患者,女,47岁,发现“腹部肿瘤”半年,无明显不适。
既往史: 22年前当地医院行“剖宫产”,术后恢复良好









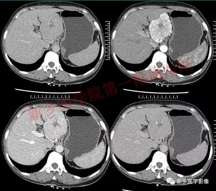
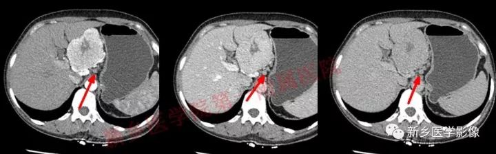
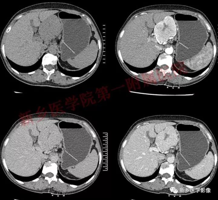
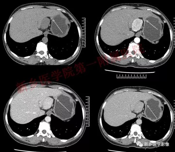
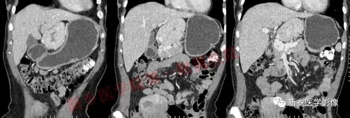
肝胃间胰腺前上方见类圆形肿块,边界较清,大小约8.2cm×4.6cm×5.9cm,密度欠均匀,内见点状钙化,增强呈不均匀明显强化,内见片状低密度灶无强化区,其下部与相邻胰腺分界不清,周围见粗大回流血管影回流至门静脉,病变左侧及腹膜后、胃壁小弯侧见数个卵圆形稍大淋巴结及结节影,部分呈环形强化。
病理:
冰冻:(腹腔肿物、腹腔动脉旁、胰腺上缘)小圆细胞肿瘤,倾向恶性,淋巴瘤不能除外,确切诊断请等石蜡及免疫组化。
石蜡:(腹腔肿物、腹腔动脉旁、胰腺上缘)Castleman病(巨淋巴结增生),玻璃样变血管型。
免疫组化结果显示:Bcl-2(生发中心-),CD10(-),CD21(生发中心 ),CD3( ),CD43( ),CD5( ),CyclinD1(-),Ki-67( 5~10%),CD20( )。
Castleman病(GLNH)
1.巨淋巴增生症是一种少见病,病因尚不明确,患者多无症状,为异源性的罕见的淋巴组织增生性疾病,亦称为血管滤泡性淋巴组织增生。1956年确定为良性非肿瘤性病变。
2.关于这种病变的病因尚存在两种不同的学说:
第一种认为本病表现为反应性淋巴组织增生,与慢性抗体刺激 有关,可能为病毒感染所致。
第二种理论则认为透明血管型是一种淋巴组织的进行性生长紊乱,而浆细胞型的发生与IL-6调节障碍有关。
3.病理上分为透明血管型和浆细胞型两种类型。
临床表现
GLNH中透明血管型最为常见,约占发病率的76%~91%,而浆细胞型则较少见。透明血管型的特征为淋巴滤泡退化和毛细血管数量增加。
GLNH按其临床、影像学表现及其预后亦分为2型,局限型和弥漫型。
局限型表现为孤立淋巴结或纵隔内某一组淋巴结受累。
弥漫型表现为一组以上的淋巴结受累或影像学发现胸外淋巴结受累,此型可累及肺部。
局限型临床多无症状,为体检或常规胸片偶尔发现,可见于任何年龄,发病高峰为30-40岁之间,女性约4倍于男性,95%以上为透明血管型,手术多可切除,预后良好。
弥漫型通常有临床症状与体征,包括发热、乏力、贫血、表浅淋巴结肿大、肝脾肿大、血沉加快,可见于任何年龄,发病高峰为40-50岁之间,女性约2倍于男性,绝大多数为浆细胞型,手术切除困难,以放疗及激素疗法为主,预后较差。
局限型GLNH的影像学表现
局限型GLNH的影像学表现:
可发生于全身各部位的淋巴结,沿全身淋巴结链分布,但最好发生于纵隔、肺门和腹膜后区域。约60-%~70%发生于胸部,约20%发生于腹部,以腹膜后最常见。
GLNH高强化机制为透明血管型病灶内丰富的毛细血管增生和周边较多粗大的滋养动脉所致。
GLNH钙化较少,可见于5%~10%的病例,且仅见于局限型透明血管型。
GLNH另一个特征是瘤灶内极少伴有出血和坏死灶,尽管部分病例呈不均匀性强化,但瘤灶内的低密度影并非坏死灶。
鉴别诊断
1.异位嗜铬细胞瘤,病变呈不均匀明显强化,内部囊变和坏死较多,病人会有波动性高血压。
2.胃肠外间质瘤,多数胃肠外间质瘤位于肠系膜区,呈明显不均匀强化,边缘光滑。
3.神经源性肿瘤
4.异位胰腺,多数位于消化道壁,与胰腺强化一致。
5.淋巴瘤,强化程度呈轻中度,多为肿大淋巴结融合形成,病人会有淋巴瘤系统症状
纵隔大细胞神经内分泌癌1例CT影像
张力性纵隔气肿影像表现及严重度分级
迅速增大的肺部结节,首先考虑良性,确诊需要肺穿
肺隔离症:易误诊为肺癌的占位性病变,肺穿刺禁忌!
肺段与肺内管道应用解剖
肺转移瘤的十种不典型CT表现
肺内淋巴结的CT表现特点及与病理对照
肺实变与肺不张的CT鉴别诊断
医生现身说法,这五种忙帮不得!
北大教授:要真正让医务人员有阳光体面的收入!医
为值夜班的医生护士鼓与呼:请给我们更多关注!
广东拟取消医院用药数量限制,满足患者多样性需求
博士、硕士入职就给精装房!又有医院不惜下血本招
历时7年之久,温医生宣判无罪!
重磅!四川发文:严禁限制医生多点执业
与真人医生诊断一致性达96%:AI医生应用前景广阔