概述:前交叉韧带,也即前十字韧带,是人体膝关节维持前向稳定最重要的韧带结构,前交叉韧带损伤多因外伤暴力因素所致,表现为膝关节的不稳定感和错动感。
前交叉韧带损伤的诊断首先可通过查体快速判断,常用查体方法有前抽屉实验、轴移实验等,其次也有部分医院配备了膝关节稳定测试仪可辅助诊断。
影像学 MR 检查能明确显示出前交叉韧带是否损伤及损伤分度,有相对明显的优势。
1、MR 扫描方法
下肢外旋 10~15°,使前交叉韧带位于矢状面上,或者使扫描层面倾斜(矢状斜位)使前交叉韧带位于图像矢状面上。
为了更清楚地显示前交叉韧带,可采取 3 mm 层厚扫描。通常行矢状(斜)、冠状、横断面扫描。矢状面扫描可清楚地显示前交叉韧带的全貌,而冠状、横断面扫描可提供补充信息,特别对疑难病例,三维重建(立体效果好但图像对比差)也有助于前交叉韧带损伤的诊断。
2、解剖
前交叉韧带为 3~4 cm 长的带状结构,其纤维相互平行,起于胫骨平台前方内侧,止于股骨外髁内侧面的最后方。
与 Blumensaat 线的关系:按 Bemaro 和 Hertel(1996)的四分法,从侧面看前交叉韧带在股骨附着的中点,其前后方向位于后上象限的远下角,它相当于在沿 Blumensaat 线测得的后髁最大直径的 25% 处(后为 0%,前为 100%),远近端方向位于垂直于 Blumensaat 线的股骨髁高度的 25% 处(上为 0%,下为 100%)。
前交叉韧带中段的直径较两端细。在膝关节接近完全伸直时,前交叉韧带呈直线走向,屈膝时轻度弧形。膝关节伸直时前交叉韧带的前部纤维平行于 Blumensaat 线。
根据髌下滑膜皱襞(又称粘膜韧带)的形状和范围不同,前交叉韧带可被滑膜或髌下滑膜皱襞所覆盖。
3、正常 MR 图像
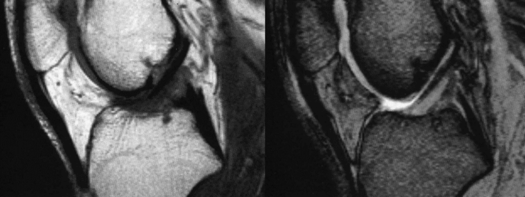
前交叉韧带正常 MR 图像为界限清晰的直线走向纤维束信号。
①当纤维束致密时,MR 图像为界限清晰带状低信号。
②当纤维束呈扇形走向,MR 图像可以表现为中等信号。

男,30 岁,正常前交叉韧带,T1 及 T2 加权序列矢状面

女,20 岁,正常前交叉韧带,扇形,韧带前为低信号,后为中等信号纤维束

男 40 岁,正常前交叉韧带,扇形,前为低信号,后为中等信号纤维束
4、病理生理
交叉韧带损伤时 80%~90% 患者伴有关节积血。前交叉韧带损伤在临床上常有合并损伤,如内侧副韧带及半月板损伤、骨挫伤、关节囊的骨性撕脱等。如果滑膜鞘完整,前交叉韧带在解剖上可表现为不完全断裂,但前交叉韧带功能完全丧失。

男,64 岁,右侧前交叉韧带损伤,止点撕脱骨折

女,50 岁,胫骨髁间隆突撕脱骨折,前交叉韧带部分撕裂
5、前交叉韧带异常 MR 图像
①前交叉韧带信号改变;
②韧带大小形态改变(如结构异常,直径改变,轮廓改变,走向改变等);
③韧带周围结构改变(一些间接征象);
④韧带附着点骨折,或胫骨向前脱位(与股骨对线不良);
⑤韧带损伤若不合并骨折,通常表现为关节肿胀不明显或迟发肿胀。
6、MR 损伤分级
根据国际上广泛接受的美国医学会对韧带损伤的分级标准,在 MR 上前交叉韧带损伤可分为 3 级损伤
1 级:前交叉韧带纤维束拉伤或隐匿损伤
仅有韧带内结构改变。在 T1 和 T2 加权序列上,韧带信号增高,但韧带的纤维束完整,韧带形状、厚度、长度无改变

女,65 岁,左膝关节前交叉韧带损伤,膝关节积液,T1 及 T2 加权序列前交叉韧带信号增高,但韧带纤维束完整外形无明显改变
2 级:前交叉韧带部分损伤
在 T1 和 T2 加权序列上都有高信号改变,且有韧带增厚(肿胀或出血所致),韧带外形和纤维不规则或部分不连续
病例 1:

男,50 岁,前交叉韧带部分损伤,T1 及 T2 加权序列,韧带信号明显增强,形状略不规则,纤维束部分仍连续
病例 2:

