【临床资料】
男,47岁,拍胸片发现异常。
既往史:13年前行左肺上叶肺减容术。
【影像图像】






【影像表现】
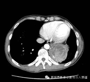
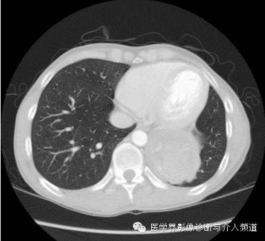
胸片示左下胸腔一肿块影。CT增强示左肺下叶一低密度肿块,其内可见高密度影,PET-CT示肿块边缘FDG摄取增加,肿块中央摄取减低。
———-♀【病例讲堂】分割线♀———
小编留言:这些患者是别人的,但这些症状你工作中也可能会遇到,学习才是前进的唯一路径,有思考才有进步哦!
【最终诊断】
纱布瘤
【鉴别诊断】
鉴别诊断主要包括肿瘤、囊肿、寄生虫、血肿和炎性假瘤,尤其是腹腔内肿块与胃肠道关系密切,易误诊为胃肠道间质瘤。
【讨论】
纱布瘤(gossypiboma)为医源性少见病 ,是手术过程中误留在人体中的医用纱布团所形成的假性肿瘤样病变。腹部是常见的外科手术部位 ,故纱布瘤多常见于腹腔,胸腔、乳腺亦有报道,与良性肿瘤性病变鉴别有一定困难,术前易误诊。
临床特点及表现
纱布瘤是由于手术中遗留人体内的纱布形成的慢性炎性包裹, 是医源性并发症。为避免该事件的发生,1929年 Cahn 首次在手术纱布中引入了不透明的线状标记物,X 线拍照后可显示。
患者有明确的手术史,肿块出现在术后,且根据被发现的时间长短将纱布瘤分为急性型和慢性型。术后两周内发现称为急性型纱布瘤,而术后2~26年被发现称之为慢性型纱布瘤。患者可自感腹部肿块,部分出现腹痛、腹胀、发热,甚至肠梗阻等症状,但约三分之一的患者无症状,临床诊断困难,而CT是最有效的诊断方法。
病理学及影像学表现
根据病理学及影像学特征将纱布瘤分为实性和囊性两种类型,即异物性肉芽肿和异物性囊肿或脓肿。
异物性肉芽肿是纱布在人体内出现周围肉芽组织增生、纤维化时所形成的肿块,CT 表现为不均匀混杂密度软组织影,壁较厚,增强后壁由于含大量纤维结缔组织而呈明显强化,其内容物无强化。
异物性囊肿或脓肿是由于纱布引起的周围组织 、器官的慢性炎性反应,出现渗出、液化坏死并纤维包裹所形成的囊肿或脓肿,周围有假性纤维包膜或较厚的壁,CT 表现为囊性为主的混杂密度块影,壁较光滑,其内出现云雾状、漩涡状或脑回状密度增高影漂浮于其中,增强后亦表现为壁强化,内容物无强化。部分学者报道,纱布瘤内部出现气泡及边缘出现钙化是其重要特征之一。
综上所述,发生于胸腔或腹腔的肿块,具有良性病变的实性或囊性占位特征,肿块内部可见云雾状或漩涡状稍高密度影,可以出现边缘钙化,增强后壁强化,内容物无强化,再结合患者既往有手术病史,应首先考虑腹腔或胸腔纱布瘤。
一旦确诊纱布瘤,应尽早手术取出,避免患者更大的痛苦。手术过程中应严格地遵守医疗规则 、严谨地计数纱布,使该病发生率降到最低。
纵隔大细胞神经内分泌癌1例CT影像
张力性纵隔气肿影像表现及严重度分级
迅速增大的肺部结节,首先考虑良性,确诊需要肺穿
肺隔离症:易误诊为肺癌的占位性病变,肺穿刺禁忌!
肺段与肺内管道应用解剖
肺转移瘤的十种不典型CT表现
肺内淋巴结的CT表现特点及与病理对照
肺实变与肺不张的CT鉴别诊断
医生现身说法,这五种忙帮不得!
北大教授:要真正让医务人员有阳光体面的收入!医
为值夜班的医生护士鼓与呼:请给我们更多关注!
广东拟取消医院用药数量限制,满足患者多样性需求
博士、硕士入职就给精装房!又有医院不惜下血本招
历时7年之久,温医生宣判无罪!
重磅!四川发文:严禁限制医生多点执业
与真人医生诊断一致性达96%:AI医生应用前景广阔