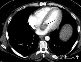
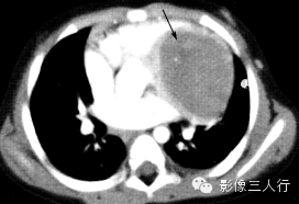
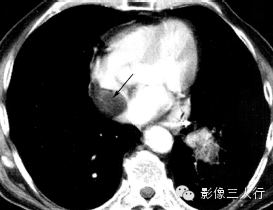
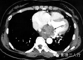
| 心房黏液瘤(图1) | 纤维瘤(图2) | 脂肪瘤(图3) | 横纹肌肉瘤(图4) | |
|
好发
年龄 |
成人 | 婴幼儿 | 成人 | 儿童或年轻人 |
|
好发
部位 |
多起源于房间隔,以窄基底与其相连,并向心腔内生长 | 心室心肌内,常见于左室游离壁或室间隔 | 多原发于心外膜,在心房、心室无差异 | 各房室及间隔心肌壁均可发生,常累及一个以上心腔,可侵犯心包和大血管 |
|
病灶
形态 |
圆形或椭圆形,多呈浅分叶状,有蒂与心房间隔相连,肿瘤位置可随心动周期而变化,有时脱入左室 | 卵圆形或分叶状,常有薄层假薄膜,边界清楚 | 椭圆形或分叶状,边界清楚 | 形态不规则,边界不清,可见坏死、出血 |
|
CT
密度 |
稍低密度 | 密度稍低于心肌 | 脂肪密度 | 不均匀软组织密度 |
|
强化
特点 |
不均匀强化 | 强化程度较正常心肌弱 | 无强化 | 一般均匀强化,坏死后内部不强化 |




纵隔大细胞神经内分泌癌1例CT影像
张力性纵隔气肿影像表现及严重度分级
迅速增大的肺部结节,首先考虑良性,确诊需要肺穿
肺隔离症:易误诊为肺癌的占位性病变,肺穿刺禁忌!
肺段与肺内管道应用解剖
肺转移瘤的十种不典型CT表现
肺内淋巴结的CT表现特点及与病理对照
肺实变与肺不张的CT鉴别诊断
医生现身说法,这五种忙帮不得!
北大教授:要真正让医务人员有阳光体面的收入!医
为值夜班的医生护士鼓与呼:请给我们更多关注!
广东拟取消医院用药数量限制,满足患者多样性需求
博士、硕士入职就给精装房!又有医院不惜下血本招
历时7年之久,温医生宣判无罪!
重磅!四川发文:严禁限制医生多点执业
与真人医生诊断一致性达96%:AI医生应用前景广阔