日常工作中,我们会遇到很多异常的病灶,认为它肯定是良性,但又不知道具体是什么或者明确的诊断是什么。今天我们来了解一个日常工作中会遇到的一个疾病-腹腔游离体。腹腔游离体是腹腔内形成的游离物,与关节鼠类型,又称为腹腔鼠,常常为意外发现,因此腹腔游离体常被临床忽略。但是也有腹腔游离体引起相应临床症状的报道,如腹痛、尿频等。如果对此病认识不足的话,腹腔游离体可能会被误诊为其他肿瘤,导致不必要的手术。
而实际上腹腔游离体有一定影像特征,本文从临床、影像等方面认识此疾病。
临床
腹腔游离体可发生于各个年龄段,以中年多见。腹腔游离体可位于腹腔的任何位置,一般体积较小,多数无明显临床症状,且多为偶然发现。腹腔游离体较大时可引起非特异性临床表现,如反复出现的腹部不适、位置交替变换的腹痛、肠梗阻、尿路梗阻、尿路刺激症状等。腹腔游离体另外一个特征可随患者体位变换、胃肠蠕动及呼吸运动等改变位置。巨大的腹腔游离体可在腹腔内游动过程中患者可出现反复的腹部不适或疼痛。
形成原因
目前腹腔游离体形成的具体原因尚不明确,大多数学者认为可能来自于结肠肠脂垂,肠脂垂扭转、梗死,经过炎性反应或脂肪组织缺血后脱落于腹腔,在没有血供的情况下,早期发生脂肪坏死,周围少许纤维组织包绕,随后中心部位发生皂化、钙化和纤维化,后逐步向外扩展,形成球形结节。其他可能来源于脂肪沉积的淋巴结脱落等。
病理特征
腹腔游离体大体上呈白色或灰白色外观,表明光滑,呈特异性 「 熟鸡蛋 」 样外观。镜下观腹腔游离体中心为脂肪组织伴钙化核心,周围为同心圆分布、多层包绕的纤维组织。
影像表现
(1)形态:圆形或椭圆形,边界清晰
(2)位置:可位于腹盆腔任何位置,肿块具有游走性。
(3)密度:①中心为钙化,钙化可呈不规则、斑片状或规则圆形,外周为无强化软组织密度;②中心为点状钙化,外周低密度环绕,最外缘软组织密度包绕,由内至外呈高低等三层结构密度;③钙化结节,内密度不均匀,夹杂少许低密度。 ④中心为脂肪密度,外周为薄层软组织密度,对应于肠脂垂脱落的早期。腹腔游离体的 CT 表现可能与脱落的肠脂垂所处的不同时期有关。

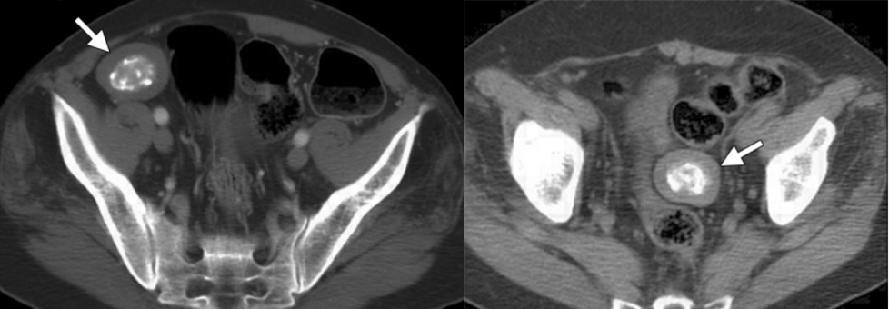
腹腔游离体,病灶位于盆腔,中心呈圆形钙化,周围呈厚环状软组织密度,增强后周围软组织密度未见强化(未展示)。PET-CT 示病灶无 FDG 摄取。该患者进行了手术,术后病灶大体观呈典型 「 熟鸡蛋 」 样外观。

腹腔游离体,病灶位于右侧下腹部,呈类圆形,边界清晰,中心呈团状钙化,周围呈软组织密度。3 年后病灶位置移动,位于盆腔乙状结肠旁,病灶中心钙化增密。

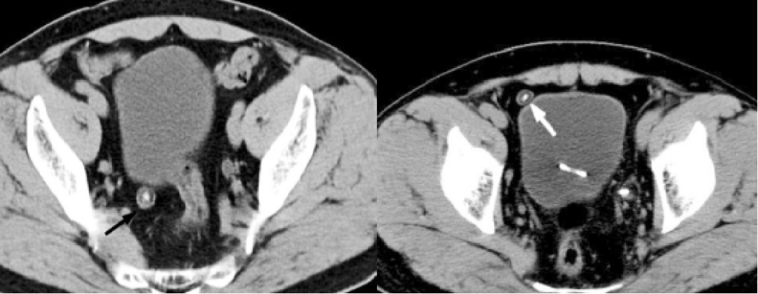
腹腔游离体,病灶呈脂肪密度,周围为薄层软组织密度,伴钙化。数天后病灶位置发生移动。此病灶表现对应早期脱落的肠脂垂。

腹腔游离体,病灶位于盆腔内,中心呈斑点状钙化,中间呈脂肪密度,周围呈软组织密度。
数天后病灶位置发生移动。
治疗
对于无症状的小的腹腔游离体,无需治疗,定期随访观察即可。对于较大的引起临床症状的腹腔游离体,可选择手术治疗。
作者 | 天涯陌路
参考文献
Dhoot N M, Afzalpurkar S, Goenka U, et al. A rare peritoneal egg: Case report with literature review[J]. Radiology Case Reports, 2020, 15(10):1895-1900.
尚培中, 李晓武, 刘冰, 张金江. 腹腔游离体的诊断与治疗进展 [J]. 中华普通外科学文献 (电子版), 2020, v.14(06):69-72.
王健, 周荣真, 周嫔, 等. 腹腔游离体的 CT 表现及诊断价值 [J]. 浙江实用医学, 2017, 22(006):428-430,436.
纵隔大细胞神经内分泌癌1例CT影像
张力性纵隔气肿影像表现及严重度分级
迅速增大的肺部结节,首先考虑良性,确诊需要肺穿
肺隔离症:易误诊为肺癌的占位性病变,肺穿刺禁忌!
肺段与肺内管道应用解剖
肺转移瘤的十种不典型CT表现
肺内淋巴结的CT表现特点及与病理对照
肺实变与肺不张的CT鉴别诊断
医生现身说法,这五种忙帮不得!
北大教授:要真正让医务人员有阳光体面的收入!医
为值夜班的医生护士鼓与呼:请给我们更多关注!
广东拟取消医院用药数量限制,满足患者多样性需求
博士、硕士入职就给精装房!又有医院不惜下血本招
历时7年之久,温医生宣判无罪!
重磅!四川发文:严禁限制医生多点执业
与真人医生诊断一致性达96%:AI医生应用前景广阔