脑出血可以称得上是神经内科最常见的疾病之一,主要临床表现为颅高压症状和出血部位脑组织神经功能障碍表现,不同部位脑出血的症状和体征是临床上准确定位诊断的依据。
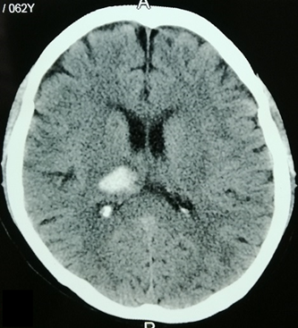
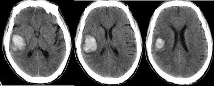
脑出血最常见的部位是基底核区脑出血,包括壳核出血和尾状核头出血。
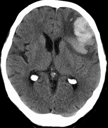
壳核出血

影像学表现分为三型:
责任血管:豆纹动脉,尤其是豆纹动脉外侧支
病因:高血压动脉硬化
症状体征:

尾状核出血
责任血管:大脑前动脉的分支 Heubner 返动脉
病因:高血压动脉硬化是最常见原因,其次为动静脉畸形、动脉瘤
症状体征:

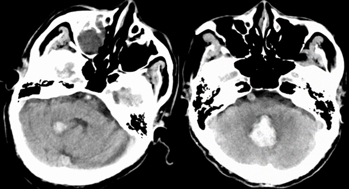
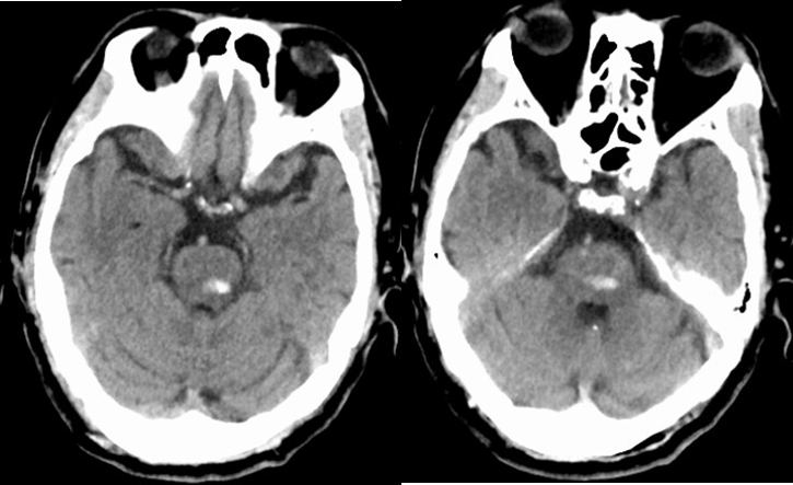
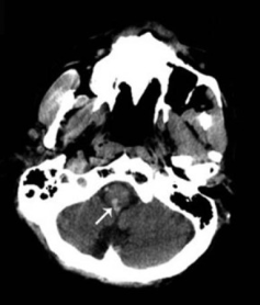
小脑出血小脑半球出血(左图),小脑蚓部出血(右图)

责任血管:多为齿状核动脉破裂
病因:高血压动脉硬化,小脑血管畸形,动脉瘤
症状体征:

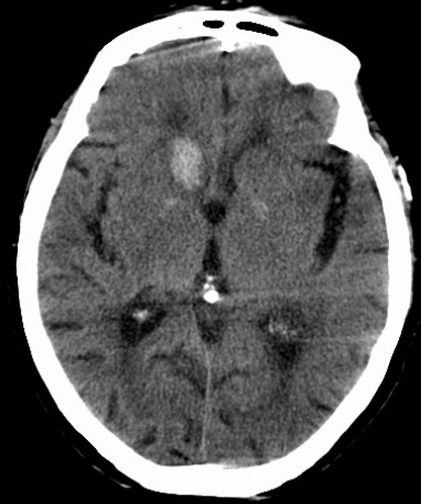
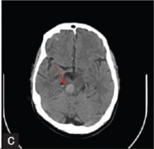
丘脑出血

责任血管:大脑后动脉垂直分出的管壁薄弱的终末支丘脑膝状体动脉和丘脑穿通动脉,为脑出血的好发部位,仅次于壳核
病因:高血压动脉硬化,微小动脉瘤或血管畸形,血液病
症状体征:

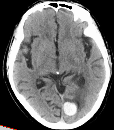
脑叶出血,又称皮质下出血,包括额叶、顶叶、颞叶和枕叶。
常见病因有:
颞叶出血
责任血管:大脑中动脉颞极动脉,大脑后动脉颞下前、颞下中、颞下后动脉
症状体征:

额叶出血
责任血管: 大脑前动脉的胼缘动脉、旁中央动脉,大脑中动脉的额顶升动脉、前中央沟动脉
症状体征:

枕叶出血
责任血管: 大脑中动脉的颞枕动脉,大脑后动脉的顶枕动脉、距状沟动脉,丘脑膝状体动脉、脉络膜后内侧动脉
症状体征:

顶叶出血

责任血管: 大脑中动脉的中央沟动脉、顶前动脉、顶后动脉、角回动脉,大脑前动脉的旁中央动脉
症状体征:

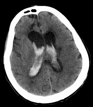
脑室出血

责任血管:脉络丛血管
病因:高血压、脉络丛动脉瘤、脑动静脉血管畸形、Moyamoya 病、脑室内肿瘤、血液病
症状体征:

脑干出血包括桥脑、中脑及延髓出血,桥脑出血较为常见,中脑及延髓出血罕见,主要症状为交叉瘫,即病变同侧的周围性脑神经麻痹,对侧中枢性偏瘫及偏身感觉障碍。
桥脑出血

责任血管:旁正中动脉
病因:高血压病、血管畸形及动脉瘤
症状体征:

中脑出血

来源:参考文献 4
责任血管:大脑脚内侧的动眼动脉起始部动脉
病因:高血压病、血管畸形及动脉瘤
症状体征:

延髓出血

来源:参考文献 5
责任血管:旁中央动脉,短旋动脉,长旋动脉
病因:血管畸形最为常见,包括动静脉畸形和海绵状血管瘤,高血压病以及抗凝治疗
症状体征:临床上非常少见,表现复杂多样,首发症状多为头痛、恶心、呕吐及眩晕。

参考文献:
[1] 吴波涛等. 临床神经外科疾病诊疗学 [M]. 长春:吉林科学技术出版社, 2019:246-250.
纵隔大细胞神经内分泌癌1例CT影像
张力性纵隔气肿影像表现及严重度分级
迅速增大的肺部结节,首先考虑良性,确诊需要肺穿
肺隔离症:易误诊为肺癌的占位性病变,肺穿刺禁忌!
肺段与肺内管道应用解剖
肺转移瘤的十种不典型CT表现
肺内淋巴结的CT表现特点及与病理对照
肺实变与肺不张的CT鉴别诊断
医生现身说法,这五种忙帮不得!
北大教授:要真正让医务人员有阳光体面的收入!医
为值夜班的医生护士鼓与呼:请给我们更多关注!
广东拟取消医院用药数量限制,满足患者多样性需求
博士、硕士入职就给精装房!又有医院不惜下血本招
历时7年之久,温医生宣判无罪!
重磅!四川发文:严禁限制医生多点执业
与真人医生诊断一致性达96%:AI医生应用前景广阔