胸部孤立性纤维瘤
发布时间:2022-12-01
发布时间:2022-12-01
病例1
男,65岁,发现左侧腹股沟区可复性包块一月余

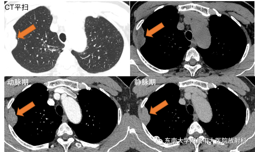
病例2
女,55岁
主诉:发现胸腔占位一月余
现病史:患者1月前查胸部CT平扫:右前下胸包裹性积液;胸部CT增强:右侧胸腔占位,未予特殊治疗,2天前深吸气后出现右侧胸部隐痛不适,偶有咳嗽咳白粘痰,量少

病例3
女,75岁
主诉:发热10余天
现病史:患者10余天前接触流感病人后出现发热,体温最高38.6℃,伴咳嗽咳痰,夜间为甚,痰为黄色,伴全身乏力,活动后出现气喘














































上一篇:肺脓肿