【病例】颅内肿瘤,脑内?脑外?

发布时间:2022-10-24   来源:未知    
×
织梦二维码生成器

【病例】颅内肿瘤,脑内?脑外?

【病例】颅内肿瘤,脑内?脑外?

【病例】颅内肿瘤,脑内?脑外?

【病例】颅内肿瘤,脑内?脑外?

【病例】颅内肿瘤,脑内?脑外?

【病例】颅内肿瘤,脑内?脑外?

【病例】颅内肿瘤,脑内?脑外?

【病例】颅内肿瘤,脑内?脑外?

【病例】颅内肿瘤,脑内?脑外?

【病例】颅内肿瘤,脑内?脑外?

【病例】颅内肿瘤,脑内?脑外?

【病例】颅内肿瘤,脑内?脑外?

【病例】颅内肿瘤,脑内?脑外?

【病例】颅内肿瘤,脑内?脑外?

【病例】颅内肿瘤,脑内?脑外?

【病例】颅内肿瘤,脑内?脑外?

【病例】颅内肿瘤,脑内?脑外?

【病例】颅内肿瘤,脑内?脑外?

【病例】颅内肿瘤,脑内?脑外?

【病例】颅内肿瘤,脑内?脑外?

【病例】颅内肿瘤,脑内?脑外?

【病例】颅内肿瘤,脑内?脑外?

【病例】颅内肿瘤,脑内?脑外?

【病例】颅内肿瘤,脑内?脑外?

【病例】颅内肿瘤,脑内?脑外?

【病例】颅内肿瘤,脑内?脑外?

【病例】颅内肿瘤,脑内?脑外?

【病例】颅内肿瘤,脑内?脑外?

【病例】颅内肿瘤,脑内?脑外?

