【病例】垂体瘤合并出血1例MR影像表现
发布时间:2022-10-24
发布时间:2022-10-24
【基本资料】
患者,女性,42岁
【主诉】
视力下降半月
【体格检查】
神清语明,双侧瞳孔等大等圆,直径约3.0mm,对光反射灵敏。粗测双眼视力下降,伴双眼颞侧偏盲。四肢肌力V级,四肢肌张力正常。





【讨论问题】如何诊断?
【医学影像APP用户讨论】
全科学霸:此病灶位于鞍内,其内合并出血或者钙化,成年女性,需要与鞍区的脑膜瘤、垂体瘤、颅咽管瘤相鉴别。
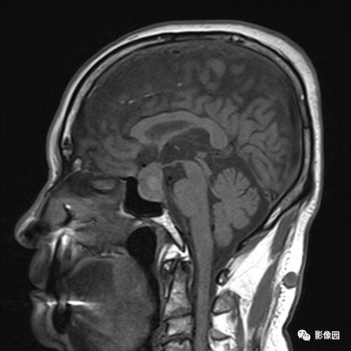
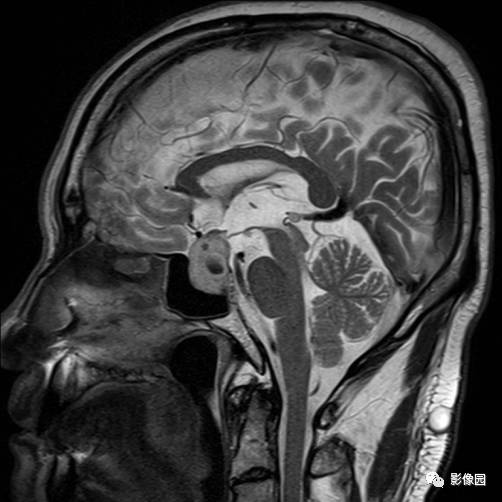
独孤求败:诊断为垂体瘤,蝶鞍扩大,鞍底下陷,鞍内见突向鞍上生长的团块状异常信号,T1WI呈等及稍高信号,T2WI呈等及低信号,增强扫描病灶呈明显不均匀强化;垂体柄显示不清,视交叉受压上抬。
神农本草经:不能排除颅咽管瘤的可能,颅咽管瘤也是好发于成年人,且容易合并囊变,患者病灶内见短T1短T2的异常信号,不能排除是囊变成分。
kingoflion:垂体瘤,发生垂体瘤后相应细胞释放的激素超过一定范围,因此可以查血液中激素水平进一步明确诊断,激素分泌异常后就会产生各个方面的代谢异常从而导致一些典型的综合征,如闭经.泌乳综合征、肢端肥大症、库欣病及继发性甲状腺功能亢进。
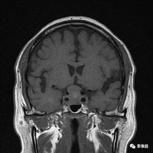
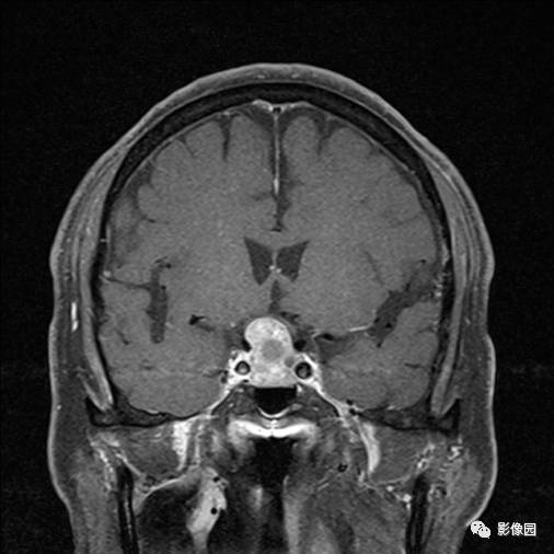
bnzhang07:这是典型的垂体大腺瘤,垂体大腺瘤冠状扫描显示肿瘤呈哑铃状或“束腰征”,这是由于肿瘤伸于鞍上,中部受鞍隔束缚的原因。
lovethemoon:这不是颅咽管瘤,而是垂体瘤,颅咽管瘤时可见正常的垂体结构,此患者看不到正常的垂体结构,病变内短T1短T2异常信号是出血,垂体瘤合并了出血,颅咽管瘤囊变时的信号一般是长T1长T2。
【答案】垂体瘤合并出血