【临床资料】
女性,4岁。右侧颈部包块。
颈部淋巴管瘤

A

B

C

D

E

F
【影像学检查】
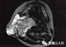
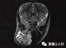
A.B.MRI T1WI显示右侧上颈部大片混杂低信号,其内见蜂窝状更低信号,肌间隙显示不清,并见点、线状高信号。咽、喉、气管受压移位;C〜F.T2WI的横断面、冠状面病变表现为不均匀高信号,形态不规则,可见病变向上、下,向左、右延伸,有“见缝就钻”的特点,气管及周围软组织受压移位
【最后诊断】
颈部淋巴管瘤(术后病理)。
【诊断要点】
淋巴管瘤(lymphangioma)是一种先天性良性囊状错构瘤而非真性肿瘤。在胚胎发育过程中,由于原始淋巴囊与淋巴系统隔绝而产生。90%以上在2岁以内发病,少数见于成年人。男女发病率大致相仿。临床上最多见的是发生于颈部的囊状淋巴管瘤。
1.临床表现:包块质地柔软,生长较慢,易合并囊内感染、出血。
2.CT表现:
1)CT平扫病变呈囊性、液性低密度肿块影,CT值为9.0〜44.0 Hu,密度均匀或不均匀,伴囊内出血,呈等、低混杂密度。
2)增强扫描囊壁及分隔部分强化,中央囊性区无强化。
3)病变合并有感染和出血时,CT值増高。肿块无明显界限,向周围浸润生长。
3.MRI表现:
1)若为囊性病灶,T1WI为低信号,T2WI为高信号;囊内合并出血,上层液体为 T1WI显示低信号,T2WI为高信号,下层液体T1WI显示等信号,T2WI为稍高信号。
2)MRI在冠状面、矢状面可显示病灶向上下、左右浸润的范围,具有“见缝就钻”的特点。
【分析思路】
诊断依据:
1.患儿为女性,4岁,右侧颈部包块。本病好发于婴幼儿,颈部无痛性囊性包块为本病主要临床表现。
2.T1WI显示右侧颈部大片混杂低信号,其内见到多个类圆形囊性低信号。
3.T2WI病变表现为不均匀的高信号,形态不规则,其内可见分隔,具有“见缝就钻”的特点。气管及周围软组织受压移位。
鉴别诊断:
本病需与腮裂囊肿进行鉴别,腮裂囊肿通常表现为单囊性病变,较少伴有出血。但很难对单发颈部淋巴管瘤与单发腮裂囊肿进行鉴别。
纵隔大细胞神经内分泌癌1例CT影像
张力性纵隔气肿影像表现及严重度分级
迅速增大的肺部结节,首先考虑良性,确诊需要肺穿
肺隔离症:易误诊为肺癌的占位性病变,肺穿刺禁忌!
肺段与肺内管道应用解剖
肺转移瘤的十种不典型CT表现
肺内淋巴结的CT表现特点及与病理对照
肺实变与肺不张的CT鉴别诊断
医生现身说法,这五种忙帮不得!
北大教授:要真正让医务人员有阳光体面的收入!医
为值夜班的医生护士鼓与呼:请给我们更多关注!
广东拟取消医院用药数量限制,满足患者多样性需求
博士、硕士入职就给精装房!又有医院不惜下血本招
历时7年之久,温医生宣判无罪!
重磅!四川发文:严禁限制医生多点执业
与真人医生诊断一致性达96%:AI医生应用前景广阔