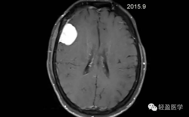
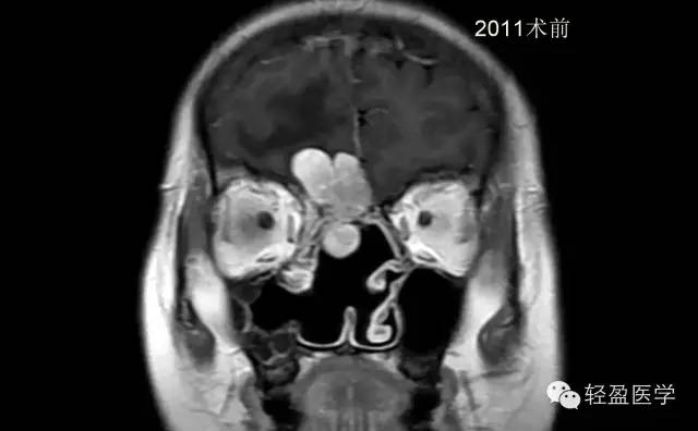
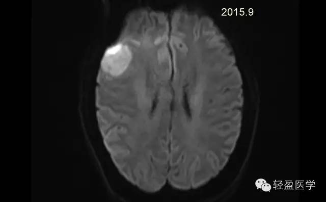
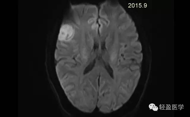
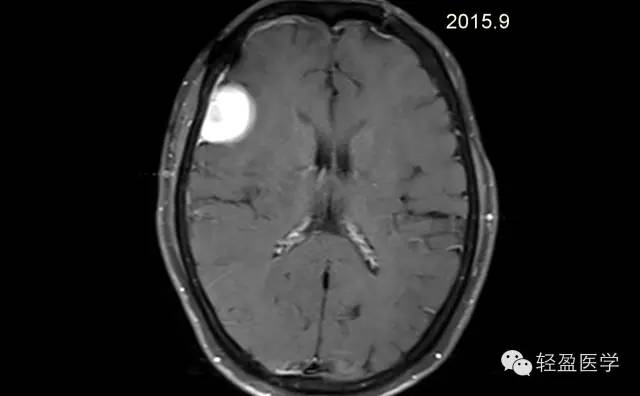
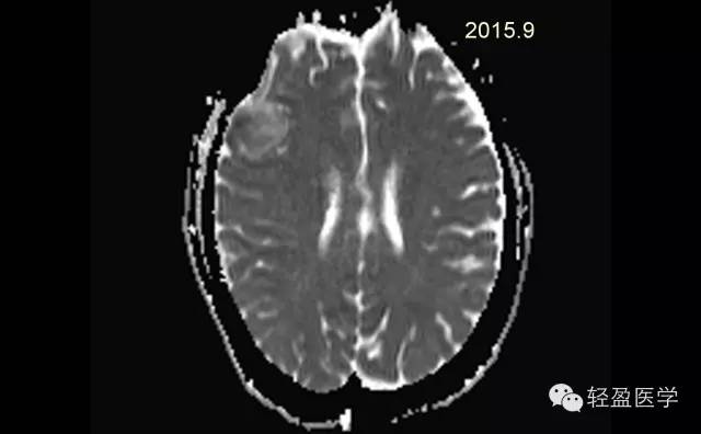
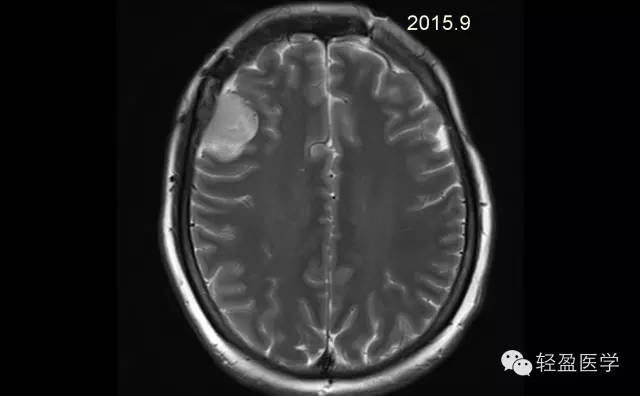
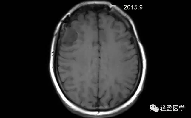
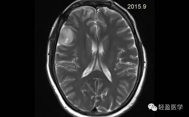
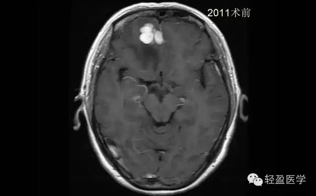
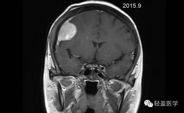
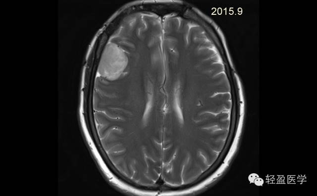
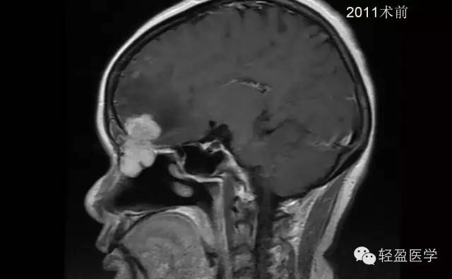
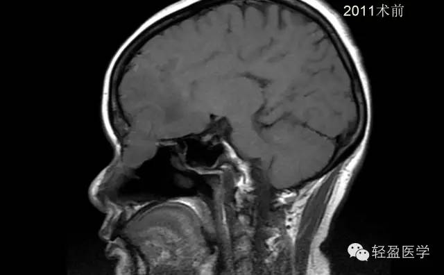
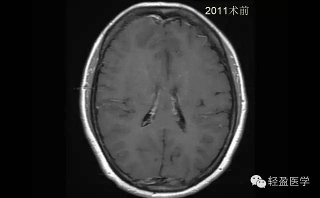
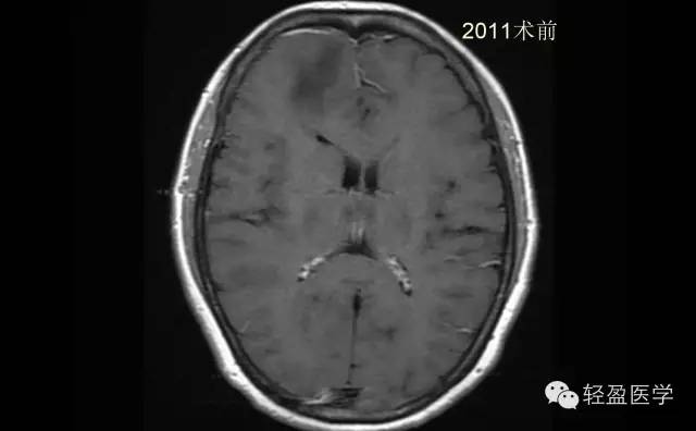
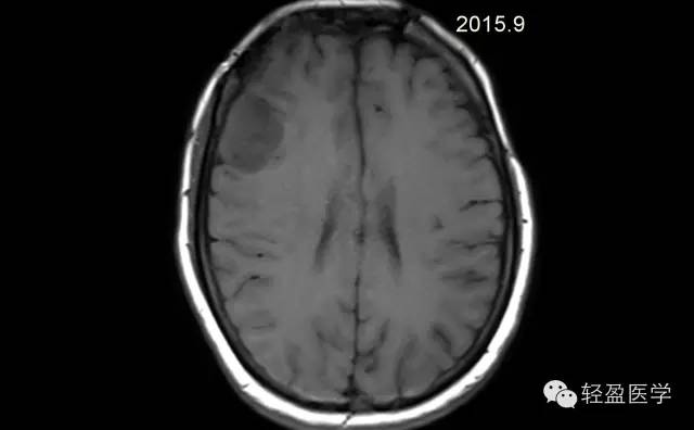
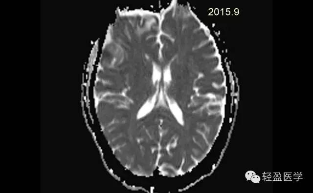
病理为:小细胞恶性肿瘤,考虑为(外周)原始神经外胚层肿瘤,(复发)。以下是病例结果及分析。

【病例】颅内肿瘤,脑内?脑外?

【病例】颅内肿瘤,脑内?脑外?

图说天下

医学图库
医学资讯
医学前沿
病例讨论