【病例】颞下窝区神经鞘瘤1例CT及MR影像表现
发布时间:2022-10-24
发布时间:2022-10-24
01 临床病史
女性,54岁
主诉:左侧面部肿胀1年余,面部麻木1月余
现病史:患者1年前发现左面部肿胀,无疼痛、麻木。1月前左侧面部肿胀进行性加重,出现麻木感,遂就诊。
既往史:“癫痫”30年,发作时四肢抽搐,持续约5分钟,药物控制,近10年无发作。
查体:左侧面部肿胀可触及质韧包括,无压痛;左侧面部浅感觉减退。余(-)。
02 影像检查

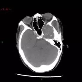
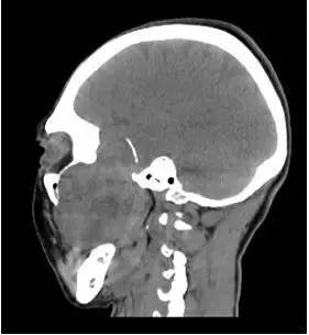
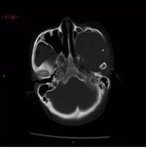
CT平扫轴位

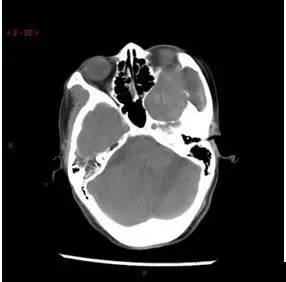
CT平扫轴位

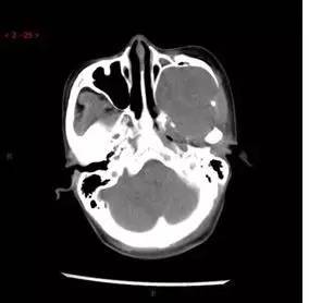
CT平扫轴位

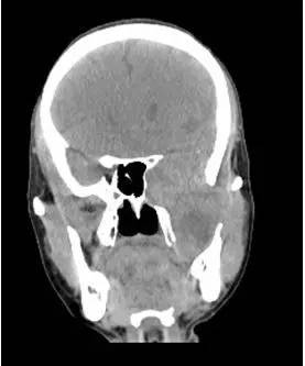
CT平扫冠状位重建

CT平扫矢状位重建

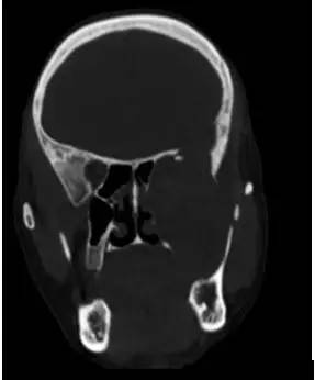
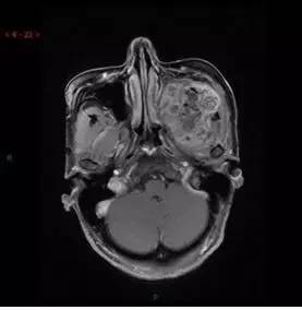
CT骨窗轴位

CT骨窗轴位

CT骨窗冠状位重建

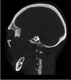
CT骨窗矢状位重建

T1WI轴位

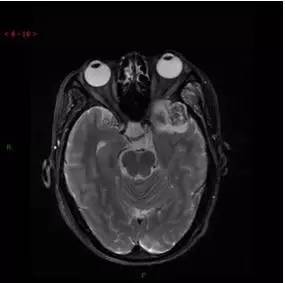
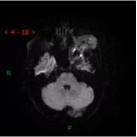
T2WI/FS轴位

T2WI/FS轴位

T2WI/FS轴位

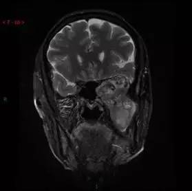
T2WI/FS冠状位

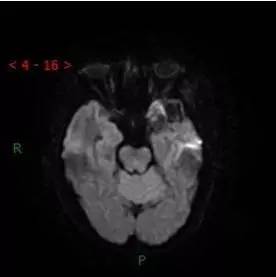
DWI

DWI

DWI

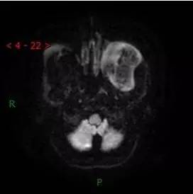
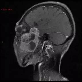
MRI增强轴位

MRI增强轴位

MRI增强轴位

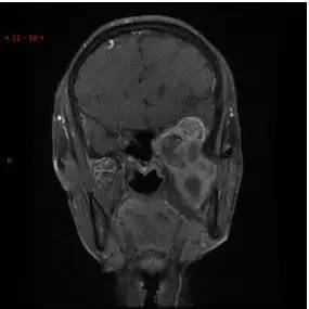
MRI增强冠状位

MRI增强矢状位
03 解读
1.本例病变部位(单选)
A 左侧中颅窝及颞下窝沟通性病变
B 左侧上颌窦病变累及颅内
C 左侧蝶骨病变
D 脑内病变累及脑外
答案:A
解析:本病例为中颅窝至颞下窝沟通性病变,对周围骨质主要呈膨胀压迫性改变,伴囊变、出血。
2. 本例病变可能的诊断(单选)
A 上颌窦癌
B 脑膜瘤
C 神经鞘瘤
D 多形性腺瘤
E 骨来源恶性肿瘤
答案:C
病理:(中颅底内外沟通肿瘤) 神经鞘瘤,伴出血,局灶细胞较丰富。免疫组化结果显示:EMA(-), P53(-), S100(3 ), NF(-), PR(-), desmin(-), Ki-67( ,5-10%)
04 诊断
神经鞘瘤
05 讨论
颞下窝病变主要包括神经源性肿瘤、小涎腺来源的肿瘤、软组织来源的肿瘤,以及其他如淋巴瘤等。

总之,颞下窝原发肿瘤病种丰富,良性肿物多边界清晰,周围骨质多为压迫性骨质吸收变形。恶性肿瘤边缘模糊,内可见坏死,邻近骨质破坏。在临床工作中,如见肿瘤呈颅内外沟通生长的哑铃型,一般首先考虑神经源性肿瘤。有时脑膜瘤也会出现颅内外沟通生长的表现。肿瘤边界清楚,肿瘤T2WI以低信号为主,则考虑纤维来源的肿瘤如孤立性纤维性肿瘤可能。如肿瘤有很强的侵袭性,并沿神经生长,密度较低,见缝就钻,应考虑腺样囊性癌可能。如肿瘤边界清楚,轻度强化,内可见血管穿行,应考虑淋巴瘤的可能。颞下窝肿瘤的表现多样,具体问题具体分析,但抓住病变的重要特征为基点进行思考,是肿瘤诊断和鉴别诊断的有效方式之一。