女,54 岁,左膝关节前交叉韧带部分撕裂,左侧胫骨上段骨折伴骨髓水肿,矢状面 T1 加权序列,冠状面及矢状面 T2 加权序列,韧带信号增高,部分纤维束连续
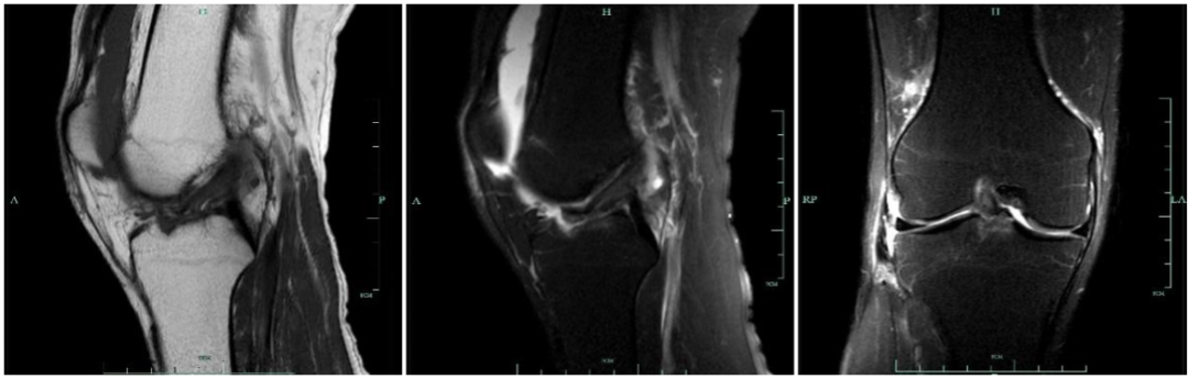
3 级:前交叉韧带完全损伤
在 MR 上表现为韧带信号明显增强,不连续,韧带可能有回缩,韧带走向异常或有假团块等

女,40 岁,外伤 2 周,前交叉韧带胫骨附着部撕脱骨折,胫骨平台骨折,胫骨平台骨折,胫骨见骨折线,伴骨髓水肿,韧带信号明显增强且不连续为 3 级损伤;髌腱远端见高信号改变
7、MR 诊断注意事项
扫描角度不正确可能影响前交叉韧带股骨附着点的显示
注意临床存在部分前交叉韧带发育不良患者
注意 MR 分级有相对局限性:滑膜内大量出血或其他合并损伤等情况可能使韧带损伤分级困难或不能准确分级,因此,临床上有部分前交叉韧带损伤患者 MR 分级为 2 级,但手术后证实为 3 级。
8、临床意义
前交叉韧带损伤 MR 分级为 1~2 级的患者,多数可采取保守治疗,因为这些损伤有的可自愈,而 3 级前交叉韧带损伤的患者可根据膝关节主观不稳定性和个人要求决定是否手术(但如前文所述,MR 分级有相对局限性)。而合并损伤存在时,治疗合并损伤(如骨折、半月板损伤)往往优先级更高。
作者:简
参考文献
1、Anterior Cruciate Ligament Tears: MR Imaging-based Diagnosis in a Pediatric Population1;10.1148/radiology.213.3.r99dc26697
2、Predictors of a Symptomatic Knee Following ACL Reconstruction: 84 Month Follow Up;10.1177/2325967117S00316
3、Magnetic resonance imaging and knee stability following ACL reconstruction. 10.1016/S0030-5898(05)70010-9
4、Magnetic resonance imaging of the anterior cruciate ligament: current concepts. 10.1016/S0266-7681(05)80222-0
5、The natural orientation of the Anterior Cruciate Ligament compared to the tibial plateau on magnetic resonance imaging scans 10.1016/j.jor.2020.09.010
6、MR as an accurate tool for the diagnosis and characterization of different knee joint meniscal injuries 10.1016/j.ejrnm.2017.06.013
纵隔大细胞神经内分泌癌1例CT影像
张力性纵隔气肿影像表现及严重度分级
迅速增大的肺部结节,首先考虑良性,确诊需要肺穿
肺隔离症:易误诊为肺癌的占位性病变,肺穿刺禁忌!
肺段与肺内管道应用解剖
肺转移瘤的十种不典型CT表现
肺内淋巴结的CT表现特点及与病理对照
肺实变与肺不张的CT鉴别诊断
医生现身说法,这五种忙帮不得!
北大教授:要真正让医务人员有阳光体面的收入!医
为值夜班的医生护士鼓与呼:请给我们更多关注!
广东拟取消医院用药数量限制,满足患者多样性需求
博士、硕士入职就给精装房!又有医院不惜下血本招
历时7年之久,温医生宣判无罪!
重磅!四川发文:严禁限制医生多点执业
与真人医生诊断一致性达96%:AI医生应用前景广阔