病例一
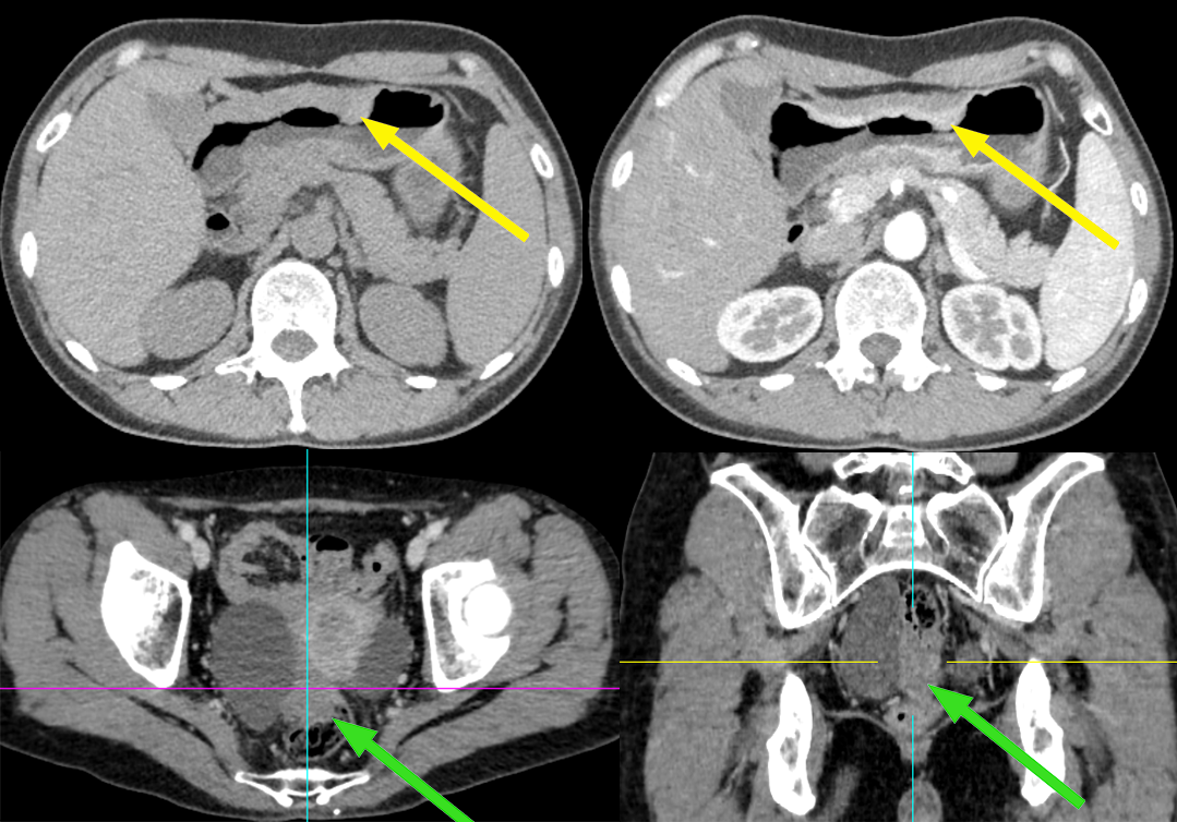
患者,女,51 岁,因上腹部不适 1 年,加重伴黑便 10 天 入院,胃镜及病理考虑胃粘液腺癌;CA125 正常。

