医学百科网
热门搜索:  肺癌  糖尿病  肺结节  肺  admin
  • 首页
  • 医学资讯
    医号文件 事件聚焦 医话医议 药事资讯 医眼看法
  • 医学前沿
  • 医学图库
    头颈 心胸 腹盆 骨肌 病例 PPT
  • 病例讨论
  • 健康科普
  • 医学百科
    疾病百科 症状百科 检查百科 中医百科 急救常识
  • 医路有你(医学导航)

首页 > 医学图库 > 骨肌 >
  • 【病例】左胫骨弥漫性非霍奇金淋巴瘤1例X线MR影像表现

    【病例】左胫骨弥漫性非霍奇金淋巴瘤1例X线MR影像表现

  • 椎缘骨/软骨结节,一个偶尔会遇到的疾病

    椎缘骨/软骨结节,一个偶尔会遇到的疾病

  • 【病例】大腿恶性孤立性纤维瘤1例MR

    【病例】大腿恶性孤立性纤维瘤1例MR

  • 【病例】股骨软骨粘液样纤维瘤1例X线及MR影像表现

    【病例】股骨软骨粘液样纤维瘤1例X线及MR影像表现

  • 【病例】双手类风湿性关节炎1例X线影像表现

    【病例】双手类风湿性关节炎1例X线影像表现

  • 【病例】骨样骨瘤1例MR影像表现

    【病例】骨样骨瘤1例MR影像表现

  • 股骨头坏死的诊断与鉴别诊断

    股骨头坏死的诊断与鉴别诊断

  • 软骨肉瘤的X线诊断思路

    软骨肉瘤的X线诊断思路

  • 骨关节记忆要点

    骨关节记忆要点

  • 后交叉韧带的MR成像

    后交叉韧带的MR成像

  • 前交叉韧带的MR成像

    前交叉韧带的MR成像

  • 骨骺损伤的分型及影像表现

    骨骺损伤的分型及影像表现

  • 半月板解剖分区和损伤分类

    半月板解剖分区和损伤分类

  • 椎体血管瘤影像学诊断

    椎体血管瘤影像学诊断

  • 关节积脂血症(lipohemarthrosis)

    关节积脂血症(lipohemarthrosis)

  • 下肢CTA—评估疑似创伤性和非创伤性血管异常病变

    下肢CTA—评估疑似创伤性和非创伤性血管异常病变

  • 隐性骨折(骨挫伤)影像表现

    隐性骨折(骨挫伤)影像表现

  • 四边孔综合征

    四边孔综合征

  • 扁平足X线测量方法

    扁平足X线测量方法

  • Freiberg病

    Freiberg病

  • “芹菜杆征”,这个征象提示啥?

    “芹菜杆征”,这个征象提示啥?

  • 狗戴项圈征

    狗戴项圈征

  • 椎管内硬膜外脂肪增多症与终丝脂肪沉积

    椎管内硬膜外脂肪增多症与终丝脂肪沉积

  • 常见易忽略的疾病—椎管内硬膜外脂肪增多症

    常见易忽略的疾病—椎管内硬膜外脂肪增多症

  • 椎管内硬膜外脂肪增多症

    椎管内硬膜外脂肪增多症

  • 如何做好四肢关节的MRI扫描

    如何做好四肢关节的MRI扫描

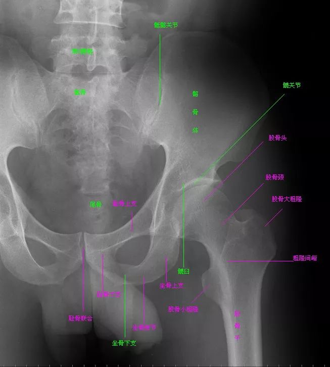
  • 骨盆X线解剖详解

    骨盆X线解剖详解

  • 浆细胞瘤

    浆细胞瘤

  • 索尔特骨折

    索尔特骨折

  • 下肢的断层解剖

    下肢的断层解剖

  • 【PPT】膝关节后外侧角区影像解剖及损伤后影像学诊断

    【PPT】膝关节后外侧角区影像解剖及损伤后影像学诊断

  • 【PPT】臀中肌及臀小肌肌腱撕裂

    【PPT】臀中肌及臀小肌肌腱撕裂

  • 首页
  • 上一页
  • 1
  • 2
  • 3
  • 4
  • 5
  • 6
  • 下一页
  • 末页
  • 共 6页181条
骨软骨瘤-恶变
1
骨软骨瘤-恶变
  • 2 38种特殊类型的骨折
  • 3 骨髓的转化与逆转化
  • 4 第五跖骨基底骨折—你真的懂吗?
  • 5 肱骨软骨母细胞瘤影像诊断
  • 6 慢性肩袖巨大撕裂的MR诊断

每日精选

  • 慢性骨髓炎1例X线CT及MR
    慢性骨髓炎1例X线CT及MR
    2022-11-18
  • 颈椎脊索瘤1例MR影像
    颈椎脊索瘤1例MR影像
    2022-11-16
  • 肘部韧带和肌腱损伤的MRI诊断
    肘部韧带和肌腱损伤的MRI诊断
    2022-11-16
  • 如何评估骨病变——骨破坏的形式和病变的边缘
    如何评估骨病变——骨破坏的形式和病变的边缘
    2022-10-24

猜你喜欢

  • 【病例】锁骨结核一例CT及MR影像表现
  • 【病例】腰椎结核1例CT影像表现
  • 【病例】左大腿血管外皮肉瘤1例MR影像表现
  • 骨髓的转化与逆转化
  • 神经源性肿瘤(神经鞘膜来源)影像表现

精彩图片

38种特殊类型的骨折

38种特殊类型的骨折

骨髓的转化与逆转化

骨髓的转化与逆转化

第五跖骨基底骨折—你真的懂吗?

第五跖骨基底骨折—你真的懂吗?

肱骨软骨母细胞瘤影像诊断

肱骨软骨母细胞瘤影像诊断


关于我们 广告服务 联系我们 网站地图 51LA统计

内容来自网络,如有侵权请联系我们。 Copyright @2009-2023 医学百科网 | YxBaike.Com

辽ICP备15019299号-3

辽公网安备 21028102000172号