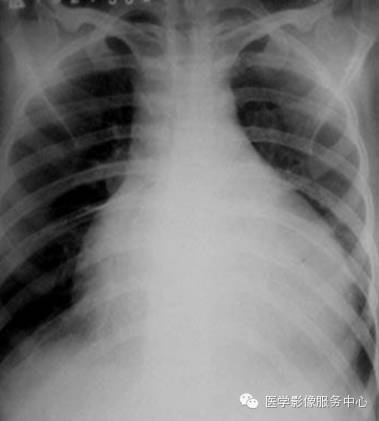
正常情况下,心包腔内有少量液体,如液体量超过50ml,即为心包积液。

X线检查对少量的心包积液的诊断有限度。当积液量增加时,可见心影向两侧增大,其至呈球形,心缘搏动普遍减弱或消大;部分患者可伴有上腔静脉扩张。

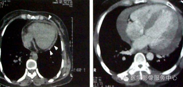
超声检查、CT和MRI对于心包积液的诊断有很高的精确度。

CT表现为:包腔增宽,心包腔内液体呈水样密度。CT值介于12HU~40HU之间,血性及渗出液CT值较漏出液及乳糜液CT值较低。少量积液仰卧位主要集中在左室背侧,中量积液对扩展至心脏腹侧,大量积液时可包裹所会心脏及大血管根部,下界可达BNJ水平,心包壁层、脏层间距明显增宽。

一般将心包积液分为三度,
I度为少量积液.积液量小于100ml,舒张期心包脏、壁层间距5mm~15mm;
II度为中等量积液,积液量100ml~500ml。心包脏、壁层间距15mm~25mm;
III度为大量积液,积液量>500ml,心包脏、壁层间距>25mm。
在MRI上,心包积液的信号强度依所选用脉冲序列和积液性质而不同。SE序列T1WI上多呈均匀低信,GRE序列呈高信号,如果心包积液内蛋白含量较高,T1WI可是不均匀高信号。血性积液则依血液成分的多少,呈中等或低信号。在T2WI上心包积液多为高信号。
纵隔大细胞神经内分泌癌1例CT影像
张力性纵隔气肿影像表现及严重度分级
迅速增大的肺部结节,首先考虑良性,确诊需要肺穿
肺隔离症:易误诊为肺癌的占位性病变,肺穿刺禁忌!
肺段与肺内管道应用解剖
肺转移瘤的十种不典型CT表现
肺内淋巴结的CT表现特点及与病理对照
肺实变与肺不张的CT鉴别诊断
医生现身说法,这五种忙帮不得!
北大教授:要真正让医务人员有阳光体面的收入!医
为值夜班的医生护士鼓与呼:请给我们更多关注!
广东拟取消医院用药数量限制,满足患者多样性需求
博士、硕士入职就给精装房!又有医院不惜下血本招
历时7年之久,温医生宣判无罪!
重磅!四川发文:严禁限制医生多点执业
与真人医生诊断一致性达96%:AI医生应用前景广阔