【病例】动脉瘤性蛛网膜下腔出血1例
发布时间:2022-10-24
发布时间:2022-10-24
动脉瘤性蛛网膜下腔出血(SAH)是由于动脉瘤破裂(包括梭形、囊样等),血液进入蛛网膜下腔内导致。现结合宾夕法尼亚大学的 Teresa 医生在 Auntminnie 上的病例来对该病进行介绍。
病史
65 岁女性,因精神状态改变急诊就诊。其家属称患者发病前曾有恶性、呕吐和剧烈头痛。
影像学检查(图 1~图 9)

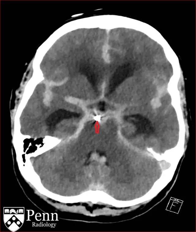
图 1 平扫 CT 可见广泛的蛛网膜下腔出血,累及基底池(黄色箭头)、外侧裂(红色箭头)

图 2 平扫 CT 可见广泛的蛛网膜下腔出血,累及基底池(黄色箭头)、外侧裂(红色箭头)

图 3 平扫 CT 蛛网膜下腔出血延伸到额叶(红色箭头)

图 4 DSA 可见囊样动脉瘤(红色箭头)

图 5 CTA 可见囊样动脉瘤(红色箭头)

图 6 CTA 可见囊样动脉瘤(红色箭头)

图 7 动脉瘤栓塞术后 DSA,可见动脉瘤内无对比剂充盈(红色箭头)

图 8 动脉瘤栓塞术后 DSA,可见动脉瘤内无对比剂充盈(红色箭头)

图 9 动脉瘤栓塞术后 CT,可见高密度的线圈影(红色箭头)
CT 可见广泛的蛛网膜下腔出血,累及基底池、外侧裂并延伸到额叶。
CTA 示右侧右小脑上动脉一大小为 2.0 x 2.0 x 1.2 mm 的动脉瘤。
使用单个 1.5 x 2 cm 的纳米线圈对动脉瘤进行栓塞后随访 CT。
诊断
右侧小脑上动脉瘤破裂继发蛛网膜下腔出血
鉴别诊断
细菌性脑膜炎、假性蛛网膜下腔出血、动脉瘤性蛛网膜下腔出血、可逆性脑血管收缩综合征、结核性脑膜炎
讨论
动脉瘤性蛛网膜下腔出血(SAH):SAH 是由于动脉瘤破裂(包括梭形、囊样等),血液进入蛛网膜下腔内导致。
囊样「草莓样」动脉瘤:是由于动脉分叉处内弹力层和中膜先天性缺失,导致局部管壁薄弱、突出而形成。家族性颅内动脉瘤、成人多囊肾和主动脉缩窄患者,该动脉瘤的发生风险增加。囊样动脉瘤可能与动静脉畸形或硬脑膜动静脉瘘的供血血管血流流速高有关。女性、吸烟和(或)高血压患者该动脉瘤破裂的风险较高。
梭形动脉瘤:多由创伤、高血压或房室间隔缺损导致血管裂伤导致。患者通常合并有潜在的动脉疾病,包括肌纤维发育不良、马凡氏综合征、埃勒斯综合征、感染等。也可能源自真菌感染。
血疱动脉瘤:动脉诸层却如,仅由纤维组织包裹。
SAH 相关性疾病包括脑性耗盐综合征、血管痉挛和 Terson 综合征。
血管痉挛:是由血凝产物、载脂蛋白 E 基因型、脑脊液中白细胞介素 1 释放所致。多开始于 SAH 后 3~4 天,高峰期为 7~9 天,持续到 12~16 天左右。
脑性耗盐综合征:肾钠排泄过多导致的低钠血症和低血容量。
Terson 综合征:颅内压迅速增加导致眼内出血(视网膜、玻璃体)。
女性好发,男女比例 2:1。高峰年龄为 40~60 岁。动脉瘤约占自发性 SAH 的 85%。SAH 占脑血管意外的 3%,这些脑意外中有 5% 的死亡率。
临床表现
最常见的症状或体征为突发「霹雳样」头痛,患者多称其为人生中最严重的头痛。
患者还有畏光和假性脑膜炎,局灶性神经功能缺损的症状。
10% 的动脉瘤性 SAH 发生前会有「前哨出血」,指的是在弥漫性 SAH 发生前数天或数周的自限性出血伴头痛。
亨特和赫斯评分系统基于患者临床表现将其分为 5 组,该评分系统还可以预测预后。
影像学表现
CT:平扫 CT 可见蛛网膜下腔内充填高密度物质,多位于 Willis 环周围(约 65%),因为草莓样动脉瘤好发于该区域,或者是外侧裂内(30%)。若是亚急性出血,则在外侧裂内可见等密度的出血。早期可有脑积水的表现。如果破裂的动脉瘤直径大于 2 mm,90%~95% 即可在 CTA 上显示。
MRI:T1 上,急性期出血信号与脑脊液相等。脑脊液可表现为稍高信号。T2 上,难以观察,因为 SAH 表现为高信号。DWI 上,如果合并有动脉痉挛,则可见局限性的弥散受限区域。FLAIR 上,SAH 表现为高信号,FLAIR 对 SAH 的敏感性仅次于 CT。T2*上:表现为明显的脑沟内「盛开征」。MRA 上,TOF-MRA 对于直径大于 3 mm 以上的动脉瘤的敏感性为 85%~95%。
DSA:是诊断血管病变的金标准,具有非常高的空间分辨率和时间分辨率。可在动脉分叉处看到囊状影。破裂部位常可看到「墨菲乳头」。
治疗
根据发病原因不同,治疗方法不同,概括如下。
破裂的动脉瘤可用弹簧圈栓塞治疗,该治疗方法急性不良事件和长期全因死亡率均较低。
还可以选用显微手术夹闭,但是,该治疗方法比栓塞术更具有侵犯性,相比之下发病率和死亡率均较高。
血管痉挛可给予钙拮抗剂治疗。介入治疗血管痉挛可采用动脉内钙离子拮抗剂和\或球囊血管成形术。对于脑积水,可以放置临时或永久性脑脊液分流.。脑钠盐耗综合征可采用 Na 或高渗盐水治疗。