







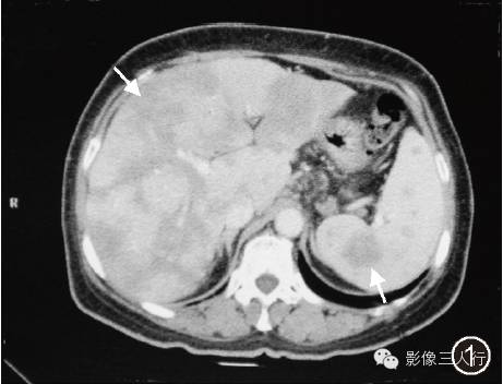
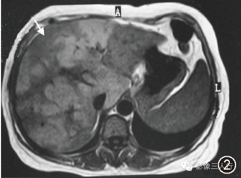
图2,3 分别为T1WI、T2WI,可见肝脏、脾脏内多发点状、片状低信号影(↑)
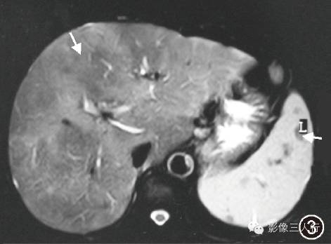
图4 DWI示病灶扩散不受限,呈低信号(↑)
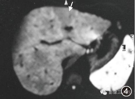
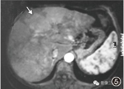
图5 MRI动态增强扫描动脉期像示病灶强化不明显,呈低信号(↑)
图6 病理示肉芽肿性结节由上皮样细胞构成,结节内无干酪样坏死,散在多核巨细胞,结节周围见少量淋巴细胞(HE ×100)

纵隔大细胞神经内分泌癌1例CT影像
张力性纵隔气肿影像表现及严重度分级
迅速增大的肺部结节,首先考虑良性,确诊需要肺穿
肺隔离症:易误诊为肺癌的占位性病变,肺穿刺禁忌!
肺段与肺内管道应用解剖
肺转移瘤的十种不典型CT表现
肺内淋巴结的CT表现特点及与病理对照
肺实变与肺不张的CT鉴别诊断
医生现身说法,这五种忙帮不得!
北大教授:要真正让医务人员有阳光体面的收入!医
为值夜班的医生护士鼓与呼:请给我们更多关注!
广东拟取消医院用药数量限制,满足患者多样性需求
博士、硕士入职就给精装房!又有医院不惜下血本招
历时7年之久,温医生宣判无罪!
重磅!四川发文:严禁限制医生多点执业
与真人医生诊断一致性达96%:AI医生应用前景广阔