【病例】右额部神经纤维瘤1例MR影像分析
发布时间:2022-10-24
发布时间:2022-10-24
病史:
女性,29岁。抽搐反复发作数月,头痛、头晕、呕吐伴视物模糊2周余。查体:合作,对答切题,左侧嗅觉较右侧稍差,视物不清,无重影。伸舌无偏斜。






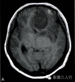
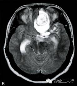
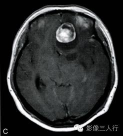
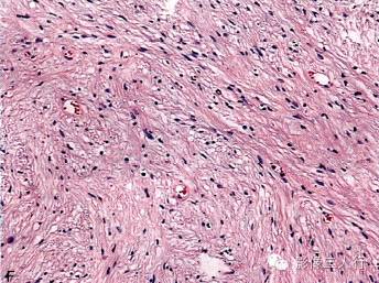
A.T1横断面;B.T2WI横断面;C、D、E~增强横断面、矢状面、冠状面;F.HE×100
影像学表现:
图A、B:T1WI、T2WI横断面,图C~E为增强横断、矢状位及冠状位。左额底部见一囊性肿物,囊内见一直径约28mm类圆形肿块,边界清,T2WI呈不均匀高信号为主,内混杂条片状稍低信号,T1WI呈稍低信号,周边见环形稍高信号;增强后病灶大部呈明显强化,内可见不规则无强化区;灶周见液性信号影环绕,并可见大片状不规则水肿,累及左额颞叶、左基底节前部及左侧胼胝体膝部;邻近脑组织受压明显,左侧脑室、右侧脑室前角、3脑室及鞍上池受压变形,前部中线结构右移。
术中所见:
肿瘤呈红色,包膜完整,与左侧嗅神经关系密切,沿左侧嗅神经解剖,见肿瘤起源于左侧嗅神经,分离肿瘤与肿瘤边界,完全隔离肿瘤与额叶脑组织,肿瘤定位于脑外,脑组织表面完整,未见肿瘤浸润,但脑组织可见明显水肿,肿瘤向嗅沟方向生长,进入左侧筛窦,从筛窦表面切除肿瘤附着点。
病理结果:
梭形细胞编织状排列的肿瘤,免疫组化:S-100( ),Vimentin( ),GFAP(-),EMA(-),病变符合神经纤维瘤(图F)。
分析与讨论:
颅内神经纤维瘤常发生于听神经、三叉神经,偶见于迷走神经及舌下神经,单发于嗅神经的神经纤维瘤相当罕见,本病例肿瘤来源于嗅神经分布区,神经束增粗,CT平扫呈略低密度。MRI在T1WI为中等偏低信号,T2WI肿瘤为高信号,病灶内部信号欠均匀。增强扫描,肿瘤不均匀强化,有完整包膜,边界清晰,边缘光整。肿瘤突破脑膜向脑内生长,CT和MR上难以判断肿瘤起源于脑内还是脑外,这增加了诊断的难度。
鉴别诊断:
①前颅窝底脑膜瘤:CT表现为密度稍高的肿块,可有钙化,附近骨质增生。MRIT1、T2加权图像呈等信号,或T2WI稍高信号。增强扫描,病灶有较明显的强化,常见脑膜尾征。②嗅神经母细胞瘤:原发于鼻腔顶后部嗅黏膜上皮细胞的恶性肿瘤,有2个年龄高峰,10~20岁和50~60岁。CT表现鼻腔顶及筛窦区肿物,早期破坏筛板、蝶骨平板,向上侵入颅前窝甚至额叶。增强扫描肿瘤明显强化。③囊虫病:脑囊虫的囊尾蚴囊肿常为圆形或卵圆形,病灶大小为数厘米。影像学上呈多发、大小较一致的结节或囊腔,T1WI混杂信号。T2WI囊腔为高信号,头节为点状低信号影,周围无水肿。增强后囊壁呈环状均匀强化,头节亦有强化。CT可见囊壁和头节钙化。