

Thaunat等将Ramp损伤进行分型,根据损伤区域的不同将内侧半月板Ramp损伤分成5种类型:
①内侧半月板后角与后关节囊区域损伤,该损伤非常靠近后关节囊滑膜,在行关节镜探查时损伤部分的活动度较低。
②内侧半月板后角上部纵行损伤,该损伤较稳定,通过关节镜前方髁间人路进行探查时损伤部位活动度较低。
③内侧半月板后角下部纵行损伤,也称为内侧半月板后角隐蔽式损伤,该损伤应用关节镜前方髁间入路进行探查时不易发现,并且由于半月板胫骨韧带的断裂,在进行关节镜探查时怀疑该损伤部位的活动度非常大。
④内侧半月板后角红区完全纵行撕裂,该损伤部位在行关节镜探查时移动的可能性非常大。
⑤内侧半月板后角红区双重纵行撕裂。
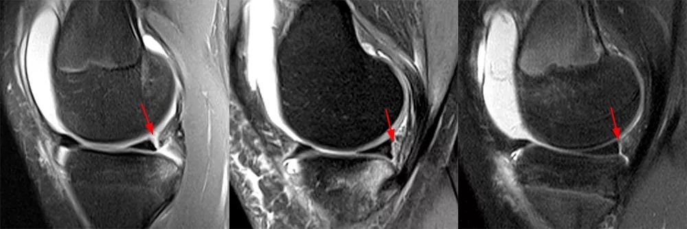
Hash等指出,Ramp损伤在MRI上的最突出 标志是在内侧半月板后角与后内侧关节囊之间插入了一个薄层的液体信号,观察内侧半月板后角与滑膜分离征象。
病例图片(均来自网络):





当ACL损 伤后关节会出现不稳,此时内侧半月板Ramp损伤的发生率会显著增加,其主要原因是内侧半月板Ramp区域所受压力增大。内侧半月板Ramp损伤常继发于膝关节前交叉韧带损伤,损伤隐蔽。生物力学研究发现内侧半月板 Ramp损伤可造成膝关节胫骨前移和内旋不稳。
纵隔大细胞神经内分泌癌1例CT影像
张力性纵隔气肿影像表现及严重度分级
迅速增大的肺部结节,首先考虑良性,确诊需要肺穿
肺隔离症:易误诊为肺癌的占位性病变,肺穿刺禁忌!
肺段与肺内管道应用解剖
肺转移瘤的十种不典型CT表现
肺内淋巴结的CT表现特点及与病理对照
肺实变与肺不张的CT鉴别诊断
医生现身说法,这五种忙帮不得!
北大教授:要真正让医务人员有阳光体面的收入!医
为值夜班的医生护士鼓与呼:请给我们更多关注!
广东拟取消医院用药数量限制,满足患者多样性需求
博士、硕士入职就给精装房!又有医院不惜下血本招
历时7年之久,温医生宣判无罪!
重磅!四川发文:严禁限制医生多点执业
与真人医生诊断一致性达96%:AI医生应用前景广阔