拇指籽骨:拇指指间关节籽骨(箭)较小且略呈三角形,与拇指掌指关节籽骨(箭头)不同,勿误认为撕脱骨折。

指骨骨皮质增厚:近、中节指骨骨皮质厚而致密,骨髓腔变窄,无病理学意义。

正常指骨粗隆:环指远节指骨粗隆呈不规则分叶状(白箭),部分呈透亮线改变(箭头),但边缘清晰,轮廓线连续,不应误为骨折线或病理改变。

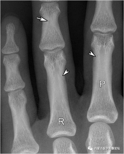
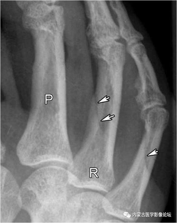
指骨滋养血管:箭头所示斜行透亮线影为近节指骨滋养血管,而白箭所示小圆形透亮区为中节指骨滋养血管轴位投照所致。注意指骨滋养血管从近端斜向远端,从骨皮质斜行走向髓腔,与掌骨相反。R:环指,P:近节指骨。


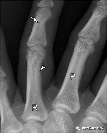
指骨Mach效应:箭头所示为环指(R)与小指骨结构内的软组织重叠影所形成的Mach效应,其走行与滋养血管影相反,也不应误为骨折线。

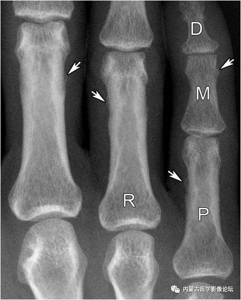
指骨正常骨突与骨嵴:白箭所示为肌腱附着的骨突与骨嵴,不应误为骨痂或骨膜增生。R:环指,P:近节指骨,M:中节指骨,D:远节指骨。


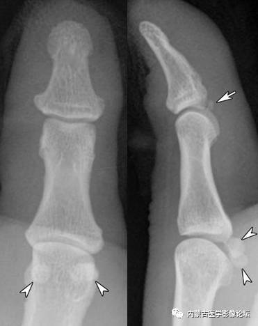
拇指掌腕关节“台阶征”:手正位片上(相当于拇指掌腕关节斜位),拇指掌腕关节的外形有一定程度的失真,关节边缘(箭)形成“台阶”样改变,与“半脱位”征象类似。手斜位片(相当于拇指掌腕关节正位)可以证实正位所见为假象。


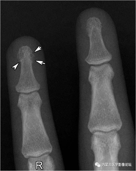
指骨粗隆骨折:指骨粗隆骨皮质不连续(白箭),呈透亮线影

拇指掌腕关节半脱位:手正位片示拇指掌腕关节呈“台阶”样改变,手斜位片证实为拇指掌腕关节半脱位。


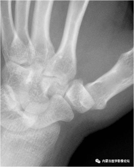
Bennett骨折:第1掌骨基底部骨折并累及掌腕关节面,可见移位的骨片。注意不应误认为副骨或籽骨。

类风湿性关节炎:双手骨质疏松,腕掌关节、桡腕关节及腕骨间关节间隙变窄,部分关节面呈虫蚀样破坏。

纵隔大细胞神经内分泌癌1例CT影像
张力性纵隔气肿影像表现及严重度分级
迅速增大的肺部结节,首先考虑良性,确诊需要肺穿
肺隔离症:易误诊为肺癌的占位性病变,肺穿刺禁忌!
肺段与肺内管道应用解剖
肺转移瘤的十种不典型CT表现
肺内淋巴结的CT表现特点及与病理对照
肺实变与肺不张的CT鉴别诊断
医生现身说法,这五种忙帮不得!
北大教授:要真正让医务人员有阳光体面的收入!医
为值夜班的医生护士鼓与呼:请给我们更多关注!
广东拟取消医院用药数量限制,满足患者多样性需求
博士、硕士入职就给精装房!又有医院不惜下血本招
历时7年之久,温医生宣判无罪!
重磅!四川发文:严禁限制医生多点执业
与真人医生诊断一致性达96%:AI医生应用前景广阔