【临床资料】
28岁男性,头痛、头晕、恶心、呕吐半天余,近期有感冒病史。
【诊断结果】
脑静脉窦血栓
【影像表现】




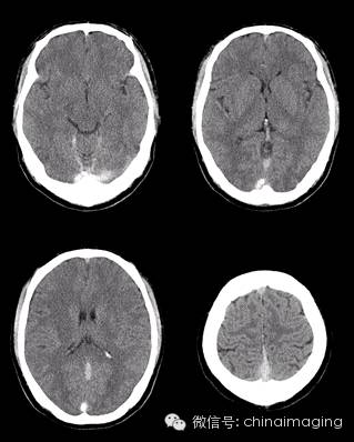
1.CT 窦腔内圆形、椭圆形、三角形高密度影,1周后低密度改变。(1)空“△”症 出现率35-75%。(2)条索症 出现率<20%。
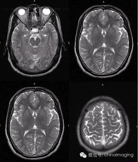
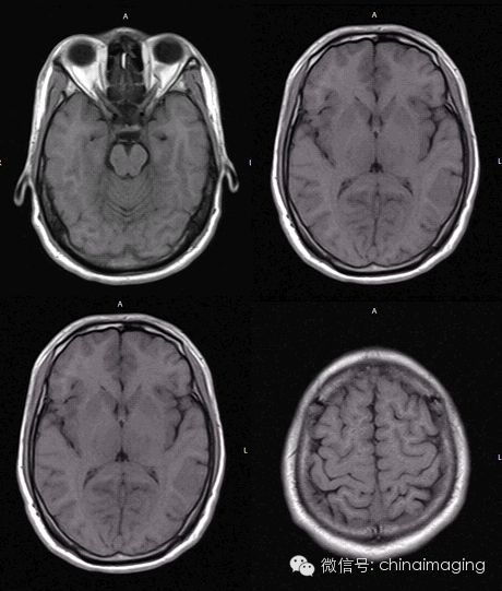
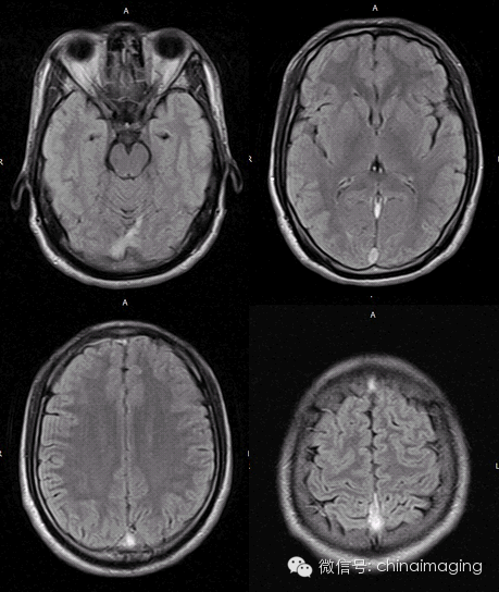
2.MRI 初期:正常、血管流空现象消失。继之:T1、T2像均为高信号。随血管再生:出现正常流空信号。
【总结】
脑静脉窦血栓(cerebral venous sinus thrombosis,CVST)是一种特殊类型的脑血管疾病,发生率不足所有卒中的1%。通常以儿童和青壮年多见,而儿童患者中又以感染引起的侧窦和海绵窦多见。化脓性中耳炎和乳突炎患者易并发横窦(transverse portion of lateral sinus)和乙状窦(sigmoid portion of lateral sinus)的血栓形成,统称为侧窦血栓形成(lateral sinus thrombosis)。
根据病变性质,CVST可分为炎症型和非炎症型两类。炎症型中海绵窦和横窦是最常受累的部位;而非炎症型中上矢状窦最容易受累。横窦乙状窦血栓形成多继发于化脓性乳突炎或中耳炎。
静脉窦血栓在年轻人群中发生率不高,尤其是出血性的静脉窦血栓更是少见,一般情况下难以判断,很容易误诊误治,颅内出血后止血治疗只会加重病情,所以不明原因的出血,伴有难以解释的颅内压增高,想到静脉窦血栓,急诊全脑血管造影,做好术中动脉溶栓的准备,术后抗凝治疗,同时监测出凝血时间,防止颅内出血和再次血栓形成。
本例患者的成功救治,得益于早期的判断和及时的脑血管造影、动脉溶栓,以及术后的细心处理,预防各种并发症,才会在不到2周的时间内得以完全康复。没有留下任何后遗症。
纵隔大细胞神经内分泌癌1例CT影像
张力性纵隔气肿影像表现及严重度分级
迅速增大的肺部结节,首先考虑良性,确诊需要肺穿
肺隔离症:易误诊为肺癌的占位性病变,肺穿刺禁忌!
肺段与肺内管道应用解剖
肺转移瘤的十种不典型CT表现
肺内淋巴结的CT表现特点及与病理对照
肺实变与肺不张的CT鉴别诊断
医生现身说法,这五种忙帮不得!
北大教授:要真正让医务人员有阳光体面的收入!医
为值夜班的医生护士鼓与呼:请给我们更多关注!
广东拟取消医院用药数量限制,满足患者多样性需求
博士、硕士入职就给精装房!又有医院不惜下血本招
历时7年之久,温医生宣判无罪!
重磅!四川发文:严禁限制医生多点执业
与真人医生诊断一致性达96%:AI医生应用前景广阔