直肠血管瘤1例CT及MR

发布时间:2022-10-31   来源:未知    
×
织梦二维码生成器

【病例】直肠血管瘤1例CT及MR-1

【病例】直肠血管瘤1例CT及MR-2

【病例】直肠血管瘤1例CT及MR-3

【病例】直肠血管瘤1例CT及MR-4

【病例】直肠血管瘤1例CT及MR-5

【病例】直肠血管瘤1例CT及MR-6

【病例】直肠血管瘤1例CT及MR-7

【病例】直肠血管瘤1例CT及MR-8

【病例】直肠血管瘤1例CT及MR-9

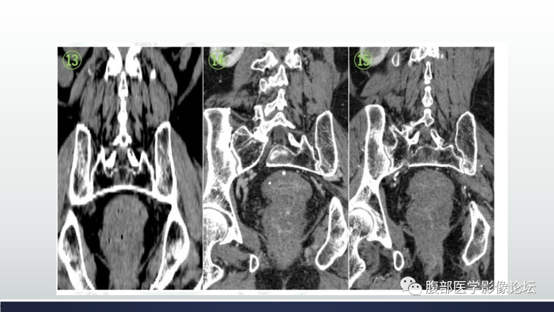
【病例】直肠血管瘤1例CT及MR-10

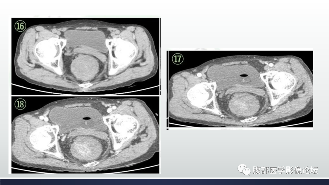
【病例】直肠血管瘤1例CT及MR-11

【病例】直肠血管瘤1例CT及MR-12

【病例】直肠血管瘤1例CT及MR-13

图说天下

医学图库
医学资讯
医学前沿
病例讨论