【病例】进行性多灶性白质脑病PML三例MR影像表现
发布时间:2022-10-24
发布时间:2022-10-24
CASE 1

病史:47岁男性,最近诊断为HIV感染,CD4计数为50,精神状态异常。
图像:轴位FLAIR,冠状T1增强,DWI,ADC图。

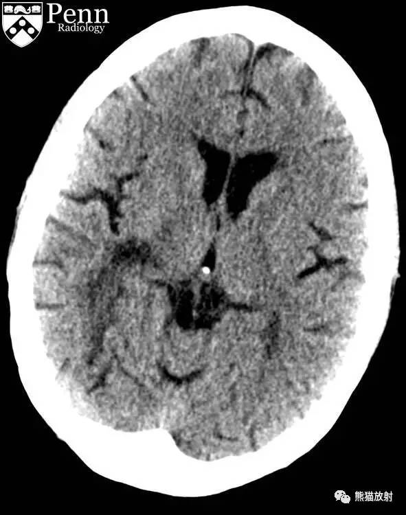
CT平扫表现:左额叶白质见片状低密度,经胼胝体累及右额叶白质。

MRI表现:FLAIR示双侧额叶白质高信号灶,胼胝体前部及外周弥散受限,无明显占位效应,增强扫描无强化。

诊断:经典进行性多灶性白质脑病

讨论:
PML是一种进行性亚急性脱髓鞘疾病,因 JC 病毒激活而导致局灶性或多灶性神经功能缺损,一般发生于细胞免疫反应缺陷患者,如AIDS,免疫抑制治疗后,淋巴增生性障碍。
病理:

影像表现:
诊断:神经影像学结合脑脊液聚合酶链反应(PCR)证实了 JC 病毒 DNA。
治疗:尚无针对JC病毒的特异性治疗方法。对于HIV感染患者,高效抗逆转录病毒疗法(HAART)为最佳选择,生存期从过去的2至6个月,现可改善为3至4年。
CASE 2
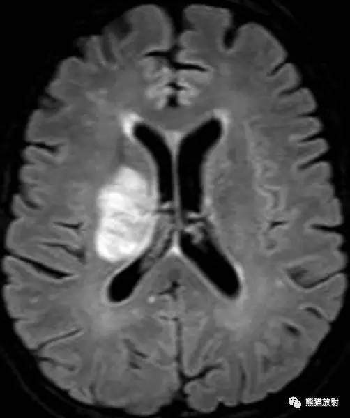
病史:患者男性,45 岁,进行性偏瘫,既往有酗酒、艾滋病、丙型肝炎病史。






FLAIR、DWI和 ADC图示:右侧放射冠和基底节区可见 T2 高信号病变,不伴有脑水肿,边缘部分扩散受限。
增强示病灶外缘轻度强化; MRS示 Cho 和 NAA 峰降低,脂乳酸峰值保留;免疫组化结果提示阳性染色为 JC 病毒。
进行性多灶性白质脑病(PML)是一种亚急性脱髓鞘疾病,因 JC 病毒激活而导致局灶性或多灶性神经功能缺损,一般发生于严重免疫抑制患者,可导致患者在使用高效抗逆转录病毒疗法(HAART)时出现免疫重建炎症综合征(IRIS)。
临床症状:无特殊,包括头痛、癫痫发作和局灶性神经缺失。 诊断依据:神经影像学结合脑脊液聚合酶链反应(PCR)证实了 JC 病毒 DNA。
影像学诊断要点:
鉴别诊断:
治疗:尚不清楚,HAART 有效。
CASE 3
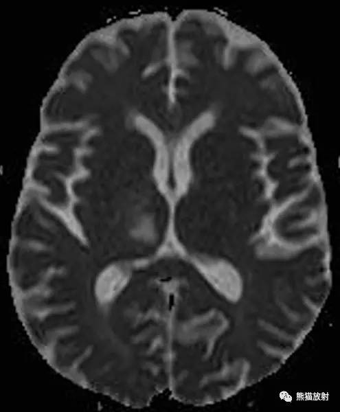
病史:患者女性,32 岁,因精神紊乱改变入院。


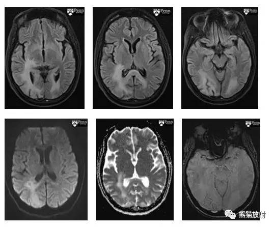
MR 图像依次为:液体恢复反转图像(FLAIR, 前三幅),弥散加权图像(DWI)、表观弥散系数图(ADC 图)和磁敏感加权图(SWI)。

影像表现
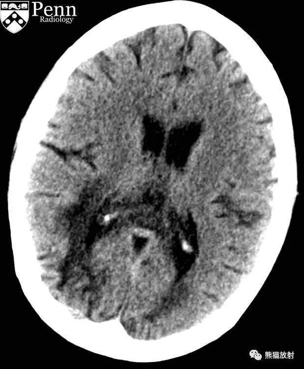
CT:在双侧顶叶、枕叶皮层下白质、深部白质束和胼胝体可见多发融合的密度减低区。无占位效应,灰质密度未见明显异常。
MRI:双侧顶枕叶皮层下白质、深部白质和胼胝体区见异常 FLAIR 信号。DWI 未见弥散受限。
诊断:结合临床病史,以上影像学表现符合进行性多灶性白质脑病(PML)
PML
影像学表现
CT:皮质下和侧脑室周围白质密度减低,但无占位效应。
MRI:皮层下白质和深部白质见多发 T2 高信号,为斑片状神经脱髓鞘,灰质受累常见于病变晚期。病变有向额叶、顶枕叶、丘脑和基底核侵犯的倾向,有时也可以累及脑干和小脑。强化和占位效应少见,可单发、多发或者广泛侵犯,很少累及皮层下弓形纤维,不过多出现磁敏感伪影。
鉴别诊断