


1.神经源性肿瘤软组织神经源性肿瘤好发于四肢肌间,主要是沿神经走行,一般呈梭形。T1WI上信号均匀或轻度不均匀,信号强度等于或稍低于肌肉,T2WI上为中等以上高信号,轻度不均匀。神经鞘瘤可有完整包膜,病变上下方可见与之相连并增粗的神经,但囊变率高,且囊变均发生于瘤体中心。神经纤维瘤无包膜,囊变少见。本例与软组织内神经源性肿瘤表现不符。
2.海绵状血管瘤软组织内海绵状血管瘤好发于肌间隙,下肢更多见。较大病灶多为梭形或类圆形,因无包膜而边缘不清。T1WI呈等或稍高信号,T2WI上为明显高信号。病灶内静脉石及血管流空影为其特征表现。Gd-DTPA增强扫描,病灶明显强化,其内低信号间隔无强化。本例有完整包膜,境界清,无血管流空,与海绵状血管瘤不同。
3.横纹肌肉瘤少见,约占软组织肿瘤的10%。可发生于任何年龄及不同部位,肿瘤呈结节状或分叶状,早期境界清楚,晚期常沿筋膜扩展,可达巨大体积,常伴坏死、出血。本例不能除外该病。
4.恶性纤维组织细胞瘤好发于50〜70岁男性,MRI表现为分叶状软组织肿块,境界大多清楚,T1WI以低信号为主,因瘤内含较多胶原纤维组织,故多夹杂更低信号,T2WI则在强度不一的多结节状高信号团块中,可见斑片低信号影,此特点在四肢其他类型软组织恶性肿瘤中较少见,注射对比剂后,病灶缓慢渐进性强化。
影像诊断:左大腿肌肉间隙占位性病变,考虑软组织肉瘤,横纹肌肉瘤可能大。
病理诊断:瘤体血管丰富呈鹿角状分支,管腔不规则,管壁薄;瘤细胞呈卵圆形或短梭形,胞质少;细胞核呈圆形或卵圆形,染色深,核分裂易见;瘤细胞围绕血管分布;免疫标记提示瘤细胞中度增殖。病理诊断为恶性血管外皮瘤。
文献报道,血管外皮肉瘤发现时多体积巨大,平均直径8〜10cm。因肿瘤内有坏死、囊变区及纤维组织成分,血管外皮肉瘤在MRI图像上多信号混杂,T1WI为等低信号为主,T2WI不均匀高信号,可伴瘤体内出血。50%以上的血管外皮肉瘤瘤内有扭曲的血管流空征象,可作为该病的特征性表现。但是,海绵状血管瘤和部分恶性纤维组织细胞瘤,因血管丰富,也可有血管流空征象,与之鉴别有困难。
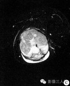
回顾分析,本例因无确切血管流空征象,其MRI表现与软组织肉瘤相仿,定性难度较大。关于肿瘤包膜,较小的血管外皮肉瘤因侵袭性而无明显包膜。但当肿块迅速生长至体积巨大时,多有包膜形成,并且包膜较完整,本例即是如此。因此,对于巨大软组织肿瘤,有无完整包膜对鉴别良、恶性无显著意义。总之,血管外皮肉瘤缺乏特征性临床和影像表现,MRI多方位、多参数成像及增强扫描是显示肿瘤范围、组织成分、包膜及与周边组织关系的最佳方法,最后确诊需组织学与免疫病理。
纵隔大细胞神经内分泌癌1例CT影像
张力性纵隔气肿影像表现及严重度分级
迅速增大的肺部结节,首先考虑良性,确诊需要肺穿
肺隔离症:易误诊为肺癌的占位性病变,肺穿刺禁忌!
肺段与肺内管道应用解剖
肺转移瘤的十种不典型CT表现
肺内淋巴结的CT表现特点及与病理对照
肺实变与肺不张的CT鉴别诊断
医生现身说法,这五种忙帮不得!
北大教授:要真正让医务人员有阳光体面的收入!医
为值夜班的医生护士鼓与呼:请给我们更多关注!
广东拟取消医院用药数量限制,满足患者多样性需求
博士、硕士入职就给精装房!又有医院不惜下血本招
历时7年之久,温医生宣判无罪!
重磅!四川发文:严禁限制医生多点执业
与真人医生诊断一致性达96%:AI医生应用前景广阔