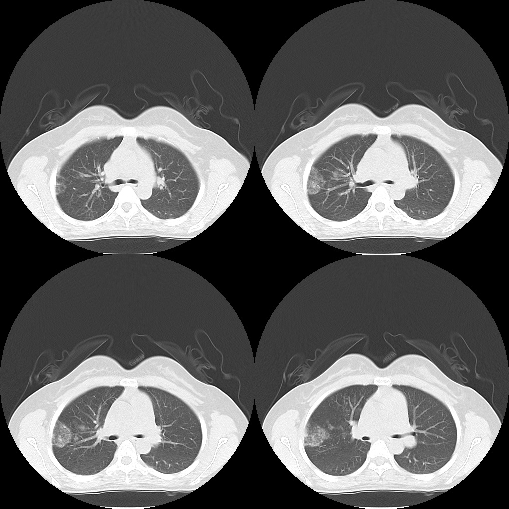
门诊拟 「 感染 」 抗炎治疗后 2 周复查

病灶较前有吸收,嗯,看来抗炎治疗是有效果的,而且也不咯血了;
完美!!

图片来源:网络
到这来就结束了嘛?
一个月后,患者再次出现咯血;
医生:我怎么又开始咯血了,是不是上次的 「 肺炎 」 没有彻底治愈啊?会不会从此落下了这个咯血的病根啊?

病例来源:江西省鄱阳县鄱乐医院 吴平洋院长
怎么回事,还是和上次一样的地方出现病灶;
这是什么?
各位看官,您认为是什么呢?
子宫内膜异位症是指子宫内膜上的腺上皮细胞和间质细胞出现在除子宫腔以外的其他部位,例如盆腔、肾上腺、肺,甚至是中枢神经系统。它是一种依赖雌激素的常见临床妇科疾病,子宫内膜异位症的症状与患者的月经周期密切相关。肺子宫内膜异位症,肺的子宫内膜异位症是一种罕见的、慢性疾病,具有激素依懒性。
依据子宫内膜异位的组织、器官不同可分为内在性子宫内膜异位症和外在性子宫内膜异位症。内在性子宫内膜异位症是指子宫内膜异位局限于子宫肌层,又称子宫腺肌症;外在性子宫内膜异位症是指子宫内膜累及子宫以外的组织或器官,卵巢受累最为常见,占 80% 左右,其次为直肠子宫陷凹覆膜、肠道、膀胱、输尿管等,发生于肺部者非常罕见,临床上亦称为月经性咳血。
发病机制
有研究者认为发生机制主要有几个方面:
1、月经周期子宫颈黏液栓缺乏时,空气可经由阴道进入子宫,再经输卵管到腹膜,在有先天性横膈膜破洞情况下,腹膜腔内空气上升可挤入胸膜腔发生气胸;
2、子宫内膜组织可能经淋巴血液循环逆行或经先天性横膈膜破洞入肺,植入壁 层或脏层胸膜后,则异位子宫内膜可随月经周期开始而脱落,造成空气渗漏导致气胸;
3、排卵时前列腺浓度增加致肺血管收缩造成缺血性损伤,使肺泡破裂产生气胸。然而,上述观点并不完善,确切机制还需进一步研究。
肺子宫内膜异位症(PEM)发生机制可能为盆腔外科手术或分娩时,子宫内膜细胞通过静脉或淋巴播散到肺所致,而肺黏膜可能对卵巢分泌的雌激素较敏感,雌激素可使其毛细血管扩张,脆性增强,肺毛细血管随雌激素的周期性改变发生周期性破裂出血。PEM 的病情轻重与盆腔内子宫内膜异位症的严重程度相关,确诊需临床症状及术后组织病理学评估相结合。
临床表现
临床表现包括月经性咳血、 月经性气胸、月经性血胸。也有病例报道无任何呼吸系统症状。不同患者咯血量不同,通常咯血量不大,但也可出现大量咯血,从痰中带血至大咯血均有报道。此外,同一患者每次发作时咯血量也不完全相同,可与每次月经血量多少相关。患者多于月经前24h至开始后48h内出现症状,随月经结束症状逐渐减轻或消失,随月经周期反复。但患者并非每个月经期都会咯血,且有可能在其他时间点咯血。
影像诊断
影像学检查对于 PEM 诊断具有重要价值,但须结合临床病史
诊断要点包括:
1)生育期女性,与月经周期有关的临床症状 (如周期性的咯血、胸痛、自发性气胸和胸膜渗出等);这一点非常重要。
2)咯血通常发生在月经前后数天内。
3)既往有痛经、引流产、分娩、宫腔操作和盆腔手术等病史;这一点就是受伤后再受伤。
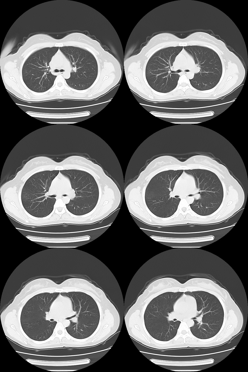
X 线、CT 平扫表现为类似肺炎的渗出性病变或轮廓清楚的肺内结节、胸腔积液、薄壁囊肿 (腔) 或肺大疱及气胸等征象,有的出现支气管阻塞和周围肺不张。如相同肺段在两次经期出现类似肺内改变,而月经期后肺内无异常发现或咯血停止,在排除其他肺部疾病后,可确诊。
患者月经期结束后一周复查 CT

纵隔大细胞神经内分泌癌1例CT影像
张力性纵隔气肿影像表现及严重度分级
迅速增大的肺部结节,首先考虑良性,确诊需要肺穿
肺隔离症:易误诊为肺癌的占位性病变,肺穿刺禁忌!
肺段与肺内管道应用解剖
肺转移瘤的十种不典型CT表现
肺内淋巴结的CT表现特点及与病理对照
肺实变与肺不张的CT鉴别诊断
医生现身说法,这五种忙帮不得!
北大教授:要真正让医务人员有阳光体面的收入!医
为值夜班的医生护士鼓与呼:请给我们更多关注!
广东拟取消医院用药数量限制,满足患者多样性需求
博士、硕士入职就给精装房!又有医院不惜下血本招
历时7年之久,温医生宣判无罪!
重磅!四川发文:严禁限制医生多点执业
与真人医生诊断一致性达96%:AI医生应用前景广阔