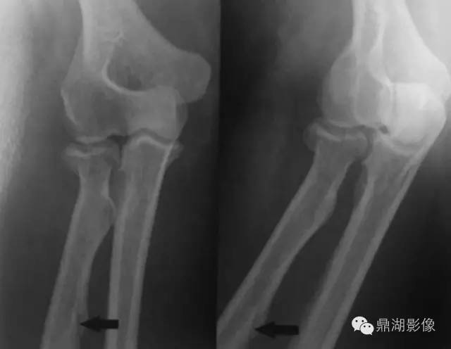
今天遇到一位外伤病人,右侧桡骨皮质区可见线样透亮影,与下图相似:

您会不会诊断骨折呢?我想不少人都会怀疑骨折可能。

但是,这其实桡骨的滋养管经典部位,认识这一解剖结构非常重要,以免将患者误诊为骨折。
所谓滋养孔,即是滋养血管穿过骨头时留下的空洞。一般要很大型的骨头才会有滋养血管,例如像上、下肢的几根主干骨那种级别的,比如肱骨,股骨,腓骨,胫骨。人体骨头上还有些孔其实关节腔的组成部分,全身206块骨头有很多都跟邻近的骨头合作构成关节,表面当然就会有凹陷、突起或者像孔一样的结构了。另外还有一些孔是血管和神经经过造成的,例如颅底的那些小孔。这种孔并非是固定的,如果人体有变异,那么它们也会被改造,位置和形状就变化了。
下面是股骨的滋养管:

nutrient canal:滋养管
纵隔大细胞神经内分泌癌1例CT影像
张力性纵隔气肿影像表现及严重度分级
迅速增大的肺部结节,首先考虑良性,确诊需要肺穿
肺隔离症:易误诊为肺癌的占位性病变,肺穿刺禁忌!
肺段与肺内管道应用解剖
肺转移瘤的十种不典型CT表现
肺内淋巴结的CT表现特点及与病理对照
肺实变与肺不张的CT鉴别诊断
医生现身说法,这五种忙帮不得!
北大教授:要真正让医务人员有阳光体面的收入!医
为值夜班的医生护士鼓与呼:请给我们更多关注!
广东拟取消医院用药数量限制,满足患者多样性需求
博士、硕士入职就给精装房!又有医院不惜下血本招
历时7年之久,温医生宣判无罪!
重磅!四川发文:严禁限制医生多点执业
与真人医生诊断一致性达96%:AI医生应用前景广阔