【病例】右上眼睑和眼球间木片存留1例CT影像表现
发布时间:2022-10-24
发布时间:2022-10-24
【病史】儿童,疼痛。




问题1.下述哪项最可能为患者临床表现?
A.单侧面部疼痛及发热
B.闭塞及鼻出血,日益加重
C.双侧突眼及视力丧失
D.眼外伤
E.前额软组织肿胀



2.患儿眼部最可能受何种外伤?
A.弹丸抢
B.拳头
C.带刺昆虫
D.木头
E.仙人掌
【答案】1.D 2.D
【影像学表现】
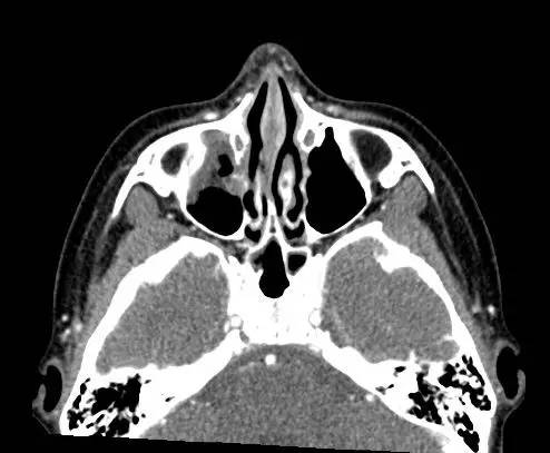
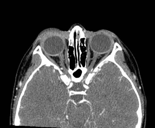
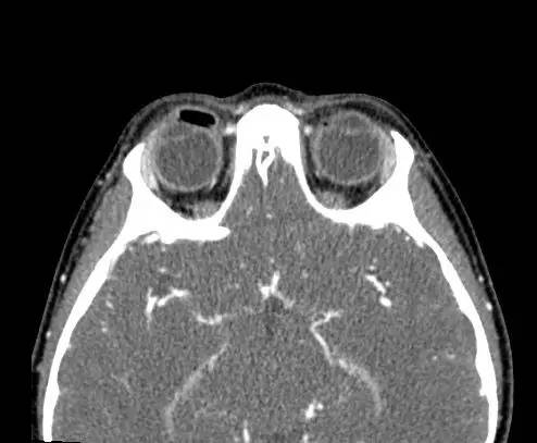
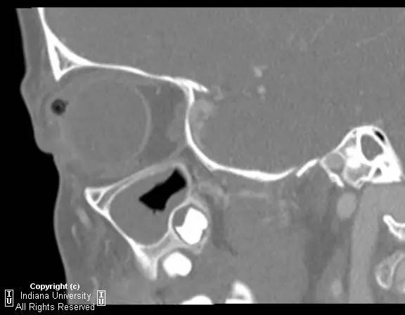
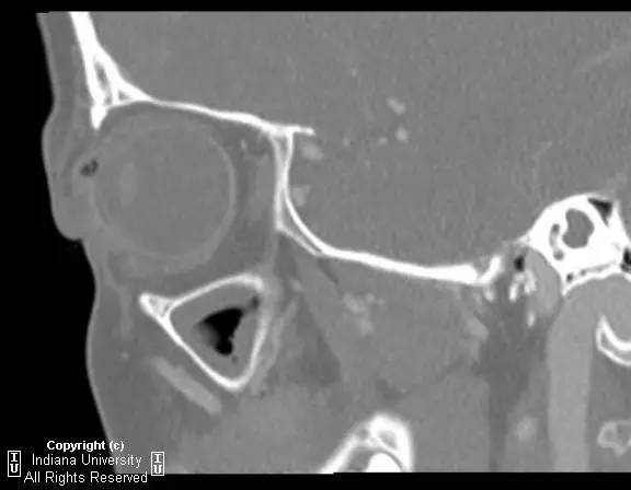
右侧上眼睑软组织肿胀。上眼睑与眼球间可见矩形积气,约1 cmx 0.4 cm x 0.4 cm,并线样影在内穿行。眼球及晶状体正常。眶隔后及眶内软组织无肿胀、血肿或脂肪条纹提示为创伤性。无对比剂外渗。无对急性骨异常。右侧上颌窦粘膜增厚。
【鉴别诊断】
【诊断】右上眼睑和眼球间木片存留
There is a piece ofwood between the superior right eyelid and the globe.
【讨论】
CT为评价眼眶创伤的一线方法,可帮助评估眶内异物的存在。木片可能很难与气体及骨折片区分。木片CT的表现取决于其含水量,干松木密度较低,而鲜松木密度高,取决于空气与水的含量。干木因网状基质可以区别于空气。MR对干木的检查可能更敏感,在T1加权图像相对脂肪呈低信号。