肢体麻木,定位可千万别漏掉这个地方
发布时间:2022-10-20
发布时间:2022-10-20
当我们在临床上遇到肢体麻木的患者,而且还有感觉平面,一般都会定位在脊髓或者周围神经,但要是排除了这些疾病,我们还需要考虑哪里的问题呢,下面我们一起来看一个病例:
患者男,53 岁,左下肢及左侧腰腹部麻木 4 天来院。
现病史:4 天前无明显诱因出现左下肢、左侧腰腹部麻木,无肢体活动障碍、大小便障碍、畏寒发热、视力下降、口角歪斜、吐词不清,腹痛腹泻等。有高血压病史 5+年。
既往史:无糖尿病、肝炎、结核病史,无心脏病史。
个人史:吸烟 10+年,约 10+支/天。偶饮酒,量少,无毒物接触及药物滥用史。
查体:内科查体无特殊。神经系统:双侧瞳孔等大形圆约 3 mm,对光反射灵敏,颅神经正常,四肢肌力 V 级,肌张力不高,四肢腱反射(+),左侧 T10 平面下痛温觉较右侧明显减退,双侧病理征均未引出。
辅助检查:神经电生理检查未见明显异常。
定位:周围神经?糖尿病周围神经病也可累及下肢周围神经,出现类似脊髓病的表现,但患者无糖尿病史,且神经电图不支持。那么吉兰-巴雷综合征呢?患者发病前无前驱感染史,查体无颅神经受损,四肢肌力 V 级,且存在明确的感觉平面,余未见明显异常,神经电生理检查未见明显异常,故不考虑,所以接下来,我们定位在脊髓,进一步完善胸腰段 MRI,如下图:


遗憾的是胸腰部 MRI 中 T1、T2、STIR 均未见明显异常,我们进一步完善头部 MRI,如下图:

T1

T2

T2FLAIR
从影像学可以看出 T2FLAIR、T1、T2 似乎也未见明显异常,此时该如何诊断,定位到底在哪里呢?
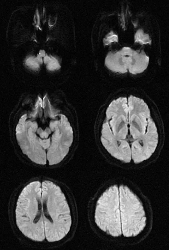
让我们再仔细看一下 DWI:

DWI 提示右侧延髓背外侧小点状高信号,弥散受限,提示急性脑梗死。
出现传导束型感觉障碍的原因
找到了病变部位,但能否解释患者左侧 T10 平面以下感觉减退呢?印象中的脑梗死出现肢体麻木,都是偏身的感觉障碍,很少出现这种传导束型感觉障碍,下面我们来看示意图:

延髓梗死的临床表现复杂多样,而出现类似脊髓传导束型感觉障碍与其独特的解剖结构有关,脊髓丘脑侧束在脊髓的分布特征为由外向内依次是骶、腰、胸、颈部的感觉纤维,脊髓丘脑侧束上行到延髓时走行在延髓背外侧,但其内部的神经纤维依然按照这个次序,因此若延髓病变范围很小,仅仅局限于部分脊髓丘脑束,影响了相应部位的传入纤维,就会出现该患者的感觉平面,而表现为类似脊髓病变的传导束型感觉障碍。
病例例举
病例一
患者为老年女性,主要表现为右腿麻木,查体:T8 以下躯干及腿部痛温觉减退,肌力正常。


a 为感觉平面示意图,b、c 提示左侧延髓外侧梗死,d 示左侧椎动脉局部狭窄,e 阴影部位为该患者梗死区,提示累及了骶、腰、胸部的痛温觉传导束。
病例二
患者,女,48 岁,因头晕、恶心、呕吐 1 天入院。既往无高血压、糖尿病史。 神经系统查体:左侧 T8 以下痛觉减退,余未见异常。

a:头颅 MRI 提示右侧延髓外侧部 DWI 序列像可见一类圆形高信号病灶;b:头颈部 CTA 提示右侧椎动脉 V4 段粗细不均,局部管腔扩张;c:颈段脊髓 MRI 未见明显异常;d:胸段脊髓 MRI 未见明显异常。
病例三
患者,女,60 岁,因头晕伴左下肢麻木 10 余天入院。既往有高血压史 10 年,神经系统查体:左侧 T10 以下痛觉减退,四肢肌力 V 级,双侧病理征阴性。

a:头颅 MRI 弥散成像序列提示右侧延髓外侧及右侧小脑半球 DWI 高信号病灶;b:右侧延髓外侧及右侧小脑半球 ADC 低信号病灶;c:头颈部 CTA 提示双侧颈内动脉虹吸部、椎动脉颅内段及基底动脉钙斑影,伴管腔粗细不均匀,局部轻度-中度狭窄。
因此若在临床中遇到传导束型感觉障碍的问题,不但需要考虑脊髓疾病,还要详细询问病史、仔细的神经系统查体,从而与延髓背外侧梗死相鉴别,避免延误诊治。
作者 | 秋雨
参考文献
[ 1] 王乾成,程敬,翟红. 以传导束型感觉障碍为临床体征的延髓外侧梗死 2 例报告 [J]. 局解手术学杂志,2019,28(04):335-337.
[2] 李蕾,秦雪,祁俐, 等. 延髓梗死 11 例患者 MRI 与临床特点对照研究 [J]. 中华神经科杂志,2010,43(01):60-64.