踝关节(anklejoint),由胫、腓骨下端的关节面与距骨滑车构成,故又名距骨小腿关节。胫骨的下关节面及内、外踝关节面共同形成的“冂”形的关节窝,容纳距骨滑车(关节头),由于滑车关节面前宽后窄,当足背屈时,较宽的前部进入窝内,关节稳定;但在跖屈时,如走下坡路时滑车较窄的后部进入窝内,踝关节松动且能作侧方运动,此时踝关节容易发生扭伤,其中以内翻损伤最多见,因为外踝比内踝长而低,可阻止距骨过度外翻。
1
踝关节解剖













2
踝关节常见损伤
一、软骨软化
长期运动导致关节软骨过度磨损,软骨细胞脱落,骨质增生,关节间隙狭窄一系列病理变化。
软骨信号层次变模糊,其内简斑片状或囊状异常信号,T1WI呈低信号,于STIR呈高信号;严重时软骨全层不同程度缺如,软骨下骨质明显增生、硬化。

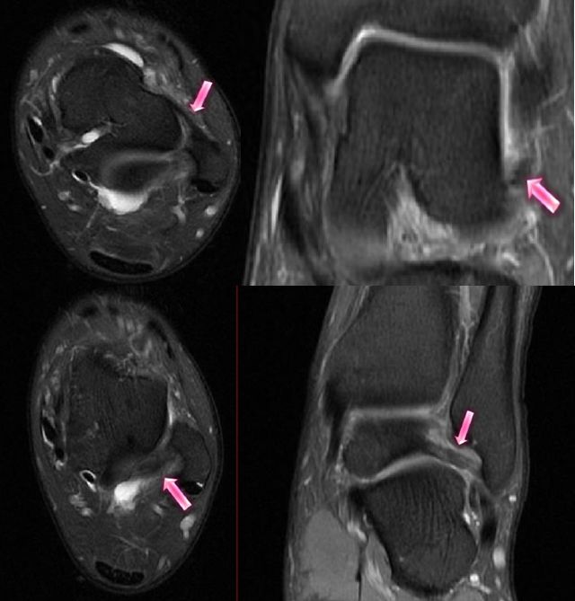
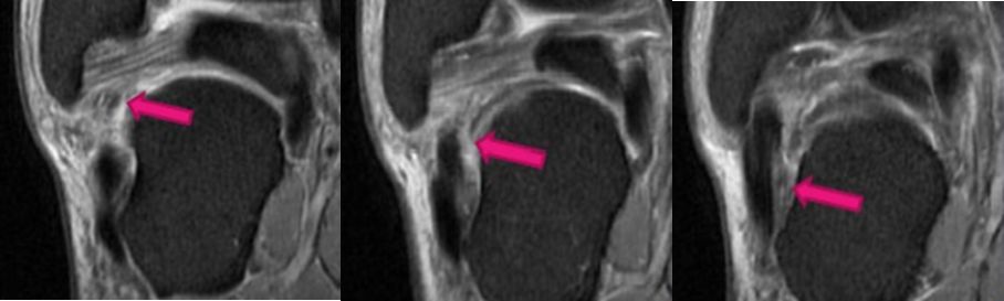
二、骨软骨损伤
好发于距骨前外侧、后内侧,尤其是后内侧,与内翻损伤相关。
MRI表现为软骨下骨质内斑片状或囊状T1WI低信号、STRI高信号影,伴或不伴小骨软骨碎片的分离、移位。
三、肌腱损伤
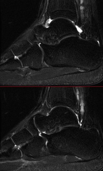
1、跟腱损伤
跟腱增粗,信号异常
跟腱断裂
腱围炎

跟后滑囊炎
四、韧带撕裂

踝关节韧带:1.联合韧带;2.外侧副韧带;3.三角韧带;4.距跟韧带。
1.联合韧带:胫腓前韧带、胫腓后韧带、胫腓横韧带



2.外侧副韧带:距腓前韧带、距腓后韧带、跟腓韧带


跟腓韧带

距腓前韧带撕裂

距腓后韧带撕裂

跟腓韧带撕裂
3.三角韧带:胫距前韧带、胫距后韧带、胫跟韧带、胫舟韧带


三角韧带撕裂
五、三角骨综合症
三角骨是距骨后端二次化中心,由软骨桥相连接。
病因:距骨三角骨急性骨折或慢性应力性骨折,胫骨后部或附近肌腱韧带反复撞击、压迫三角骨,引起踝关节囊后部级相邻的韧带和拇长屈肌腱的炎症。
MRI显示三角骨内骨髓水肿,邻近关节囊积液,软组织水肿级炎症,拇长屈肌腱水肿、腱鞘积液。

六、足底腱膜炎
足底腱膜是一个多层的纤维腱膜,由内层、中间层、外层构成,常说的腱膜通常指中间层,在MR上表现为2-4mm带状结构,在所有序列上为低信号。
足底腱膜炎是导致足底疼痛最常见的原因。

足底腱膜炎MRI表现:


足底腱膜炎伴跟骨内侧结节局限性水肿
七、踝管综合征
踝管解剖:踝管起自内踝后下方,止于跟骨。屈肌支持带与内踝、跟骨内侧面之间构成踝管。

又称为跗管综合征。创伤是最常见的可确切引起踝管综合征的原因。后足骨折及屈肌腱创伤性腱鞘炎、腱鞘囊肿引起踝管内压力增高。

纵隔大细胞神经内分泌癌1例CT影像
张力性纵隔气肿影像表现及严重度分级
迅速增大的肺部结节,首先考虑良性,确诊需要肺穿
肺隔离症:易误诊为肺癌的占位性病变,肺穿刺禁忌!
肺段与肺内管道应用解剖
肺转移瘤的十种不典型CT表现
肺内淋巴结的CT表现特点及与病理对照
肺实变与肺不张的CT鉴别诊断
医生现身说法,这五种忙帮不得!
北大教授:要真正让医务人员有阳光体面的收入!医
为值夜班的医生护士鼓与呼:请给我们更多关注!
广东拟取消医院用药数量限制,满足患者多样性需求
博士、硕士入职就给精装房!又有医院不惜下血本招
历时7年之久,温医生宣判无罪!
重磅!四川发文:严禁限制医生多点执业
与真人医生诊断一致性达96%:AI医生应用前景广阔