例1
男,8岁。乏力2个月,发热11d,腹胀1周。至当地医院就诊,临床诊断为“胸腹水待查,肠炎”,予“吸氧、头孢他定针、白蛋白针、速尿”等治疗,患儿症状无明显改善,腹部立位片提示不全性小肠梗阻,胸片提示右侧大量胸腔积液。
因患儿母亲有肺结核病史,考虑结核性胸、腹膜炎,于2012年10月28日转诊我院。实验室检查:胸水常规:呈红色混浊,白细胞计数11.7×109/L,红细胞计数1.2×1012/L, 李凡他试验( )。胸水培养阴性。胸水涂片:未找到抗酸杆菌。胸水腺苷脱氨酶24.3U/L,乳酸脱氢酶660U/L。胸水结核菌抗体、血肺吸虫抗体及抗 中性粒细胞胞浆抗体(anti-neutrophil cytoplasmic antibodies,ANCA)系列均阴性。
追 问病史,患儿半年前曾从桥上摔下,因外伤距发病时间较长,故创伤性血胸暂不考虑。按胸腔积液常规检查流程判断病因半个月后(2012年11月15日),患 儿腹痛,急测尿淀粉酶1300U/L,血淀粉酶增高,提示饮食诱发胰腺炎,考虑胰腺疾病。复查胸水淀粉酶>1300U/L。
CT检查(图1~3):双侧胸腔及腹腔积液;胰腺假性囊肿。予禁食、施他宁静脉点滴维持,静脉营养及维持水电解质平衡等治疗。经上述治疗2个月后患者症状减轻,胸水、血及尿液淀粉酶逐步恢复正常。

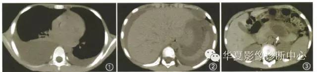
图1~3例1。CT示双侧胸腔积液(图1),肝周带状低密度影(图2),胰腺体部见囊状低密度灶(图3,箭)
例2
男,2 岁。咳嗽、发热1个月,加重2d。患儿1个月前无明显诱因出现咳嗽,伴气促,发热,至当地医院就诊,诊断为“胸腔积液,胸膜炎可能”,经治疗好转(具体不 详)。2d前咳嗽加重,气促明显,进行性加重并发热,体温最高达38.8℃(口腔),于2013年7月30日就诊。
急诊胸片示两侧胸腔积液,血常规示白细胞13.5×109/L,C反应蛋白(快速)55.00mg/L,中性粒细胞相对值0.487,血气分析示氧分压77.2mmHg(1mmHg=0.133kPa),氧饱和度94.4%,急诊予“吸氧、沐舒坦针、白蛋白针(8g)”等治疗。
超声定位示平卧位胸腔积液左侧厚68mm,右侧厚19mm;腹腔积液厚8mm。拟诊“多浆膜积液,结核病可能”收治入院。实验室检查:胸水常规:红色混浊,红细胞计数2.1×1012/L,李凡他试验( ),提示血性胸水;腺苷脱氨酶34.2/L,乳酸脱氢酶446U/L。胸水涂片:未找到抗酸杆菌。
鉴于例1的诊疗经验,立即急测胸水淀粉酶>1300U/L,血淀粉酶5100U/L,尿淀粉酶21780U/L。追问病史,患儿3个月前有从楼梯摔下史。拟诊“胰内瘘”行腹部影像检查。B超提示胰腺假性囊肿,胰腺胸膜瘘不能排除。
胸、腹部联合CT增强检查示:胰腺体尾部见囊状低密度灶,边界尚清,最大断面60mm×50mm,病变经食管裂孔与纵隔内囊状低密度灶相连,且向上延伸至颈根部。双侧胸膜腔背侧见新月形低密度影,提示胰体尾部假性囊肿伴胰胸瘘(图4~6)。