影像描述:胃腔充盈尚可,贲门、胃小弯、胃体下部、胃角壁弥漫性增厚,不均匀明显强化,胃小弯侧浆膜层毛糙,周围脂肪间隙略浑浊,见结节样软组织影,大小约 0.8-1.0 cm,轻度强化。右侧附件区见团块状囊实混杂密度影,可见强化,与直肠分界不清。
02
病例二
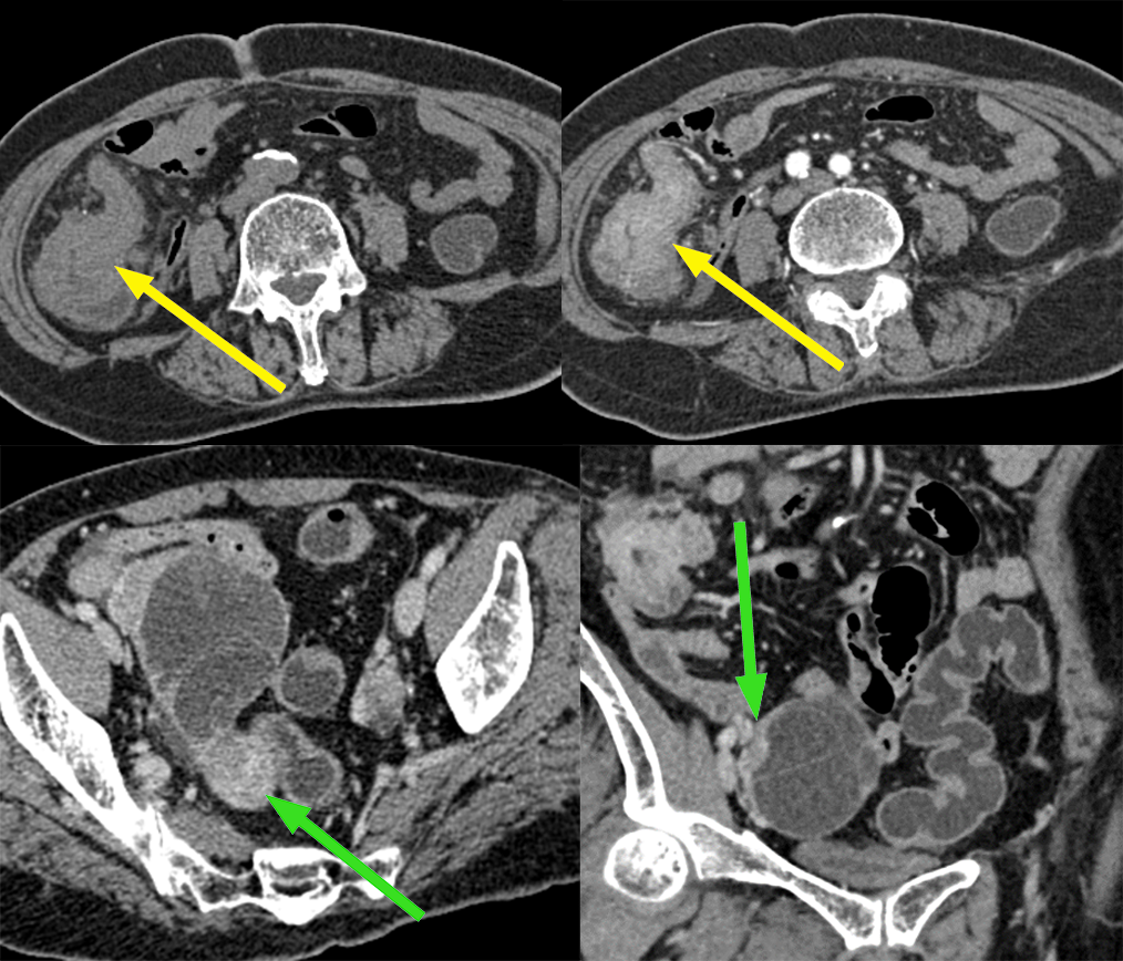
患者,女,70 岁,因排便习惯改变 1 年入院,肠镜及病理:升结肠近回盲部中低分化腺癌;CA125 正常。

影像描述:回盲部肠壁限局性环状增厚,突向腔内,表面不光滑,管腔明显变窄,浆膜层毛糙,增强呈明显不均匀强化,与肠壁边界不清,与周围组织分界尚清,周围脂肪间隙密度增高、浑浊,可见多个结节状软组织密度影,大小约 0.4-1.3 cm,明显强化。右侧附件区见较大囊实性团块影,其内可见分隔,大小约 6.7X5.5 cm,增强扫描实性部分及分隔可见明显强化,与邻近肠管及子宫体分界略欠清。
病例 1 手术:胃腺癌合并卵巢转移癌
病例 2 手术:结肠癌合并卵巢转移癌
卵巢转移癌
近年来,消化道恶性肿瘤,比如胃腺癌,大肠腺癌的发病率逐年上升,其常见的转移部位包括肝、肺、骨等,卵巢是较为少见的转移部位之一。卵巢有丰富的淋巴和血运,是转移瘤的好发部位,卵巢转移性肿瘤占全部卵巢肿瘤的 30%,约 80% 累及双侧卵巢。
大肠癌卵巢转移预后较差,很多患者在确诊后 1 年内死亡。好发年龄为 40 岁左右。Krukenberg’s 瘤-库肯勃瘤,是一特殊类型的转移性腺癌,含有典型的能产生粘液的印戒细胞,原发部位为胃肠道。
病理学表现
胃癌卵巢转移患者卵巢病灶主要表现为多形性印戒细胞和明显增生的间质细胞密切混合,形成多个界限不清的结节,肿瘤以印戒细胞为主,同时可见腺体、小管、小梁、细胞巢结构。
直肠癌卵巢转移患者肿瘤主要为中等大小的腺体,单个或形成筛状结构,上皮复层,异型性和去黏液性明显,部分区域类似于卵巢子宫内膜样癌的结构。
阑尾肿瘤卵巢转移患者,阑尾主要为低级别黏液性肿瘤,卵巢病灶表现相似,均为丰富的、分割性、细胞外黏液和黏液性增生上皮,黏液上皮表现为杂乱、不规则分布及不完整的腺体,黏液上皮异型性小,单层或局灶复层。

