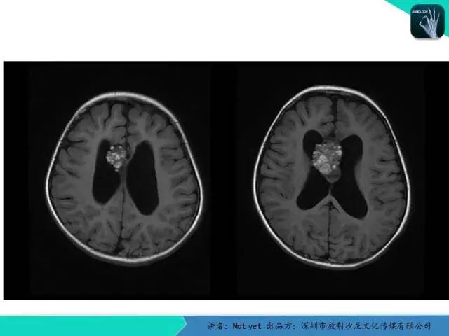
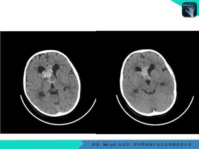
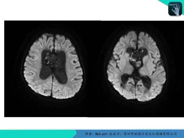
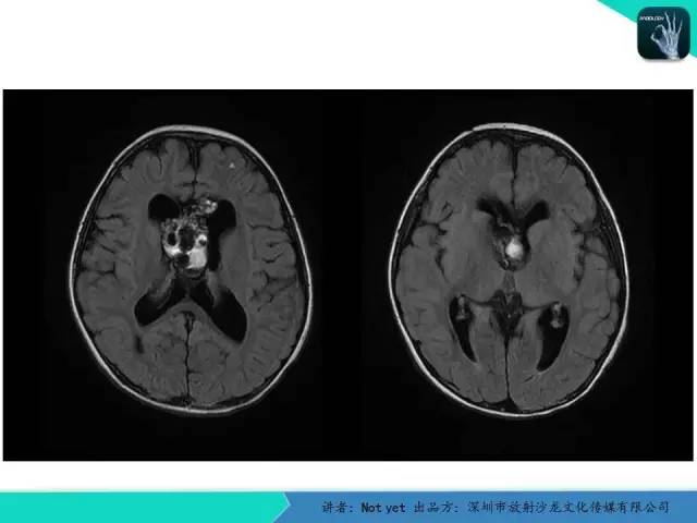
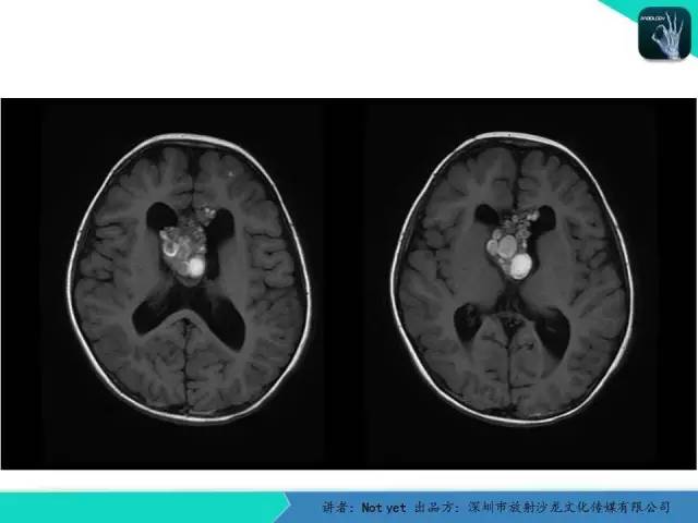
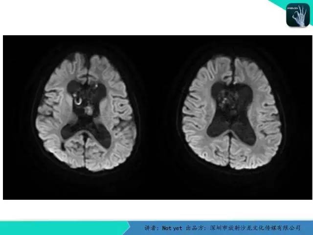
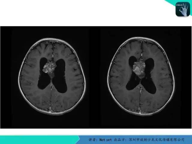
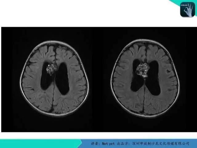
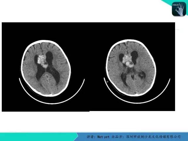
【病例】脑室内脉管瘤1例CT及MR影像诊断与鉴别

发布时间:2022-10-24

【病例】脑室内脉管瘤1例CT及MR影像诊断与鉴别

【病例】脑室内脉管瘤1例CT及MR影像诊断与鉴别

【病例】脑室内脉管瘤1例CT及MR影像诊断与鉴别

【病例】脑室内脉管瘤1例CT及MR影像诊断与鉴别

【病例】脑室内脉管瘤1例CT及MR影像诊断与鉴别

【病例】脑室内脉管瘤1例CT及MR影像诊断与鉴别

【病例】脑室内脉管瘤1例CT及MR影像诊断与鉴别

【病例】脑室内脉管瘤1例CT及MR影像诊断与鉴别

【病例】脑室内脉管瘤1例CT及MR影像诊断与鉴别

【病例】脑室内脉管瘤1例CT及MR影像诊断与鉴别

【病例】脑室内脉管瘤1例CT及MR影像诊断与鉴别

【病例】脑室内脉管瘤1例CT及MR影像诊断与鉴别

【病例】脑室内脉管瘤1例CT及MR影像诊断与鉴别

【病例】脑室内脉管瘤1例CT及MR影像诊断与鉴别

【病例】脑室内脉管瘤1例CT及MR影像诊断与鉴别

【病例】脑室内脉管瘤1例CT及MR影像诊断与鉴别

【病例】脑室内脉管瘤1例CT及MR影像诊断与鉴别

【病例】脑室内脉管瘤1例CT及MR影像诊断与鉴别

【病例】脑室内脉管瘤1例CT及MR影像诊断与鉴别

【病例】脑室内脉管瘤1例CT及MR影像诊断与鉴别

【病例】脑室内脉管瘤1例CT及MR影像诊断与鉴别

【病例】脑室内脉管瘤1例CT及MR影像诊断与鉴别

【病例】脑室内脉管瘤1例CT及MR影像诊断与鉴别

【病例】脑室内脉管瘤1例CT及MR影像诊断与鉴别

精彩图片

热门精选