【病例】宫颈癌1例CT影像表现

发布时间:2022-10-26   来源:未知    
×
织梦二维码生成器

【病例】宫颈癌1例CT影像表现

【病例】宫颈癌1例CT影像表现

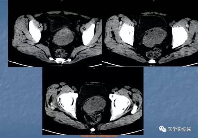
【病例】宫颈癌1例CT影像表现

【病例】宫颈癌1例CT影像表现


诊断结果:宫颈鳞癌

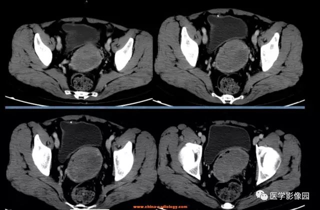
【病例】宫颈癌1例CT影像表现

【病例】宫颈癌1例CT影像表现

【病例】宫颈癌1例CT影像表现

【病例】宫颈癌1例CT影像表现

【病例】宫颈癌1例CT影像表现

【病例】宫颈癌1例CT影像表现

图说天下

医学图库
医学资讯
医学前沿
病例讨论