【病例】静脉窦血栓导致阵发性震颤1例MR
发布时间:2022-10-24
发布时间:2022-10-24
病例回顾
60岁男性,右利手,由于右侧肢体不自主抖动而就诊。患者的症状通常在5分钟内缓解,并且仅局限于右侧。患者表示,抖动的症状由使用右手或右脚进行穿鞋、开车、书写等动作引起,但不会由姿势变化而引起。患者在发作时留下了右手书写的笔迹,证明了其间歇性抖动的病史(图1)。

图1 患者在发作间期和发作期的手写笔迹
患者的意识清醒,在发作期间无其他神经系统症状。首诊时的体格检查无异常发现,无小脑共济失调和锥体外束症状等表现。患者有高血压病史,但没有导致高凝状态的其他疾病,如感染、头部创伤、恶性肿瘤、脱水、慢性炎症性疾病及药物等。凝血功能化验未见明显异常。
患者的脑部MRI和MRA既没有显示脑实质病变,也没有动脉狭窄/闭塞的征象。为了与癫痫相鉴别,患者接受了脑电图检查,但也没有发现癫痫活动。根据患者的发作特点,初步诊断为动作性震颤,给予其阿罗洛尔治疗,随后改用氯硝西泮治疗。然而,患者阵发性震颤仍然存在,并且逐渐加重。
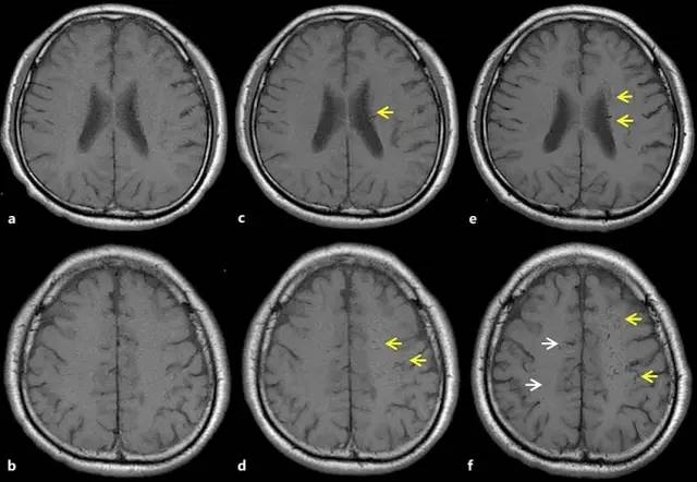
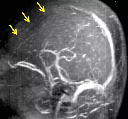
1年后,患者突然出现右侧肢体无力、言语障碍和感觉缺失。此时的MRI和MRA未见明显责任病灶,脑电图同样没有显示癫痫的证据。患者被怀疑脑缺血并接受了抗血小板治疗。本次入院后,患者未再发生震颤,但在入院后第5天,患者右侧肢体无力出现恶化。此时复查MRI,显示从额叶和顶叶的深部髓质静脉到浅表髓质静脉可见多发扩张(图2),此外还可看到围绕这些扩张静脉的脑白质变化。相比之下,双侧基底节、丘脑、脑干和小脑未见显著异常。MR静脉造影证实为上矢状窦前部闭塞(图3)。

图2 轴位T1WI显示左侧额叶/顶叶的浅表髓质静脉的逐渐扩张(黄色箭头)及右侧额叶/顶叶的浅表髓质静脉扩张(白色箭头)
a、b:首次就诊时的检查;c、d:住院时的检查;e、f:症状恶化时的检查

图3 住院期间症状恶化时进行的MR静脉造影,显示上矢状窦闭塞(黄色箭头)
在影像学检查的支持下,脑静脉血栓形成(CVT)的诊断得以建立,经治医生立即开始静脉内低分子肝素抗凝。期间,患者拒绝接受任何增强扫描,包括脑血管造影。10天后,患者右上肢开始出现局灶性癫痫发作,并累及左上肢和面部。此时行脑CT检查,显示左侧额叶皮层出血,其中并可见皮层静脉逐渐扩张(图像未给出)。
随后,患者出现了多发性脑出血伴阻塞性脑积水的并发症。尽管给予患者减压手术和脑室腹膜分流术治疗,但患者术后一直处于昏迷状态,并且由于引流感染导致的弥散性血管内凝血、多器官功能衰竭,而在入院后第90天死亡。
由于患者的震颤发作是由动作触发的,因此推测其震颤为动作性震颤。虽然局灶性癫痫发作也是一种可能的解释,但复查脑电图并未显示出癫痫的线索。此外,由于患者的震颤局限于四肢远端,因此患者的震颤发作与惊厥也不同,即使是在震颤发作期间,患者也可以用受累的手进行书写动作。对于CVT患者而言,除了作为癫痫并发症的情况,暂时性重复性运动障碍是极其罕见的。
本例患者由于缺乏局灶性神经缺损的症状,因而延迟了诊断。短暂的神经系统症状在CVT中并不常见。CVT导致此类症状的确切机制尚不明确,当患者没有脑实质病变时,静脉充血和静脉压升高引起的灌注衰竭可能导致脑功能障碍的发生。神经系统症状则可能是由于血管部分再通,或不稳定的旁路使得静脉充血缓解,引起短暂性脑缺血而导致。
脑皮质静脉和桥静脉对于通过维持静脉引流是很重要的,因此当这些静脉受到影响时,可能会出现不可逆的变化。本例患者在疾病早期静脉扩张并不明显,可能是因为此时患者的皮质静脉尚未受累,早期未表现出持续的局灶性神经功能缺损症状。不过由于并未对患者进行连续的影像学评估,这一假设也无从查证。
由于本例患者的震颤局限在右肢,因此左侧基底节的功能障碍可能同样造成了影响。然而,考虑到左额叶皮层中的皮层静脉已经逐渐扩张并导致静脉出血,因此可以对病理生理学过程进行假设,即静脉充血和静脉压升高诱导了基底节-丘脑皮层循环功能损伤的发生。
据悉,本例病例是首个描述了为期1年的阵发性震颤的CVT病例报告。因此我们必须意识到,除了癫痫的并发症,CVT同样可引起与癫痫无关的不自主运动。