【病例介绍】:
62岁,发热、咳嗽

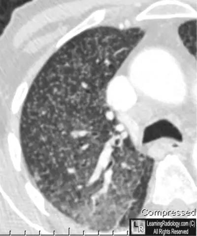
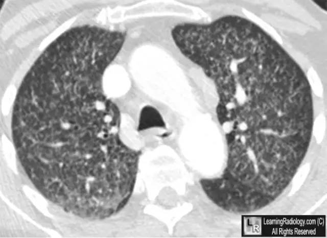
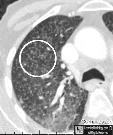
胸部CT轴位扫描

右胸CT轴位扫描特写
最可能的诊断?
1. 矽肺
2. 细支气管肺泡癌
3. 粟粒性肺结核
4. 类风湿性结节
5. 多发性动静脉畸形
【结果】:
粟粒性肺结核
【讨论】:
粟粒性结核一般特点:
【危险因素】:
【临床表现】:
【影像表现】:
【鉴别诊断】:
【治疗】:
【并发症】:
血行播散至淋巴结、肝、脾、骨骼、肾脏、肾上腺、前列腺、精囊、附睾、输卵管、子宫内膜、脑膜
【预后】:


【影像表现】:
上图:两肺弥漫性粟粒结节
下图:局部特写图(白圆圈内)
纵隔大细胞神经内分泌癌1例CT影像
张力性纵隔气肿影像表现及严重度分级
迅速增大的肺部结节,首先考虑良性,确诊需要肺穿
肺隔离症:易误诊为肺癌的占位性病变,肺穿刺禁忌!
肺段与肺内管道应用解剖
肺转移瘤的十种不典型CT表现
肺内淋巴结的CT表现特点及与病理对照
肺实变与肺不张的CT鉴别诊断
医生现身说法,这五种忙帮不得!
北大教授:要真正让医务人员有阳光体面的收入!医
为值夜班的医生护士鼓与呼:请给我们更多关注!
广东拟取消医院用药数量限制,满足患者多样性需求
博士、硕士入职就给精装房!又有医院不惜下血本招
历时7年之久,温医生宣判无罪!
重磅!四川发文:严禁限制医生多点执业
与真人医生诊断一致性达96%:AI医生应用前景广阔