男,28岁。查体时发现右肾占位,考虑不除外恶性肿瘤,患者诉无明显不适,无腰腹部疼痛不适,无尿频、尿急、尿痛,未见肉眼血尿。








[影像表现]
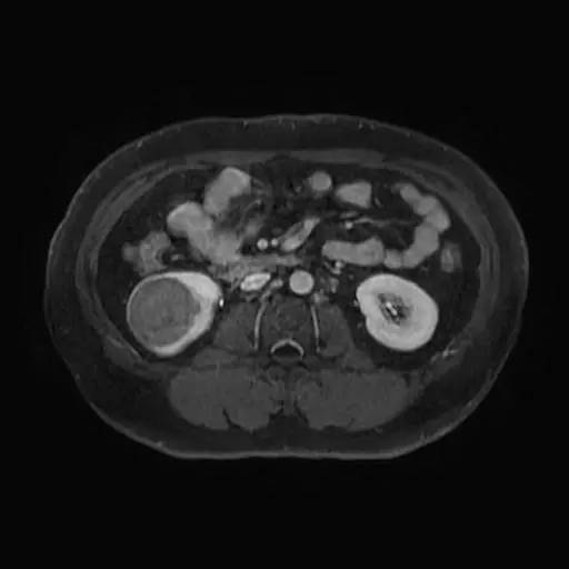
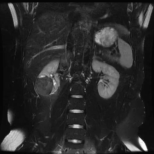
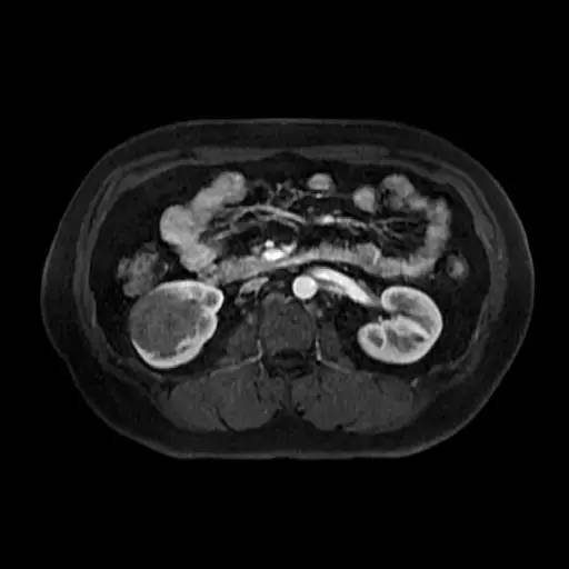
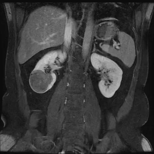
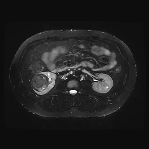
右肾中下部见类圆形约52*49*59毫米类圆形短和稍长T1、短和长T2异常信号肿块,可见假包膜,DWI呈晕环结节状稍高和稍低信号,反相位图像病变信号未见异常减低;皮质期病变未见异常强化,髓质期及延迟期持续轻度强化;病变内小部分区域未见强化。所见肝胆、胰腺、脾脏及双侧肾上腺未见异常,肝门、肾门及所见腹膜后未见异常肿大淋巴结影。
[病理结果]
病理:
楔形切除肾组织,大小6x5x5cm,临床已切开,切缘面积6x5cm,切面见一肿物,大小5x4x4cm,肿物切面灰黄色,质软,(右)肾乳头状肾细胞癌,Ⅰ型,肿瘤大小为5x4x4cm。切缘净。免疫组化染色显示:CD10(-),CK7( ),p504S( ),Vimentin( ),CD117(-),CK( )。
[诊断思路]
影像诊断:右肾中下部少血供肿块伴出血、坏死和囊变,考虑:恶性肿瘤,以肾癌(非透明细胞癌)可能性最大,不能完全除外表现不典型的血管平滑肌脂肪瘤。
病理:
楔形切除肾组织,大小6x5x5cm,临床已切开,切缘面积6x5cm,切面见一肿物,大小5x4x4cm,肿物切面灰黄色,质软,(右)肾乳头状肾细胞癌,Ⅰ型,肿瘤大小为5x4x4cm。切缘净。免疫组化染色显示:CD10(-),CK7( ),p504S( ),Vimentin( ),CD117(-),CK( )。
鉴别诊断:
1、肾癌:为肾实质性肿瘤,分通明细胞性和非透明细胞型,临床早期多无明显体征,晚期可有腰痛伴乏力低热,亦可有肉眼血尿,肿块易出血、坏死和囊变,假包膜形成,CT平扫示肿物CT值不均,强化后右肾稍低密度灶不均匀强化,低于正常肾组织,静脉肾盂造影检查可有肾盂受压变形。
2、肾囊肿:病人多无自觉症状,极少有血尿等症状,有些病例以破裂出血而急诊。静脉肾盂造影提示肾盂变形,MR长T1长T2信号,增强无强化。
3、肾错构瘤:又称为血管平滑肌脂肪瘤,病人常无明显的自觉症状,肾肿瘤明显增大可引起腰痛,B超可见肿瘤内强回声,CT平扫可见肿瘤内低密度影,CT值常为负值,MR反相位信号勾边减低,增强渐进性强化。
4、肾盂癌:主要症状为无痛性血尿,静脉肾盂造影可见肾盂有充盈性缺损,影像检查可见肾盂内实性占位。
纵隔大细胞神经内分泌癌1例CT影像
张力性纵隔气肿影像表现及严重度分级
迅速增大的肺部结节,首先考虑良性,确诊需要肺穿
肺隔离症:易误诊为肺癌的占位性病变,肺穿刺禁忌!
肺段与肺内管道应用解剖
肺转移瘤的十种不典型CT表现
肺内淋巴结的CT表现特点及与病理对照
肺实变与肺不张的CT鉴别诊断
医生现身说法,这五种忙帮不得!
北大教授:要真正让医务人员有阳光体面的收入!医
为值夜班的医生护士鼓与呼:请给我们更多关注!
广东拟取消医院用药数量限制,满足患者多样性需求
博士、硕士入职就给精装房!又有医院不惜下血本招
历时7年之久,温医生宣判无罪!
重磅!四川发文:严禁限制医生多点执业
与真人医生诊断一致性达96%:AI医生应用前景广阔