首页 > 医学图库 > PPT > 正文

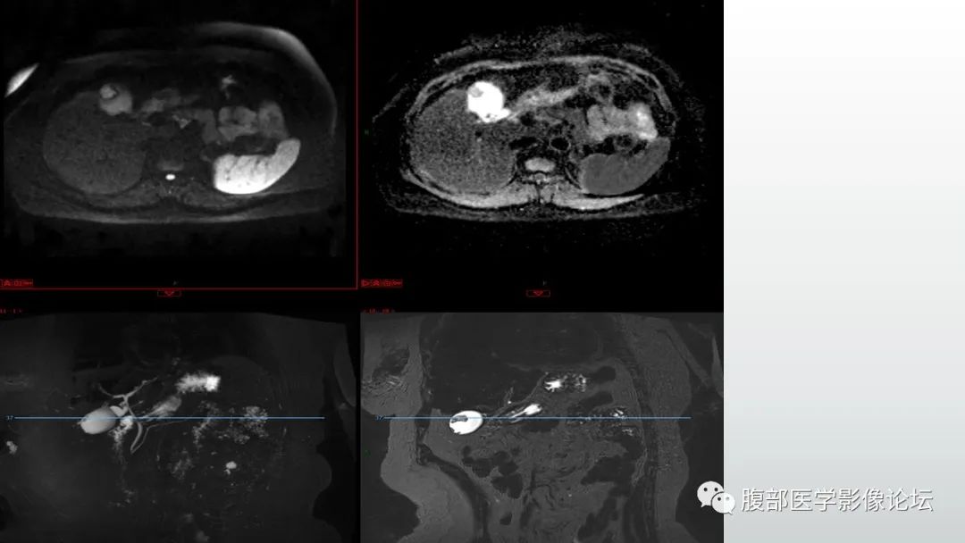
胆囊管状腺瘤1例CT及MR影像表现

发布时间:2022-11-19   来源:未知    
×
织梦二维码生成器

【病例】胆囊管状腺瘤1例CT及MR影像表现-1

【病例】胆囊管状腺瘤1例CT及MR影像表现-2

【病例】胆囊管状腺瘤1例CT及MR影像表现-3

【病例】胆囊管状腺瘤1例CT及MR影像表现-4

【病例】胆囊管状腺瘤1例CT及MR影像表现-5

【病例】胆囊管状腺瘤1例CT及MR影像表现-6

【病例】胆囊管状腺瘤1例CT及MR影像表现-7

【病例】胆囊管状腺瘤1例CT及MR影像表现-8

【病例】胆囊管状腺瘤1例CT及MR影像表现-9

【病例】胆囊管状腺瘤1例CT及MR影像表现-10

【病例】胆囊管状腺瘤1例CT及MR影像表现-11

【病例】胆囊管状腺瘤1例CT及MR影像表现-12

【病例】胆囊管状腺瘤1例CT及MR影像表现-13

【病例】胆囊管状腺瘤1例CT及MR影像表现-14

【病例】胆囊管状腺瘤1例CT及MR影像表现-15

【病例】胆囊管状腺瘤1例CT及MR影像表现-16

【病例】胆囊管状腺瘤1例CT及MR影像表现-17

【病例】胆囊管状腺瘤1例CT及MR影像表现-18

【病例】胆囊管状腺瘤1例CT及MR影像表现-19

【病例】胆囊管状腺瘤1例CT及MR影像表现-20

【病例】胆囊管状腺瘤1例CT及MR影像表现-21

【病例】胆囊管状腺瘤1例CT及MR影像表现-22

【病例】胆囊管状腺瘤1例CT及MR影像表现-23

【病例】胆囊管状腺瘤1例CT及MR影像表现-24

【病例】胆囊管状腺瘤1例CT及MR影像表现-25

【病例】胆囊管状腺瘤1例CT及MR影像表现-26

图说天下

医学图库
医学资讯
医学前沿
病例讨论