1
bankart骨折
bankart骨折指肩关节盂前下边缘骨折,伴或者不伴有肩关节前脱位。是肩关节盂唇前下方在前下盂肱韧带复合体附着处的撕脱性损伤。因肩关节前脱位引起,是造成习惯性前方不稳定和脱臼的基本损伤。

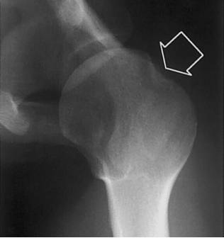
Hill-Sachs骨折
Hill-Sachs骨折指肱骨头压缩性骨折,当肩关节前脱位时,关节盂前缘撞击导致肱骨头后外侧压缩骨折。


Holstein lewis骨折
肱骨远端1/3骨折伴桡神经嵌压。


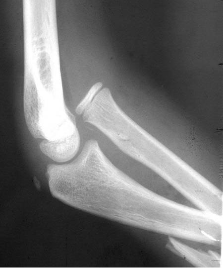
Monteggia骨折
孟氏骨折:桡骨头脱位合并尺骨骨折。

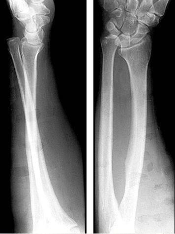
Galeazzi骨折
盖氏骨折:桡骨干骨折伴下尺桡关节脱位。

Essex-Lopresti骨折
桡骨颈骨折伴有远端尺桡关节分离。



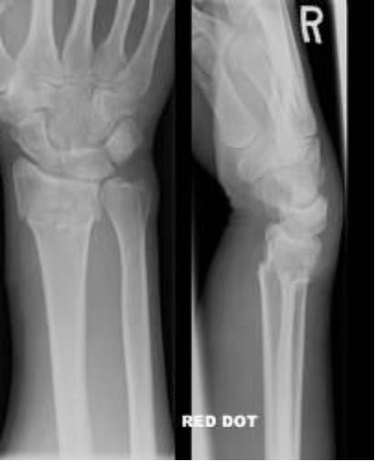
Colles骨折
桡骨远端伸直型骨折,远折端向桡背侧移位。是关节外骨折,常伴有尺骨茎突骨折。

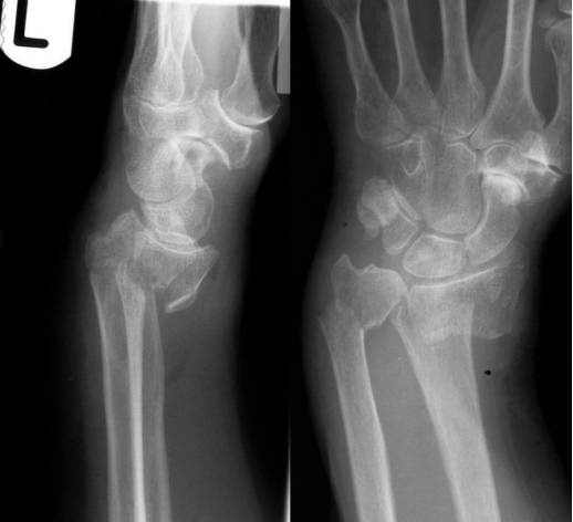
Smith骨折
桡骨远端屈曲型骨折,骨折远端向掌桡侧移位。

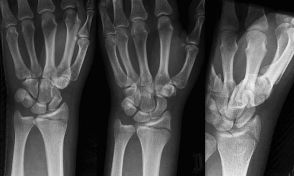
Barton骨折
桡骨远端关节内骨折,伴桡腕关节脱位。

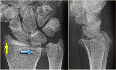
die-punch骨折
桡骨远端的关节内骨折,伴有月骨陷窝背侧表面的压迫。先将由月骨冲撞挤压桡骨的月骨关节面所造成的骨折通称为die-punch骨折。


Hutchinson骨折
又名Chauffeur骨折、back-fire骨折、crank骨折。是桡骨茎突斜行骨折,累及桡腕关节。

Boxer骨折
拳击骨折:指第5掌骨颈骨折,伴有掌骨头向掌侧移位,骨折端背侧成角,多发生于握拳击打损伤所致,同样的损伤机制,第4掌骨颈部骨折,也称Boxer骨折。