1A:胃癌卵巢转移,可见弥漫分布的多形性印戒细胞和致密的梭形细胞间质 HE × 200;1B:结肠癌卵巢转移,可见肿瘤细胞排列成腺样或筛状结构 HE × 40;1C:结肠癌卵巢转移,可见 ” 污秽性坏死 ” 和 ” 节段性坏死 “ HE × 100;1D:阑尾低级别黏液性肿瘤卵巢转移,可见丰富的、分割性、细胞外黏液和黏液性上皮,上皮细胞轻度异型 HE × 40

2A:胃癌卵巢转移患者细胞角蛋白 7(CK7)阳性;2B:胃癌卵巢转移患者细胞角蛋白 20(CK20)阳性;2C:胃癌卵巢转移患者尾型同源盒转录因子 2(CDX2)阳性;2D:结肠癌卵巢转移患者 CK7 阴性;2E:结肠癌卵巢转移患者 CK20 阳性;2F:结肠癌卵巢转移患者 CDX2 阳性
CT 表现
3、卵巢转移瘤 CT 表现:CT 是鉴别诊断的重要手段,双侧或单侧卵巢实性(乳腺癌,小)或囊实性(结肠癌,大)肿块,80% 的卵巢转移瘤为双侧生长,密度不均,大小不等,常有大量腹水和其他部位转移。

胃黏液腺癌双侧卵巢转移:双侧卵巢多房肿块
诊断意义及预后
经验表明肠道来源卵巢转移瘤,在发现转移瘤 3 个月内常发生肠梗阻,所以发现病变并一同切除, 可以避免二次手术。患者预后差,5 年存活率约 12%。卵巢库肯勃瘤的出现可能表明肿瘤已存在广泛的腹腔播散。因此,与手术治疗相比,患者更可能从全身化疗中获益。
由于卵巢转移性肿瘤术前确诊十分困难、对化疗敏感性较差,很多人寄希望于手术治疗,因为手术治疗既可以作为治疗手段又可以明确诊断。但是,患者能否从手术获益仍无定论。另外,美国结直肠外科协会建议,一旦确诊大肠癌卵巢转移,建议患者行双侧附件切除,因为双侧附件有相同的转移可能性,另一侧卵巢可能已经出现肉眼不可见的微转移。
小结
卵巢转移瘤一般较卵巢原发肿瘤发病年龄轻(40 岁左右),存在卵巢外原发肿瘤(尤其是消化道、乳腺及生殖道肿瘤),同时发现卵巢一个或多个肿物,要考虑卵巢转移瘤的可能,典型影像表现为双侧病变,大小不等,实性或囊实性肿物,CA125 一般正常。
作者 | 影像shine
纵隔大细胞神经内分泌癌1例CT影像
张力性纵隔气肿影像表现及严重度分级
迅速增大的肺部结节,首先考虑良性,确诊需要肺穿
肺隔离症:易误诊为肺癌的占位性病变,肺穿刺禁忌!
肺段与肺内管道应用解剖
肺转移瘤的十种不典型CT表现
肺内淋巴结的CT表现特点及与病理对照
肺实变与肺不张的CT鉴别诊断
医生现身说法,这五种忙帮不得!
北大教授:要真正让医务人员有阳光体面的收入!医
为值夜班的医生护士鼓与呼:请给我们更多关注!
广东拟取消医院用药数量限制,满足患者多样性需求
博士、硕士入职就给精装房!又有医院不惜下血本招
历时7年之久,温医生宣判无罪!
重磅!四川发文:严禁限制医生多点执业
与真人医生诊断一致性达96%:AI医生应用前景广阔