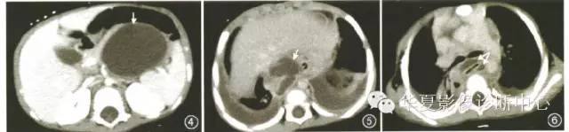
图4~6例2。CT示胰腺体尾部囊状低密度灶(图4,箭),大小60mm×50mm。胰腺假性囊肿通过食管裂孔与纵隔假性囊肿相交通(图5,箭),假性囊肿延伸至颈根部(图6,箭),双侧胸腔积液
予禁食、抗炎、施他宁静脉点滴维持,静脉营养及维持水电解质平衡等治疗及B超引导下胰腺假性囊肿引流术。
讨论
胰 胸瘘为胰腺炎或胰腺外伤所引起的少见腹外并发症。系炎症或外伤引起主胰管或其分支破裂,外渗的胰液引流进入胸部所致。依据外渗胰液在胸部终止位点的不同, 胰胸瘘分为胰腺胸膜瘘、胰腺纵隔瘘、胰腺支气管瘘及胰腺心包瘘4种类型。与成人胰胸瘘常见于酒精性慢性胰腺炎不同,儿童胰腺胸膜瘘最常见的原因为外伤。本 组2例追问病史均有摔伤史,与文献相符。系解剖上儿童腹部脏器缺少强健腹壁肌肉的保护,外力作用易于传导至深部损伤脏器有关。
外 伤可导致胰腺假性囊肿形成及破裂,向前破裂致外泄的胰液直接接触并损伤横膈,进入胸膜腔,形成胸水;若囊肿向后破裂,胰液则渗漏入腹膜后间隙,沿阻力最小 的途径向上进入纵隔,纵隔胰腺假性囊肿穿破一侧或两侧纵隔,引起胸水。胰腺胸膜瘘的临床常表现为与大量胸腔积液有关症状,很少出现典型胰腺炎症状而易漏、 误诊。延误诊断是本病的常见问题。
本组2例因胸水性状,尤其是其外观造成误导,并因淀粉酶等不是胸水的常规检查而延误诊断。因此,对于儿童血性胸腔积液,应考虑到胰源性可能;特别是合并Cameron三联征(血清、胸腹水淀粉酶升高和蛋白含量增加)时,可拟诊为胰腺胸膜瘘并行影像检查以寻找胰腺病变。
CT 检查对于本病的诊断非常有价值,可在确定胸腔积液、纵隔假性囊肿情况的同时,明确是否存在胰腺假性囊肿并显示部分患者的瘘管。本组例2患儿瘘管得到清楚显 示后,后行B超引导下胰腺假性囊肿引流术而痊愈。本病的胸腔积液有别于急性胰腺炎患者的胸腔积液,后者多为反应性、自限性积液且量少,仅见于3%~17% 急性胰腺炎患者。淀粉酶增高的胸腔积液的鉴别诊断还包括肺腺癌、转移性恶性肿瘤、肺炎、食管穿孔或破裂、淋巴瘤、白血病、肝硬化、肾盂积水和肺结核等。
总之,小儿胰腺胸膜瘘罕见。准确和早期的诊断依赖于识别特征性的临床和影像检查结果。虽然胸片上大量胸积液可能是第一诊断线索,但CT和MRCP通常可以显示瘘管以及胰腺的病变,有助于准确诊断。
纵隔大细胞神经内分泌癌1例CT影像
张力性纵隔气肿影像表现及严重度分级
迅速增大的肺部结节,首先考虑良性,确诊需要肺穿
肺隔离症:易误诊为肺癌的占位性病变,肺穿刺禁忌!
肺段与肺内管道应用解剖
肺转移瘤的十种不典型CT表现
肺内淋巴结的CT表现特点及与病理对照
肺实变与肺不张的CT鉴别诊断
医生现身说法,这五种忙帮不得!
北大教授:要真正让医务人员有阳光体面的收入!医
为值夜班的医生护士鼓与呼:请给我们更多关注!
广东拟取消医院用药数量限制,满足患者多样性需求
博士、硕士入职就给精装房!又有医院不惜下血本招
历时7年之久,温医生宣判无罪!
重磅!四川发文:严禁限制医生多点执业
与真人医生诊断一致性达96%:AI医生应用前景广阔