女,45岁。
主 诉:右膝关节疼痛16天,解黑便4天
现病史:患者于2021年8月17日开始出现右膝关节疼痛,无畏寒发热、恶心呕吐、咳嗽咳痰,无破溃、流脓,于8月20日在我院急诊科就诊,考虑关节炎,予口服双氯芬酸钠缓释片及泼尼松等药物治疗,无好转,随后转到天等县中医院就诊,予行右膝关节抽液及外敷中成药治疗(具体不详),4天前开始出现解黑便,每日1次,每次量约200g,伴有头晕、乏力,无腹痛、呕血、昏迷及呼吸困难等。今来院就诊,在门诊发现血压偏低,85/56mmHg,右膝关节抽出45ml的红色积液,右膝关节MRI示有骨髓炎,生命征不稳定,有转入我科指征,我科会诊后转入治疗。患者病后精神、睡眠差,未进食,大便如上述,小便色黄,量尚可,体重无明显变化。
病人体征:
神清,双肺呼吸音清,无罗音;心律齐,心音有力,无杂音;腹软,无压痛、反跳痛,肝脾肋下未及,肠鸣音正常,NS(-)。










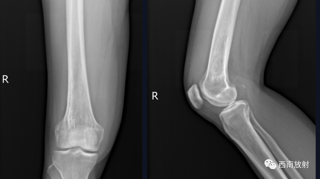
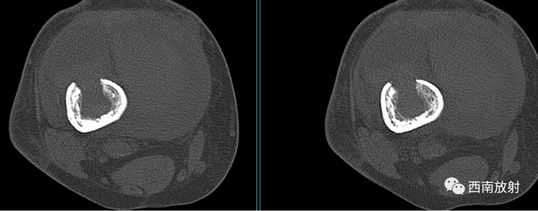
病例读片,欢迎公众号留言,最终结果近期公众号公布。
该病人最后手术治疗:
大体病理:右大腿中下段内侧骨膜外见一腔隙,约3X3X4cm,内有较多血凝块,有少许脓液,股骨下段周围有少许脓液,少量疤痕形成,右膝关节内有少许脓液,见有少许脓苔,右骨髓腔未见破坏,骨髓腔内有少许脓液,已被疤痕织包裹。
诊断:慢性骨髓炎,周围软组织脓肿。
慢性骨髓炎
慢性骨髓炎是由能形成生物膜的病原菌引起的骨膜、骨质和骨髓的慢性炎症,主要以骨组织的坏死、硬化、瘘管和窦道的形成以及长期流脓为特征,常反复发作。骨使细菌能够附着在生命体或植入物表面,同时不受宿主自身免疫系统的防御。
慢性骨髓炎和其他感染疾病一样,是细菌感染后引起的炎症反应过程,但又与其他感染有所不同,一般普通感染有着很高的治愈率,而其治愈率较低,有些学者甚至认为骨髓炎不可治愈,称之 为“恶性肿瘤”[1],其原因与骨组织的解剖结构、病原微生物的种类以及其生存能力有关。
影像学表现:
CT显示骨破坏、脓肿、死骨及骨膜增生、骨质增生硬化,呈骨小梁密度增高、模糊,髓腔密度增大、狭窄,皮质增厚。MRI显示早期骨髓内广泛分布的斑片异常信号,与邻近正常骨髓信号相比较,T1WI信号减低,T2WI信号增高,脂肪抑制T2WI 或STIR 等序列上病变显示更清楚,骨皮质周围软组织内呈弥漫分布的T1WI低信号及T2WI高信号影,边界模糊。出现骨膜反应,骨皮质不规则破坏,脓肿及死骨形成。

▲骨破坏区及硬化边

▲广泛骨膜增生

▲软组织脓肿
关于脂肪征

▲MRI脂肪征:病灶内单发或多发,T1WI上呈高信号,脂肪抑制序列信号明显减低。急性骨髓炎的脂肪球征发生机制:骨髓炎的炎性反应致骨髓腔内充血、渗出及水肿最终导致髓内压力增高,髓腔内大量脂肪细胞(即髓脂细胞)快速坏死释放出游离脂质并聚集形成脂肪球[2-3]。
治疗
慢性骨髓炎的治疗目的是彻底清除病灶,保证软组织覆盖,使骨断端愈合,保证肢体的长度及功能。抗生素治疗选择敏感抗生素是治疗骨髓炎的基础,并且 要大剂量、足疗程、联合用药。一旦进行了彻底的外科清创术,同时处理了细菌生物膜和缺血坏死组织,静脉注射抗生素等,慢性骨髓炎的诊断及治疗进展是有效的。
参考文献:
[1] 柴立兵. 创伤后骨髓炎的分期治疗[D]. 吉林: 吉林大学, 2016.
[2] Davies AM, Hughes DE, Grimer RJ. Intramedullary and extramedullary fat globules on magnetic resonance imaging as a diagnostic sign for osteomyelitis [J]. Eur Radiol, 2005, 15 (10):2194-2199.
[3] Godoy IRB, Neto LP, Rodrigues TC, et al. Intra and extramedullary fat globules as an MRI marker for osteomyelitis[J].Radiol Case Rep, 2018, 13(6): 1228-1232.
纵隔大细胞神经内分泌癌1例CT影像
张力性纵隔气肿影像表现及严重度分级
迅速增大的肺部结节,首先考虑良性,确诊需要肺穿
肺隔离症:易误诊为肺癌的占位性病变,肺穿刺禁忌!
肺段与肺内管道应用解剖
肺转移瘤的十种不典型CT表现
肺内淋巴结的CT表现特点及与病理对照
肺实变与肺不张的CT鉴别诊断
医生现身说法,这五种忙帮不得!
北大教授:要真正让医务人员有阳光体面的收入!医
为值夜班的医生护士鼓与呼:请给我们更多关注!
广东拟取消医院用药数量限制,满足患者多样性需求
博士、硕士入职就给精装房!又有医院不惜下血本招
历时7年之久,温医生宣判无罪!
重磅!四川发文:严禁限制医生多点执业
与真人医生诊断一致性达96%:AI医生应用前景广阔