Bennett骨折
第一掌骨基底部关节内骨折伴脱位。

Rolando骨折
纵向暴力导致第一掌骨基底部劈裂骨折。属于关节内骨折。

Malgaigne骨折
指垂直不稳定骨盆骨折,骨折累及双侧耻骨支、骶髂关节或者骶骨。

Duverney骨折
直接暴力导致的髂骨翼单独骨折,没有骨盆环的分离移位。

Pipkin骨折
股骨头骨折伴髋关节后脱位。常见于屈膝屈髋位汽车仪表盘损伤。

Hoffa骨折
股骨髁的冠状位骨折,为关节内骨折。属于AO分型的B3型。

Segond骨折
胫骨平台前外侧撕脱骨折,多因为下肢过度内翻加内旋暴力所致,常伴有前交叉韧带、内外侧半月板的损伤。

反Segond骨折
胫骨平台内侧撕脱骨折,常因为下肢外翻应力加外旋所致。

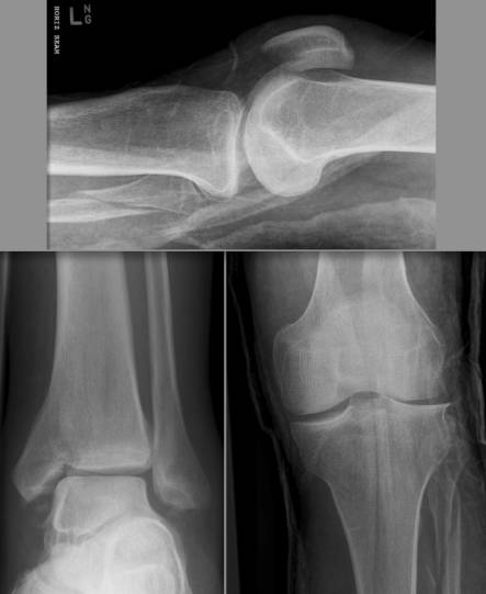
Maisonneuve骨折
由外旋暴力导致的腓骨近端骨折, 常常合并下胫腓分离、内踝骨折、三角韧带撕裂、前距腓韧带断裂、骨间韧带损伤、下胫腓韧带撕裂、后踝骨折等损伤,属于旋前-外旋三度损伤,踝关节不稳定。

Pilon骨折
是指胫骨远端关节内骨折,常常由垂直暴力所致,常常合并腓骨骨折和严重的软组织损伤。

Dupuytren骨折
踝部旋转骨折伴下胫腓韧带断裂,包括下胫腓分离和腓骨下端骨折。

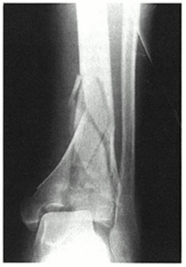
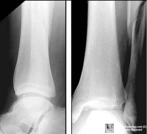
Tillaux-Chaput 骨折
Tillaux骨折:即下胫腓前韧带在胫骨的起点处发生的撕脱骨折。Tillaux-Chaput骨折:同样损伤机制导致的胫骨后外侧的撕脱骨折。


Bosworth骨折
一种难复性踝关节骨折脱位,损伤与踝关节极度外旋和跖屈有关,腓骨远端骨折伴有腓骨近侧骨折段向后移位交锁于胫骨后外侧棘后面。

Chopart骨折脱位
即累及足的chopart关节的骨折脱位。Chopart关节为跗骨间关节(距舟关节、跟骰关节)。

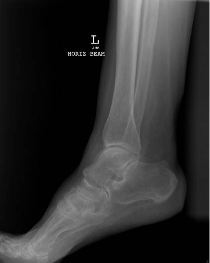
Aviator骨折
踝关节遭受极度背伸暴力所致的距骨颈骨折,称为飞行员骨折。多发生于飞行事故,阻挡使飞行员的足部极度背伸导致骨折。

