病例
•男,77岁
•主诉:因“发现PSA 升高1年余”入院
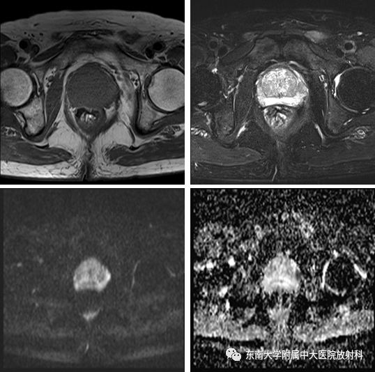
•患者1年前体检发现PSA升高,TPSA 19.793 ng/ml,无肉眼血尿,无尿频尿急尿痛,无畏寒发热。6天后复查TPSA 15.40 ng/ml,盆腔MR平扫示:左外周带3点钟方向异常信号结节,PI-RADS 4 级,遂行超声引导下前列腺穿刺活检,病理提示:正常前列腺组织。后患者于2019-10-24至我院复查TPSA 25.92 ng/ml
2018-10-23影像学表现

2019-10-26影像学表现





























纵隔大细胞神经内分泌癌1例CT影像
张力性纵隔气肿影像表现及严重度分级
迅速增大的肺部结节,首先考虑良性,确诊需要肺穿
肺隔离症:易误诊为肺癌的占位性病变,肺穿刺禁忌!
肺段与肺内管道应用解剖
肺转移瘤的十种不典型CT表现
肺内淋巴结的CT表现特点及与病理对照
肺实变与肺不张的CT鉴别诊断
医生现身说法,这五种忙帮不得!
北大教授:要真正让医务人员有阳光体面的收入!医
为值夜班的医生护士鼓与呼:请给我们更多关注!
广东拟取消医院用药数量限制,满足患者多样性需求
博士、硕士入职就给精装房!又有医院不惜下血本招
历时7年之久,温医生宣判无罪!
重磅!四川发文:严禁限制医生多点执业
与真人医生诊断一致性达96%:AI医生应用前景广阔