在进行MRI成像时,人体内有些部位由于某些特殊组织成分的影响,其测得的MRI信号强度会随着测量方向的改变而变化。这种特殊的MRI信号强度的改变不仅会影响我们对MRI图像的判读,甚至还会造成误诊的发生。在这种特殊的MRI信号强度改变中以“魔角效应”最为常见,本期主要介绍魔角效应的相关知识。

在临床扫描中经常会见到上图中的局部异常信号,对于这些异常信号考虑是退行性改变?撕裂?
本期内容:
什么是魔角效应(MAE)?
魔角效应出现在哪些部位?
魔角效应的MRI表现?
什么情况下会产生魔角效应?
遇到魔角效应该怎么办?
什么是魔角效应?

在TE值固定的情况下,其MR信号强度在一定的角宽内随着夹角的变化而改变。

在短TE成像序列上表现为异常增高的高信号,该信号的增高程度与此夹角相关,当夹角为55°(或180-55°)时,信号增高程度达到最大。这种异常增高的信号常见于短TE序列的T1WI和PDWI序列上,正常的肌腱局部会表现为高信号,但需要指出的是其信号强度的改变不仅仅局限于短TE的序列。

在MRI成像中,如果肌腱和主磁场的夹角接近55°,则肌腱的局部会在T1WI和PDWI上显示为高信号,图△箭头,但其在长TE序列(如T2WI )上显示为正常。这种魔角效应的存在可能会与病理情况相混淆,引起对MRI信号的误解读。
魔角效应常出现在哪些部位?
对于魔角效应,大家可能比较熟悉的是在肩关节和跟腱的扫描中;魔角效应常出现在含有致密且呈各向异性的特殊组织结构的部位,如常见于由胶原纤维构成的肌腱、韧带及关节软骨等部位,需要指出的是魔角效应不仅仅只局限于肌腱及软骨,它可以出现于人体的任何部位,如MRI的神经成像中也会产生。
什么情况下会产生魔角效应?
魔角效应可出现在含有上述组织(但不仅仅局限于含有纤维蛋白的组织)的任何部位(如肩关节、膝关节、踝关节、腕关节、髋关节、椎间盘等),任何方位(横轴位、矢状位、冠状位)。
在临床扫描中遇到魔角效应怎么办?
1. 适当的增加TE值,以减轻其魔角效应。虽然TE值不是决定魔角效应的唯一因素,但改变它是改善魔角效应最有效的一个因素。

左图:TE 35ms;髌韧带局部区域魔角现象较明显。右图:TE 70ms;无明显魔角现象。
在魔角的方向,肌腱的T2值会延长,在进行短TE成像时表现结果就是MRI信号强度的增加;在进行TE值较长的序列成像时,这种信号强度的改变可以忽略不计。
目前对于四肢关节的扫描常采用较短TE的序列扫描,如T1WI、PDWI和处于PDWI和T2WI之间的中间权重序列为主。所以为了避免魔角效应引起对MRI图像信号的误解读,在进行关节扫描时建议扫描序列中至少要有一个长TE的序列或使用STIR序列。

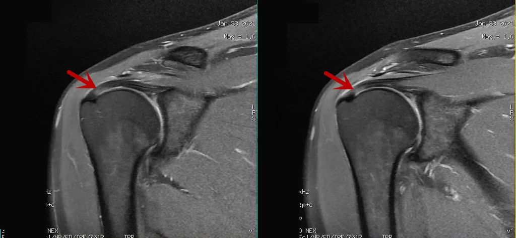
在肩关节冠状面的成像中,如采用短TE的的序列(如T1WI、PDWI)成像时,其魔角效应较明显,以PDWI序列最为显著,图△箭,所以对于肩关节的冠状面成像建议采用长TE的T2WI序列扫描。
2.改变扫描体位来避免魔角效应。

在摆放扫描部位时尽量避免扫描部位与主磁场呈50°-60°夹角,如膝关节、跟腱的扫描。图△膝关节PDWI序列,髌韧带区域的魔角效应得到了明显的改善。
魔角效应与主磁场的夹角密切相关,对于扫描技师如果在临床扫描中遇到怀疑是由于魔角效应造成的异常信号改变时,应知道如何去鉴别与改善它;同时,对于诊断医生,在进行这些部位的MRI信号解读时需多序列多方位观察对比,这样才能有效的避免对MRI信号的误解读。魔角效应给我们带来的大多是对诊断无益的伪影;但同时魔角效应可用于肌腱、腱鞘、关节软骨等一些富含胶原纤维组织的MRI特殊成像中,可有助于病变的显示及鉴别诊断。
参考文献:
Bydder G M . New Approaches to Magnetic Resonance Imaging of Intervertebral Discs, Tendons, Ligaments, and Menisci[J]. Spine, 2002, 27.S,
雷格格,张光锋,贾慧惠,吴继志,常严,易佩伟,盛茂,杨晓冬.短T2组织磁共振成像技术研究进展[J].中国医学物理学杂志,2020,37(5):594-598.
哈希米, 布拉德利, 利桑帝,等. MRI基础[M]. 人民卫生出版社, 2019.
J, Erickson, et al. The “magic angle” effect: background physics and clinical relevance.[J]. Radiology, 1993.
伍兵,王玉,邓开鸿.磁共振”魔角效应”新技术的临床应用[J].华西医学,2004,19(1):151-151.
Li T , Mirowitz S A . Manifestation of magic angle phenomenon: comparative study on effects of varying echo time and tendon orientation among various MR sequences.[J]. Magnetic Resonance Imaging, 2003, 21(7):741-744.
B.Kastler. 深入了解MRI基础[M]. 人民军医出版社, 2012.
Richardson M L , Behrang A , Richards T L . Some new angles on the magic angle: what MSK radiologists know and don’t know about this phenomenon[J]. Skeletal Radiology, 2018, 47:1673-1681.
纵隔大细胞神经内分泌癌1例CT影像
张力性纵隔气肿影像表现及严重度分级
迅速增大的肺部结节,首先考虑良性,确诊需要肺穿
肺隔离症:易误诊为肺癌的占位性病变,肺穿刺禁忌!
肺段与肺内管道应用解剖
肺转移瘤的十种不典型CT表现
肺内淋巴结的CT表现特点及与病理对照
肺实变与肺不张的CT鉴别诊断
医生现身说法,这五种忙帮不得!
北大教授:要真正让医务人员有阳光体面的收入!医
为值夜班的医生护士鼓与呼:请给我们更多关注!
广东拟取消医院用药数量限制,满足患者多样性需求
博士、硕士入职就给精装房!又有医院不惜下血本招
历时7年之久,温医生宣判无罪!
重磅!四川发文:严禁限制医生多点执业
与真人医生诊断一致性达96%:AI医生应用前景广阔