假设申请单仅写外伤摄片,你能发现什么问题?
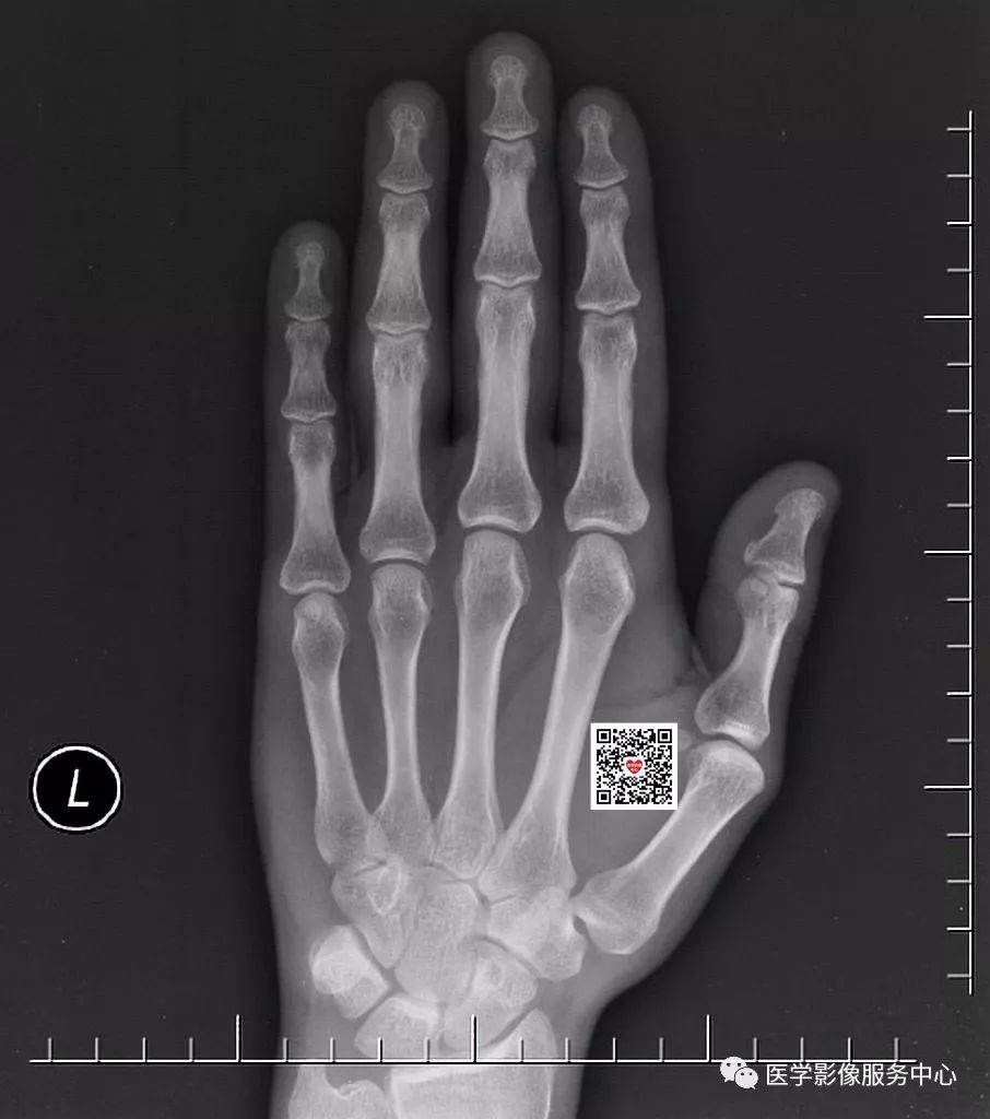
请看正位片

在这张正位片上,大家有没有发现问题?请仔细看哦!
再看斜位片

这张斜位片有没有问题,有几处问题?
最后再看局部放大的斜位片,估计这时候大家都能够发现问题所在

从这个左手正斜位片,我们总结了三个重点,分享给大家,期待批评指证!
1、检查申请单的病史描述很重要
有些外伤检查申请单上仅仅写外伤摄片,没有说明具体的受伤部位,这样的申请单是不符合规定的。以本病例来看,如果没有详细病史的话,一些经验不足的诊断医生可能会漏诊。就算有经验的诊断医生,在紧张繁忙的工作中,如果出现一丝精神倦怠,很有可能会忽略这种小的骨折线。所以,详细的检查申请单是减少漏诊误诊的必备条件。如果本病例申请单提示外伤位于左手第三指和第四指,相信大家都会重点观察受伤处并做出正确诊断。
2、标准的摄片摆位很重要
标准的摄片摆位是正确诊断的前提。但在实际工作中,由于患者伤处疼痛,往往配合不佳。这时候技术员朋友需要尽量的按照标准体位摆放,多给患者一些准备时间,不要因为可能会耽误时间而应付了事。以本病为例,正位片很难看到骨折线影,只有在斜位片才能够清楚发现两处骨折。假如患者因为疼痛,斜位摆放位置不佳,有可能将骨折线遮掩,从而得不到正确的检查结果。
3、影像诊断的经验性很重要
一个称职的影像诊断医生,要注意影像的蛛丝马迹。本病例的正位片虽然看不到明显的骨折线影,但是第四近节指间关节周围软组织还是可以发现肿胀。斜位片更加明显,第三、第四近节指间关节周围软组织均可发现肿胀,这就给我们一个提示。这时候要仔细查看该处有无骨折存在。这种间接征象对影像诊断有很大帮助。此外,正位片看不到异常,不代表没有问题,有时我们的诊断同行正位片没发现异常,很自信的认为没有问题,匆匆扫一眼斜位片,然后直接得出未见骨折的错误诊断。正位片与斜位片都很重要,要结合看,这也是影像检查要拍摄正位及斜位的原因。
一份合规的检查申请单、一个标准的摄片摆位、一次细心的读片诊断,三者均做到的结果就是能够得出一份对患者负责、让患者满意的检查结果。
纵隔大细胞神经内分泌癌1例CT影像
张力性纵隔气肿影像表现及严重度分级
迅速增大的肺部结节,首先考虑良性,确诊需要肺穿
肺隔离症:易误诊为肺癌的占位性病变,肺穿刺禁忌!
肺段与肺内管道应用解剖
肺转移瘤的十种不典型CT表现
肺内淋巴结的CT表现特点及与病理对照
肺实变与肺不张的CT鉴别诊断
医生现身说法,这五种忙帮不得!
北大教授:要真正让医务人员有阳光体面的收入!医
为值夜班的医生护士鼓与呼:请给我们更多关注!
广东拟取消医院用药数量限制,满足患者多样性需求
博士、硕士入职就给精装房!又有医院不惜下血本招
历时7年之久,温医生宣判无罪!
重磅!四川发文:严禁限制医生多点执业
与真人医生诊断一致性达96%:AI医生应用前景广阔