【病例】阑尾内对比剂充填1例X线CT影像表现
发布时间:2022-10-24
发布时间:2022-10-24
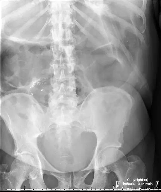
【病史】男性,腹胀。


问题1.如果存在肠梗阻,最可能的部位为?
A.脾曲
B.肝曲
C.小肠远端
D.小肠近端
E.乙状结肠

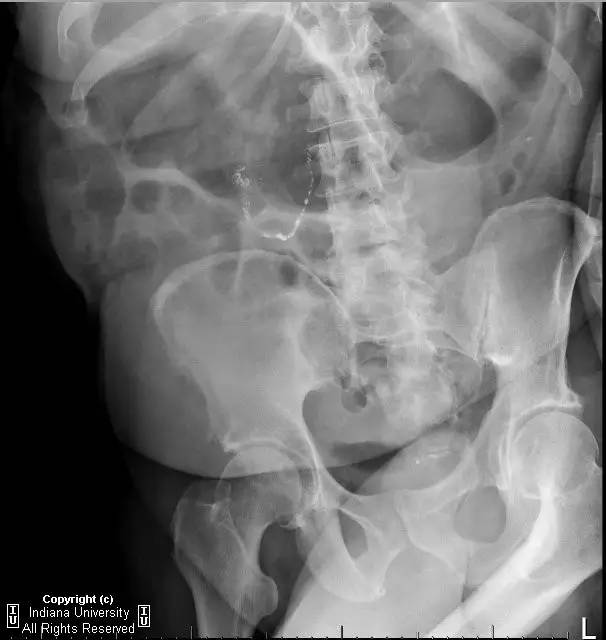
注意右下腹弯曲串珠样密度影,你的考虑可能为?


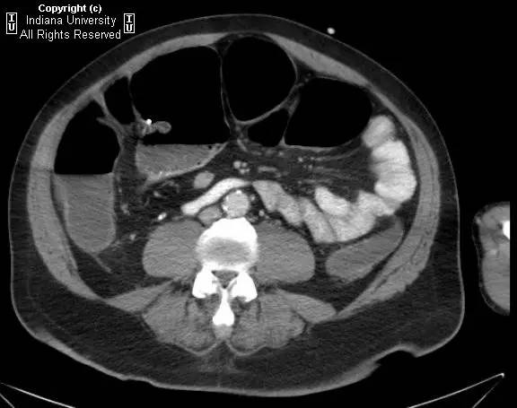
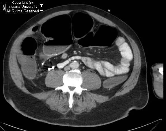
2.横结肠扩张的原因为?
A.肠套叠
B.黏连
C.憩室
D.同心圆病变
E.未见病因
3.X线片弯曲串珠样密度影最可能为?
A.恶性病变治疗后
B.陈旧性穿孔
C.肠管管腔
D.陈旧性肉芽肿感染
E.医源性残留
【答案】1.A 2.E 3.C
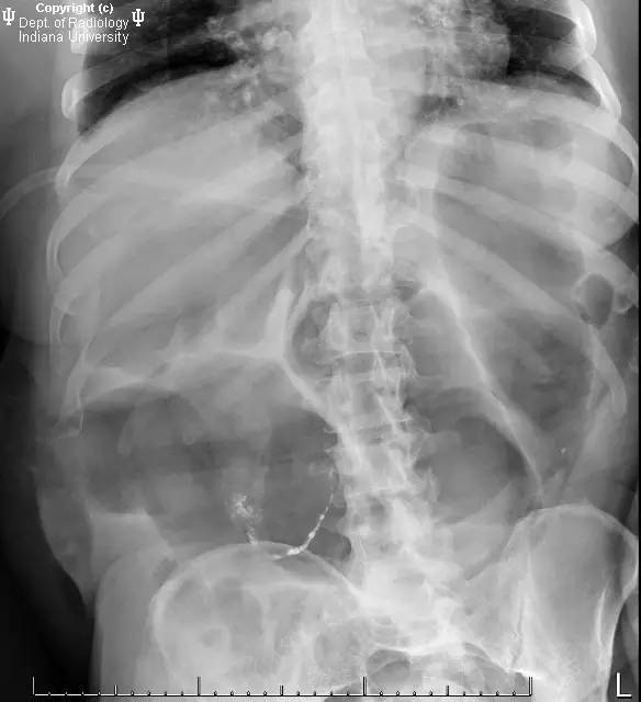
此为1周后复查图片。

【影像学表现】右侧腹部可见曲线样不透亮区,1周后位置有变化(似进入盲肠)。横结肠显著扩张、充气。CT上扩张原因不明,无明确的梗阻证据。
【鉴别诊断】
【诊断】阑尾内对比剂充填
Contrast filledappendix
【要点】