

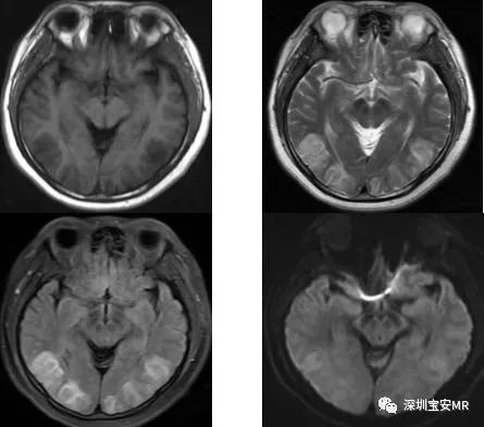
以上三个病例的特点:临床血氨明显升高,MRI双侧岛叶、扣带回皮层及丘脑异常信号,DWI呈高信号。诊断:急性高氨血症脑病。
讨论:
3个病人都有急性氨水平升高。尽管在急性肝功能衰竭中,血氨浓度升高是常见的,但其他后天病因包括药物(如丙戊酸、巴比妥类、麻醉剂、酒精和化疗)、胃肠道感染、肾脏疾病、尿素产生机体的尿路感染、输尿管乙状结肠造口术、肠外营养、雷氏综合症、骨髓移植、实体器官移植、严重的肌肉劳损和感染性休克。原发性病因如代谢异常,也可引起急性高氨血症脑病。
目前还不清楚为什么岛叶和扣带皮质特别容易受到氨的毒性影响。氨通过被动扩散和阳离子通道穿过血脑屏障。它影响多种神经递质,特别是兴奋性谷氨酸能NMDA受体和GABA受体的调节。最终,神经元凋亡发生。高氨血症单独出现足以引起体内脑水肿和体外星形胶质细胞肿胀,通过增加脑血容量增加颅内压。
尽管所有3例患者的氨水平均急性升高,且无持续缺氧的记录,但磁共振成像结果导致缺氧缺血性脑病的误诊。所有3例患者的T2高信号和弥散受限与后者(缺氧缺血性脑病)相似。所有3名患者在神经系统检查最差的时候氨含量都很高。累及的区域包括弥漫性皮质,特别是岛叶皮质和扣带回皮质以及基底节的深部灰质。
高氨血症脑病需要跟可逆性后部脑病综合症(PRES)、缺氧缺血性脑病(HIE)、肝性脑病鉴别。(1)PRES见于子痫与产前子痫、急性与亚急性高血压、尿毒症等,发病机制为血管内皮细胞损伤导致血脑屏障破坏,细胞毒性水肿与血管源性水肿并存。各年龄段均可发病,以20-40岁多见,女性明显多于男性;临床特点包括头痛、抽搐、意识障碍、呕吐等。MRI示T1WI呈皮质及皮层下低信号,T2WI/FLAIR为斑片状及多灶性高信号,T2*及SWI见出血信号;少数DWI呈高信号,ADC值增高。(2)HIE常见于新生儿,成人缺血缺氧性脑病常见于心脏骤停,失血性休克。轻中度新生儿HIE表现为分水岭区梗死,皮质及皮质下白质受累,重度则以深部灰质及中央前回皮层为主;成人HIEMRI早期能显示异常,表现为脑皮层肿胀,脑肿胀随着时间推移而逐渐加重,随后逐渐减轻直至消退;HIE在6H内可表现为DWI高信号,32h病灶显示更显著。(3)肝性脑病:由各种严重的肝脏疾病引起的以代谢紊乱为基础的中枢神经系统功能失调综合症,典型临床表现为意识障碍、行为异常、特征性的扑翼样震颤及神经肌肉异常。急性肝性脑病CT和MR显示广泛脑水肿,双侧大脑半球灰白质交界区缺血性改变。慢性肝病的MRI表现为脑萎缩和双侧对称性苍白球T1WI高信号。

可逆性后部白质脑病。女,29岁,剖宫产后头痛、呕吐伴抽搐半天。MRI示双侧颞枕叶异常信号,DWI呈高信号。

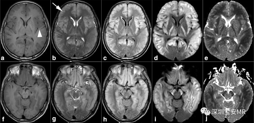
缺氧缺血性脑病。女,1岁,复杂心脏畸形疾病,在进行肺动脉插管时,病人有完全的房室传导阻滞,需要短时间的体外心脏按摩。a.HIE发作后4天,基底节和皮质下白质DWI高信号;b.ADC呈低信号。

急性肝性脑病患者。男,48岁,严重昏迷,出现扑翼样震颤。MRI示双侧大脑半球肿胀,灰质对称性异常信号,弥散受限。
小结:
在高氨血症的临床背景下,双侧对称性的岛叶和扣带回皮质受累以及双侧丘脑受累的模式,在MRI上主要表现为弥散受限,应提醒临床医生注意高氨血症脑病的可能性,尤其是在没有缺氧缺血性事件的情况下。
纵隔大细胞神经内分泌癌1例CT影像
张力性纵隔气肿影像表现及严重度分级
迅速增大的肺部结节,首先考虑良性,确诊需要肺穿
肺隔离症:易误诊为肺癌的占位性病变,肺穿刺禁忌!
肺段与肺内管道应用解剖
肺转移瘤的十种不典型CT表现
肺内淋巴结的CT表现特点及与病理对照
肺实变与肺不张的CT鉴别诊断
医生现身说法,这五种忙帮不得!
北大教授:要真正让医务人员有阳光体面的收入!医
为值夜班的医生护士鼓与呼:请给我们更多关注!
广东拟取消医院用药数量限制,满足患者多样性需求
博士、硕士入职就给精装房!又有医院不惜下血本招
历时7年之久,温医生宣判无罪!
重磅!四川发文:严禁限制医生多点执业
与真人医生诊断一致性达96%:AI医生应用前景广阔