一氧化碳中毒性脑病1例MR影像
发布时间:2022-10-20
发布时间:2022-10-20
病例展示
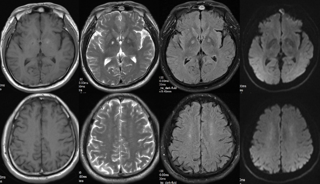
男,55 岁,主因 「 一氧化碳中毒 46 天,记忆力减退 7 天。于 46 天前在旅馆住宿时吸入煤烟后出现意识不清,有大小便失禁,次日早晨被人发现送至当地医院,明确诊断为 「 一氧化碳中毒 」,高压氧治疗 1 次后,当日意识转清,之后继续在当地医院住院治疗,共行高压氧治疗 25 次(压力 2.0ATA,前 3 日每日两次,后每日一次连续 19 天)后好转出院。7 天前患者出现记忆力减退,以近记忆力减退为主,时有胡言乱语。


影像学表现为双侧苍白球及侧脑室周围白质对称分布异常信号,皮层下 U 型纤维未受累。
一氧化碳中毒迟发型脑病
含碳物质出现燃烧不完全后会产生一氧化碳,通过人体呼吸道进入到机体内会导致一氧化碳中毒。一氧化碳进入到人体后与人体血液中的血红蛋白结合形成碳氧血红蛋白,导致机体各个组织出现缺氧情况,从而产生一系列的症状及体征。根据临床数据显示有超过 10% 的一氧化碳中毒患者会出现迟发性脑病 (delayed encephalopathy after acute carbon monoxide poisoning,DEACMP),是指一氧化碳中毒患者经抢救在急性中毒症状恢复后经过数天或数周(约 2-60 天)表现正常或接近正常的 「 假愈期 」 后再次出现以急性痴呆为主的一组神经精神症状或者部分急性一氧化碳中毒患者在急性期意识障碍恢复正常后,经过一段时间的假愈期,突然出现以痴呆、精神和锥体外系症状为主的脑功能障碍。
病理生理机制
病理生理机制:DEACMP 常见病理变化包括:患者苍白球出现变性坏死;脑白质有融合或者不融合的脱髓鞘斑片存在;患者海马区、小脑均存在不同程度的病变;大脑皮层存在分层坏死,可见患者脑血流增多有异常淤滞或者是血栓和出血的情况。
MRI 成像特点
(1)皮质病变型大脑皮层局部或广泛性受累;
(2)白质病变型多为侧脑室旁,半卵圆中心区域;
(3)神经核团型多位于苍白球受累,且多为对称性;
(4)混合型大部分患者多为神经核团与脑白质受累或脑皮层病变型同时出现。
其中苍白球对称性卵圆形长 T1、长 T2 信号是其最主要的特征性表现,同时皮层下白质呈对称弥漫、云雾状长 T1、长 T2 信号,与一般的脱髓鞘病变相比,侧脑室周围、半卵圆中心白质在 MRI 上也存在明显的异常信号。
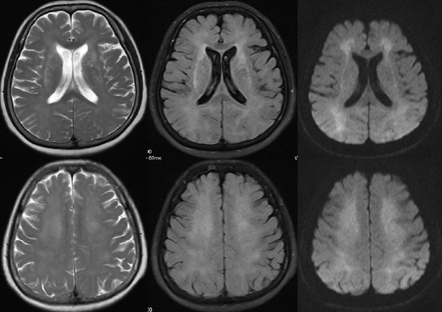
病例一

男,60 岁,一氧化碳中毒迟发性脑病,在经过急性期治疗后患者症状好转,进入 「 假愈期 」,实则疾病在进展,之后出现胡言乱语等,MR 表现双侧大脑半球皮层下深部白质对称性异常信号,T2WI、FLAIR 及 DWI 均呈高信号
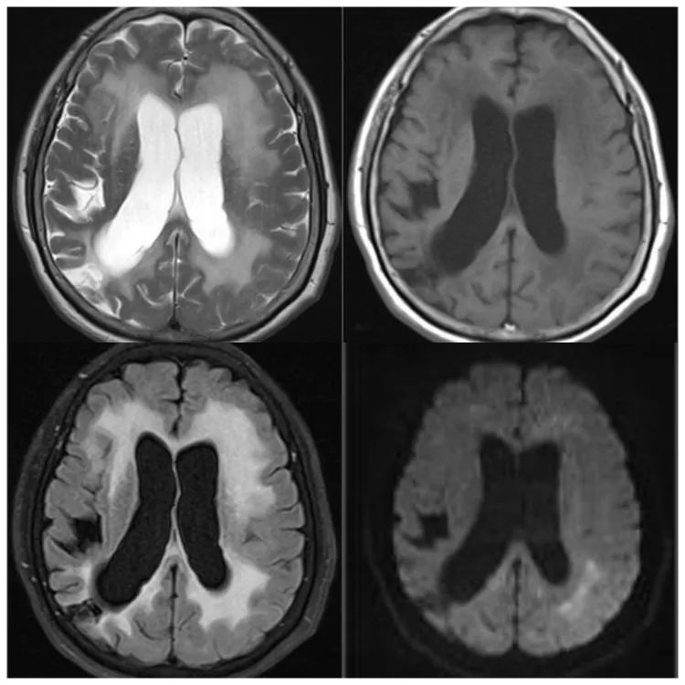
病例二

女,68 岁,一氧化碳中毒迟发性脑病,MR 表现双侧侧脑室周围白质对称性异常信号,T1WI 呈低信号,T2WI、FLAIR 及 DWI 均呈高信号
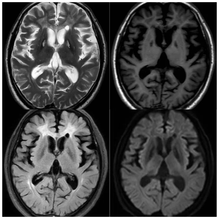
病例三

女,71 岁,一氧化碳中毒迟发性脑病,MR 表现双侧苍白球及胼胝体、侧脑室前角旁白质对称性异常信号,T1WI 呈低信号,T2WI、FLAIR 呈高信号,DWI 呈低信号。