Shepherd骨折
指距骨后突骨折,常为撕脱骨折。

Gosselin骨折
指胫骨远侧端的“V”形骨折,延及踝关节并将胫骨远端分为前后骨折块。

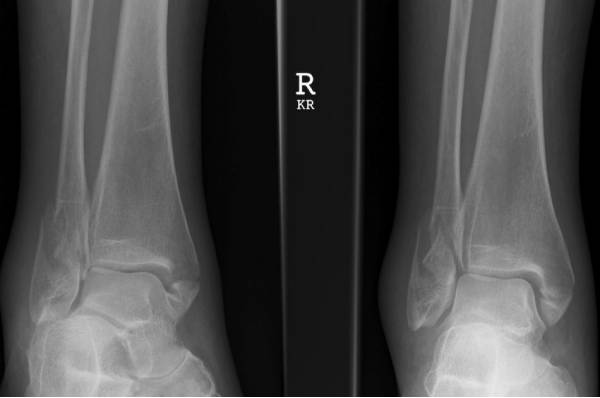
Pott骨折
内外踝骨折合并三角韧带断裂,踝关节完全失去稳定性并发生显著脱位者,称为Pott骨折。

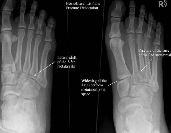
Lisfranc 损伤
Lisfranc关节即跖跗关节,跖跗关节复合体包括组成跖跗关节的骨、关节与韧带等全部结构。Lisfranc关节损伤即跖跗关节骨折脱位。

Le Fort’s 骨折
下胫腓前韧带在腓骨远端止点处的垂直撕脱骨折。

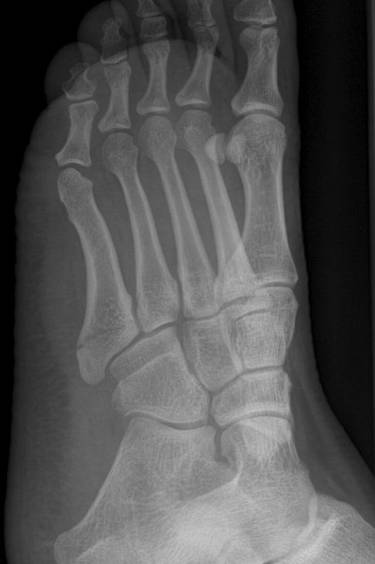
Jones骨折
第5跖骨基底部骨折,累及关节。

Cotton骨折
即三踝骨折。

Jefferson骨折
颈部轴向负荷导致的寰椎爆裂骨折。

Clay shoveler骨折
下颈椎或上胸椎棘突骨折。1940年德国Hall等报道13例棘突骨折的患者,这些患者均为铲土工人,因此Hall将这类孤立性的棘突骨折命名为Clay shoveler骨折,即“铲土者骨折”。

burst骨折
椎体轴向压力造成的骨折,通常发生骨折碎片向四周移位,有时候可以突入椎管。可以发生在颈椎、胸椎或腰椎。

Chance 骨折
胸腰段椎体的分离性骨折,伴随脊髓、神经根、椎体的水平方向的崩裂骨折。

纵隔大细胞神经内分泌癌1例CT影像
张力性纵隔气肿影像表现及严重度分级
迅速增大的肺部结节,首先考虑良性,确诊需要肺穿
肺隔离症:易误诊为肺癌的占位性病变,肺穿刺禁忌!
肺段与肺内管道应用解剖
肺转移瘤的十种不典型CT表现
肺内淋巴结的CT表现特点及与病理对照
肺实变与肺不张的CT鉴别诊断
医生现身说法,这五种忙帮不得!
北大教授:要真正让医务人员有阳光体面的收入!医
为值夜班的医生护士鼓与呼:请给我们更多关注!
广东拟取消医院用药数量限制,满足患者多样性需求
博士、硕士入职就给精装房!又有医院不惜下血本招
历时7年之久,温医生宣判无罪!
重磅!四川发文:严禁限制医生多点执业
与真人医生诊断一致性达96%:AI医生应用前景广阔