出血坏死性病毒脑膜脑炎1例CT及MR影像学表现和鉴别诊断

发布时间:2022-10-20

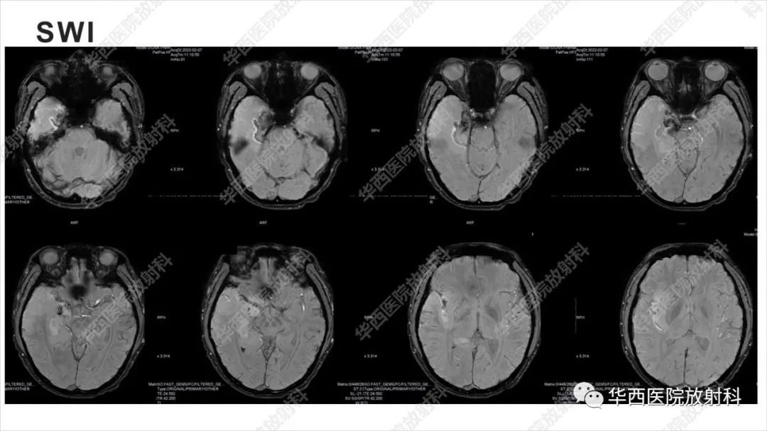
【病例】出血坏死性病毒脑膜脑炎1例CT及MR影像学表现和鉴别诊断-1

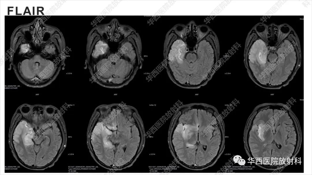
【病例】出血坏死性病毒脑膜脑炎1例CT及MR影像学表现和鉴别诊断-2

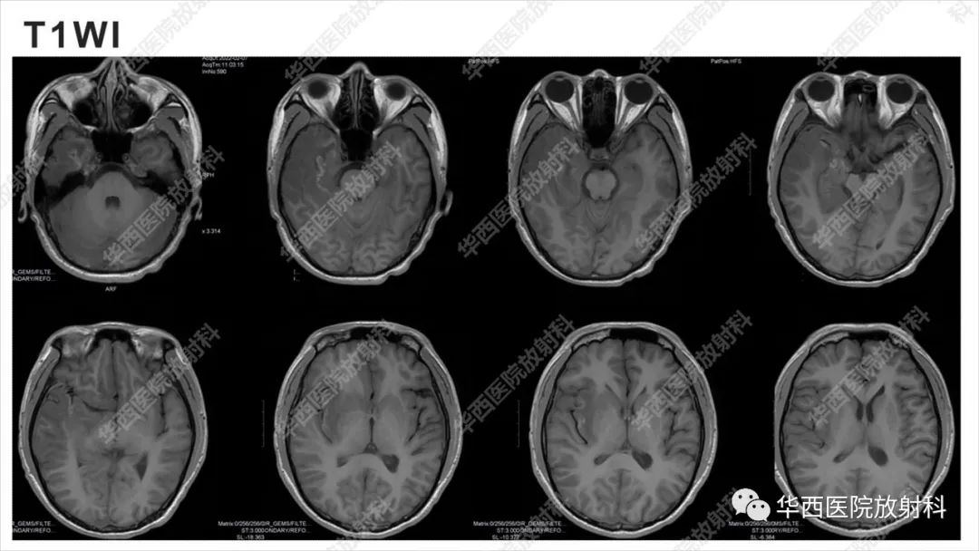
【病例】出血坏死性病毒脑膜脑炎1例CT及MR影像学表现和鉴别诊断-3

【病例】出血坏死性病毒脑膜脑炎1例CT及MR影像学表现和鉴别诊断-4

【病例】出血坏死性病毒脑膜脑炎1例CT及MR影像学表现和鉴别诊断-5

【病例】出血坏死性病毒脑膜脑炎1例CT及MR影像学表现和鉴别诊断-6

【病例】出血坏死性病毒脑膜脑炎1例CT及MR影像学表现和鉴别诊断-7

【病例】出血坏死性病毒脑膜脑炎1例CT及MR影像学表现和鉴别诊断-8

【病例】出血坏死性病毒脑膜脑炎1例CT及MR影像学表现和鉴别诊断-9

【病例】出血坏死性病毒脑膜脑炎1例CT及MR影像学表现和鉴别诊断-10

【病例】出血坏死性病毒脑膜脑炎1例CT及MR影像学表现和鉴别诊断-11

【病例】出血坏死性病毒脑膜脑炎1例CT及MR影像学表现和鉴别诊断-12

【病例】出血坏死性病毒脑膜脑炎1例CT及MR影像学表现和鉴别诊断-13

【病例】出血坏死性病毒脑膜脑炎1例CT及MR影像学表现和鉴别诊断-14

【病例】出血坏死性病毒脑膜脑炎1例CT及MR影像学表现和鉴别诊断-15

【病例】出血坏死性病毒脑膜脑炎1例CT及MR影像学表现和鉴别诊断-16

【病例】出血坏死性病毒脑膜脑炎1例CT及MR影像学表现和鉴别诊断-17

【病例】出血坏死性病毒脑膜脑炎1例CT及MR影像学表现和鉴别诊断-18

【病例】出血坏死性病毒脑膜脑炎1例CT及MR影像学表现和鉴别诊断-19

【病例】出血坏死性病毒脑膜脑炎1例CT及MR影像学表现和鉴别诊断-20

【病例】出血坏死性病毒脑膜脑炎1例CT及MR影像学表现和鉴别诊断-21

【病例】出血坏死性病毒脑膜脑炎1例CT及MR影像学表现和鉴别诊断-22

【病例】出血坏死性病毒脑膜脑炎1例CT及MR影像学表现和鉴别诊断-23

【病例】出血坏死性病毒脑膜脑炎1例CT及MR影像学表现和鉴别诊断-24

【病例】出血坏死性病毒脑膜脑炎1例CT及MR影像学表现和鉴别诊断-25

【病例】出血坏死性病毒脑膜脑炎1例CT及MR影像学表现和鉴别诊断-26

精彩图片

热门精选