【病例】异位淋巴瘤性甲状腺肿1例MR影像表现分析
发布时间:2022-10-24
发布时间:2022-10-24
病史
女,54岁,3个月前无意发现颈前正中无痛性肿物,约1cm×1cm。查体:颈前正中舌骨水平触及约1cm×1cm光滑肿物,无压痛,基底固定,随吞咽上下活动。







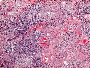
A~B. T1WI横断位;C~D. T2WI压脂横断位; E~F. T1WI压脂增强横断位;G. HE×100
【影像学表现】
卵圆形结节影位于舌骨中线,T1WI呈低信号,T2WI压脂序列呈稍高信号,信号均匀。增强后明显均匀强化,约1.3cm×0.8cm×1.6cm,其右前方下颌间隙内亦见一小结节,约0.7cm×0.4cm×0.5cm,信号特点与舌骨中线结节大致相同。颈部软组织结构清楚,未见异常信号影,气管居中,无受压或移位。颈部MRI平扫两侧见正常甲状腺组织,信号欠均匀(图A~F)。
【手术所见】
分离颈前肌见一光滑肿物,约1cm×1cm,实性、质中,包膜完整,与周围组织分界清晰,沿肿物四周向根部分离;分离到一蒂,结扎完全取出肿物。
【病理】
特染:PAS( );免疫组织化学:TTF-1滤泡上皮( ),CK19滤泡上皮( ),TG( ),Ki-67约1%( ),TPO( ),34βE12( ),EMA( ),S-100(-),actin(-),P63上皮小灶( )。结果:异位淋巴瘤性甲状腺肿(图G)。
【分析与讨论】
异位甲状腺(ectopic thyroid gland,ETC )是指在正常甲状腺位置以外出现的甲状腺组织,是一种少见的胚胎发育异常的疾病;异位甲状腺临床多见于30~50岁,以女性多见。是由于甲状腺在胚胎发育和下移过程中发生异常所致,通常位于中线部位,最常见为舌根部,大约占90%以上,其次为舌骨上、舌骨下、舌骨前、上纵隔,但限于颈动脉鞘内侧,偶可见于脊髓及卵巢内,也可见于颌下腺、腮腺等部位。一般分为完全性和部分性两类,前者是指正常位置甲状腺缺如者,亦称为迷走甲状腺,约占70%,后者是指原位置还有正常或发育不良的甲状腺存在者,亦称为副甲状腺或额外甲状腺,相对少见。异位甲状腺可以发生正常位置甲状腺可发生的所有病变,本例异位甲状腺伴发淋巴瘤性甲状腺肿较少见,病变信号与正常甲状腺不一致,类似淋巴结或良性肿瘤,该患者在正常位置可见甲状腺组织。影像学诊断要点:①甲状腺为富含碘组织,CT表现为均匀较高密度影,具有较特征性表现,注射造影剂后增强扫描出现特别明显的强化,T1WI稍高于肌肉信号,T2WI压脂序列呈稍高信号,信号均匀。②病灶位于中线部位,位于舌根部,舌骨上至上纵隔之间,多为实性软组织影,部分伴有囊变,边缘清晰。③增强后明显均匀或不均匀强化。④临床表现:无明显临床症状,当肿大时常以颏部及颈前中线结节影为唯一主诉就诊,无其他不适,女性明显多于男性。诊断时还需要注意如下方面:①异位甲状腺是否恶变;②颈部有无正常甲状腺;③甲状腺功能状况等。ETG同正常位置甲状腺一样,也可发生类似良、恶性肿瘤,恶性肿瘤亦可发生淋巴结和全身转移。ETG肿瘤应尽早手术切除。对副甲状腺良性肿瘤可考虑将副甲状腺完全切除;而迷走甲状腺良性肿瘤则宜行包膜内切除以保留部分甲状腺组织,避免引起甲状腺功能低下,异位甲状腺若癌变则应行根治性切除术。
【鉴别诊断】
①甲状舌骨囊肿:由于胚胎发育过程中甲状舌管导管内上皮细胞未退化消失,可在舌根至胸骨切迹间正中线的任何部位形成囊肿。多为20岁前发病,75%中线,25%中线旁,80%位于舌骨和舌骨下,20%位于舌骨上,位于口底罕见。主要表现颈部中线位于舌骨水平上下水平类圆形、圆形囊性肿块。CT为等低密度,CT值高反映蛋白含量高和伴有感染,增强后常有环状强化。MRI平扫T1WI低信号,T2WI高信号,薄壁,无强化。并发感染时可出现不规则厚壁,囊内信号可随液体改变。②肿大淋巴结:常多发,常伴发颈深部、咽旁间隙圆形或卵圆形结节影,CT为等低密度,边缘清晰,密度均匀或不均匀J1WI呈低信号,T1WI呈稍高信号,增强轻到中度均匀或不均匀强化。③神经鞘瘤:为圆形或卵圆形单发实性结节影,沿神经纵轴走行,CT表现为等低密度,其内易出现小坏死、囊变,边缘清晰,T1WI呈低信号,T2WI呈稍高信号,信号不均匀,增强轻到中度强化,囊变、坏死区无强化。