这个病,腰椎MR经常会漏诊!
话不多说,上病例:患者女,30岁,因腰骶部疼痛不适1年余就诊,自诉疼痛为间歇性钝痛,可耐受,无下肢疼痛及麻木感,不影响正常生活。患者半年前曾在当地某医院行腰椎MR检查,影像结论为:腰椎轻度退行性改变。此次就诊,临床主诊医生开具了胸腰椎MR平扫检查(可能是想通过扩大检查范围的方法进一步明确病因),影像结论为:所见胸腰椎轻度退变;L4/5椎间盘信号减低伴轻度突出征象。图像如下↓


根据上述影像结论,临床医生推荐患者回家进行保守治疗:平时避免重体力劳动,疼痛症状加重时口服止痛药。患者遵嘱执行1年余,自觉疼痛症状较前加重,于是在上周又过来做了一次腰椎MR平扫检查,图像如下↓



两次检查可以看到整个腰椎骨质结构的退变并不明显(毕竟人家芳龄才30
),椎间盘退变以L4/5水平为著(髓核退变、脱水后在T2WI上信号减低),但椎间盘的突出程度并不严重,一般来说不太可能引起明显的临床症状。那患者多年的腰疼症状到底是什么原因造成的呢?
先不着急解开谜底,我们看一个正常片子

看出有什么不一样了吗?
、
、
、
如果没看出来,我把两张图放一起

谜底揭晓
椎管内硬膜外脂肪增多症
椎管内硬膜外脂肪增多症(Spinal Epidural Lipomatosis,SEL)是一种以硬膜外脂肪在椎管内病理性增生为特征的疾病,好发于腰骶部。尽管SEL的具体病因尚不明确,但多数研究表明肥胖和类固醇激素(外源性或内源性)与本病关系密切。
由于骨性椎管容积有限,过量的脂肪组织堆积在椎管内会压迫邻近的硬膜囊,尤其是硬膜囊内的马尾神经,从而引起相应临床症状。因此本病的影像诊断主要是基于硬膜囊外脂肪增多和硬膜囊受压这两个方面。换句话说,只要能够识别正常的腰骶部MR解剖就可以诊断本病。

正常的腰骶部MR解剖:在脊髓圆锥(红箭)水平以下,椎管内走行的主要是终丝及马尾神经(黄箭),大量脑脊液填充在硬膜囊内(蓝箭头);硬膜囊以外的椎管内只有少量脂肪组织填充(绿箭头)。

为了方便大家记忆,笔者标注了一个腰椎矢状切面解剖标本,用来跟正常腰椎MR图像对照观察。

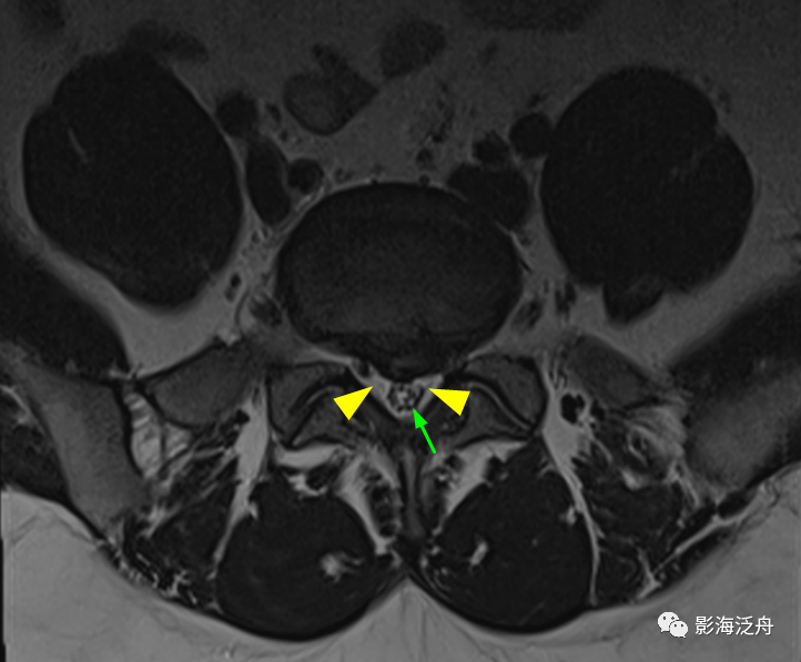
正常的腰骶部MR解剖:一般情况下,L5/S1层面是常规腰椎MR平扫横断位的最后一层,如上图所示,硬膜囊(红箭头)外只有很少量的脂肪(黄箭头)分布,马尾神经由硬膜囊内(绿箭)穿出并沿椎间孔区向外走行(蓝箭)。硬膜囊内的马尾神经均匀分散在硬膜囊边缘区。

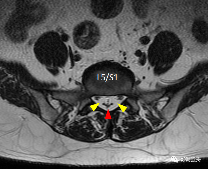
开篇那个患者的L5/S1水平横断面图像:可见椎管内大部分空间被脂肪组织占据(黄箭头),硬膜囊显著受压呈“V字”形改变(红箭头),硬膜囊内的马尾神经聚拢在一起显示不清。
为了让大家能够牢记住马尾神经在MR图像上的正常表现,再放两个病例。

病例一:患者男,27岁,搬重物后腰疼半天。可见L4/5椎间盘明显向左后方突出(红箭),硬膜囊受压明显,但硬膜囊内的马尾神经分布基本正常(绿箭)。

患者二:患者男31岁,也是搬重物后腰部疼痛。可见L5/S1椎间盘呈脱出改变(红箭),但仔细观察可以发现骶椎管内脂肪组织增多(黄箭头),在压脂T2WI序列呈低信号,与腰背部的皮下脂肪信号改变一致(蓝箭)。

病例二患者的L5/S1水平横断位像,可见椎管内硬膜囊外脂肪增多(黄箭头),硬膜囊受压,硬膜囊内的马尾神经呈聚拢改变(绿箭)。
最后,把正常和异常图像放一起再次对比观察,加深记忆!


(注:上面两幅图都是T1WI,由于是不同厂家仪器扫描,所以图像质感有差异)
通过上述图像的标注和对比,相信大家今后遇到这个病应该不会轻易漏诊了吧?
不过在实际工作中,经常会遇到患者腰骶部椎管内脂肪堆积增多,但又“不够多”,这个时候我们可以给出一个“腰骶管脂肪组织增多”的描述性诊断结论,同样能帮助临床医生进一步诊治。如果此类患者属于早期SEL,那么减肥或者停用类固醇药物可以在很大程度上缓解本病导致的疼痛症状;同时,对于部分内源性SEL患者——如库欣综合征,则可以提示临床通过进一步检查去明确或排除。
纵隔大细胞神经内分泌癌1例CT影像
张力性纵隔气肿影像表现及严重度分级
迅速增大的肺部结节,首先考虑良性,确诊需要肺穿
肺隔离症:易误诊为肺癌的占位性病变,肺穿刺禁忌!
肺段与肺内管道应用解剖
肺转移瘤的十种不典型CT表现
肺内淋巴结的CT表现特点及与病理对照
肺实变与肺不张的CT鉴别诊断
医生现身说法,这五种忙帮不得!
北大教授:要真正让医务人员有阳光体面的收入!医
为值夜班的医生护士鼓与呼:请给我们更多关注!
广东拟取消医院用药数量限制,满足患者多样性需求
博士、硕士入职就给精装房!又有医院不惜下血本招
历时7年之久,温医生宣判无罪!
重磅!四川发文:严禁限制医生多点执业
与真人医生诊断一致性达96%:AI医生应用前景广阔