尾状叶(Ⅰ段)具有单独的静脉回流系统, 其是惟一直接通过一系列肝短静脉将静脉血注入下腔静脉的肝后段, 此处即第三肝门。此外,肝尾状叶还具有单独的引流胆管 , 并同时由左、右半肝的门静脉及肝动脉分支供血,基于这种特殊的解剖构造,肝尾状叶具有极为重要的临床意义。

注:umbilical fissure翻译过来就是脐裂,但这个词好像上学以来没怎么听说过,查了相关资料,发现这个脐裂就是肝圆韧带裂。

顺便再复习一下肝小叶解剖~

早期布加综合征患者(30岁女性),肝尾状叶(CL)体积明显增大,其余肝实质轮廓尚可,但强化程度明显减低,呈散在斑片状强化(白箭),系肝淤血所致,腹腔可见积液(星号),三角所指为非受累节段的下腔静脉。肝尾状叶可以在布加综合征中做到“独善其身”,完全是拜其独特的解剖结构所赐。多数肝硬化患者也可以看到尾状叶增大。


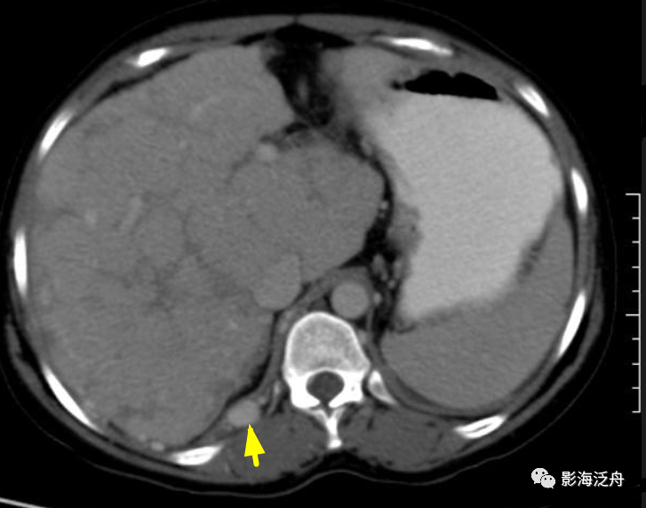
晚期布加综合征患者(下腔静脉隔膜型),肝尾状叶依然呈代偿性增大改变,局部强化相对均匀,其余肝实质强化不均,局部可见不规则裂隙样无强化区,肝包膜不光整,呈代偿性肝硬化表现。注意脊柱右旁可见侧支血管形成(黄箭),腹腔内无明显积液。
另文献报道肝尾状叶的胆管细胞癌可不产生肝内胆管梗阻征象,此系肝尾状叶具有独立的引流胆管,与静脉引流的作用相似。
纵隔大细胞神经内分泌癌1例CT影像
张力性纵隔气肿影像表现及严重度分级
迅速增大的肺部结节,首先考虑良性,确诊需要肺穿
肺隔离症:易误诊为肺癌的占位性病变,肺穿刺禁忌!
肺段与肺内管道应用解剖
肺转移瘤的十种不典型CT表现
肺内淋巴结的CT表现特点及与病理对照
肺实变与肺不张的CT鉴别诊断
医生现身说法,这五种忙帮不得!
北大教授:要真正让医务人员有阳光体面的收入!医
为值夜班的医生护士鼓与呼:请给我们更多关注!
广东拟取消医院用药数量限制,满足患者多样性需求
博士、硕士入职就给精装房!又有医院不惜下血本招
历时7年之久,温医生宣判无罪!
重磅!四川发文:严禁限制医生多点执业
与真人医生诊断一致性达96%:AI医生应用前景广阔