医学百科网
热门搜索:  肺癌  糖尿病  肺结节  肺  admin
  • 首页
  • 医学资讯
    医号文件 事件聚焦 医话医议 药事资讯 医眼看法
  • 医学前沿
  • 医学图库
    头颈 心胸 腹盆 骨肌 病例 PPT
  • 病例讨论
  • 健康科普
  • 医学百科
    疾病百科 症状百科 检查百科 中医百科 急救常识
  • 医路有你(医学导航)

首页 > 医学图库 > 腹盆 >
  • 【病例】肠壁积气1例影像表现

    【病例】肠壁积气1例影像表现

  • 先天性背胰缺如 Dorsal pancreatic agenesis

    先天性背胰缺如 Dorsal pancreatic agenesis

  • 【病例】腹膜恶性间皮瘤1例MR影像表现

    【病例】腹膜恶性间皮瘤1例MR影像表现

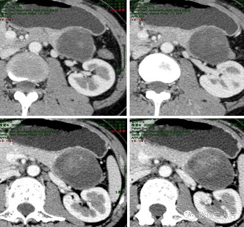
  • 【病例】肾上腺囊性淋巴管瘤CT表现二例

    【病例】肾上腺囊性淋巴管瘤CT表现二例

  • 【病例】胰腺囊性病变6例CT影像表现与鉴别

    【病例】胰腺囊性病变6例CT影像表现与鉴别

  • 【病例】肝脏异位嗜铬细胞瘤1例影像表现

    【病例】肝脏异位嗜铬细胞瘤1例影像表现

  • 【PPT】局灶性结节增生的影像表现

    【PPT】局灶性结节增生的影像表现

  • 腹股沟疝和股疝的鉴别

    腹股沟疝和股疝的鉴别

  • 血管和MRCP一些正常影像数值

    血管和MRCP一些正常影像数值

  • 【病例】肝脏结节病一例影像表现

    【病例】肝脏结节病一例影像表现

  • 【病例】肝脏反应性淋巴样组织增生MRI表现一例

    【病例】肝脏反应性淋巴样组织增生MRI表现一例

  • 肾脏的一些重要影像数据

    肾脏的一些重要影像数据

  • 肝脏炎性假瘤 Inflammatory  Pseudotumor,IPT

    肝脏炎性假瘤 Inflammatory Pseudotumor,IPT

  • 男女盆腔的一些重要影像数据

    男女盆腔的一些重要影像数据

  • 消化道穿孔了?CT诊断更靠谱!

    消化道穿孔了?CT诊断更靠谱!

  • 【病例】原发性肾骨肉瘤1例CT影像表现

    【病例】原发性肾骨肉瘤1例CT影像表现

  • 【病例】巨大腹主动脉瘤破裂1例CT影像表现

    【病例】巨大腹主动脉瘤破裂1例CT影像表现

  • 胰腺实性假乳头状瘤Solid Pseudopaillary Neoplasm

    胰腺实性假乳头状瘤Solid Pseudopaillary Neoplasm

  • 胃肠道非霍奇金淋巴瘤的分布与CT诊断

    胃肠道非霍奇金淋巴瘤的分布与CT诊断

  • 肾脏囊性病变Bosnaik分型

    肾脏囊性病变Bosnaik分型

  • Crohn病的多层螺旋CT小肠造影征象分析

    Crohn病的多层螺旋CT小肠造影征象分析

  • 【病例】腹膜后副神经节瘤1例MR影像表现

    【病例】腹膜后副神经节瘤1例MR影像表现

  • 【病例】食道胃底静脉曲张1例

    【病例】食道胃底静脉曲张1例

  • 【病例】小肠胃肠道间质瘤1例CT影像表现

    【病例】小肠胃肠道间质瘤1例CT影像表现

  • 【病例】先天性阴道闭锁1例CT影像表现

    【病例】先天性阴道闭锁1例CT影像表现

  • 【PPT】肝脏的解剖

    【PPT】肝脏的解剖

  • 【PPT】肝硬化结节分类及影像学评价

    【PPT】肝硬化结节分类及影像学评价

  • 【PPT】子宫腺肌症常见和不常见的MRI表现

    【PPT】子宫腺肌症常见和不常见的MRI表现

  • 【病例】肾神经鞘瘤1例MR影像表现

    【病例】肾神经鞘瘤1例MR影像表现

  • 【病例】肾乳头状肾细胞癌1例MR影像表现

    【病例】肾乳头状肾细胞癌1例MR影像表现

  • 【病例】肾细胞癌1例MR影像表现

    【病例】肾细胞癌1例MR影像表现

  • Amyand疝

    Amyand疝

  • 首页
  • 上一页
  • 1
  • 2
  • 3
  • 4
  • 5
  • 6
  • 7
  • 下一页
  • 末页
  • 共 7页221条
肝门静脉系统解剖
1
肝门静脉系统解剖
  • 2 回盲部占位或炎症的影像鉴别诊断
  • 3 胰腺实性假乳头状瘤的性别差异与临床和MSCT表现
  • 4 艾滋病相关消化道影像学表现
  • 5 多脾综合征1例CT影像
  • 6 肝血色病1例CT及MR影像表现及鉴别诊断

每日精选

  • 肝门静脉系统解剖
    肝门静脉系统解剖
    2022-12-01
  • 左上腹肿块定位诊断思路
    左上腹肿块定位诊断思路
    2022-11-21
  • 重新认识肝尾状叶
    重新认识肝尾状叶
    2022-11-19
  • 肾动脉:解剖、病理及血管内治疗
    肾动脉:解剖、病理及血管内治疗
    2022-11-16

猜你喜欢

腹盆腔CT上常常遇到的会跑的病灶,它究竟是
  • 正中弓状韧带压迫综合征1例CT影像
  • 【病例】肾损伤5级一例影像表现
  • 【PPT】肿块性胰腺炎影像诊断和鉴别诊断
  • 盆腔肿块,需要考虑到这个来源…
  • 典型医学影像征象——脂肪晕征

精彩图片

回盲部占位或炎症的影像鉴别诊断

回盲部占位或炎症的影像鉴别诊断

胰腺实性假乳头状瘤的性别差异与临床和MSCT表现

胰腺实性假乳头状瘤的性别差异与临床和MSCT表现

艾滋病相关消化道影像学表现

艾滋病相关消化道影像学表现

多脾综合征1例CT影像

多脾综合征1例CT影像


关于我们 广告服务 联系我们 网站地图 51LA统计

内容来自网络,如有侵权请联系我们。 Copyright @2009-2023 医学百科网 | YxBaike.Com

辽ICP备15019299号-3

辽公网安备 21028102000172号